Suppr超能文献

姜黄素对大鼠烧伤创面的愈合作用。

The healing effect of curcumin on burn wounds in rat.

作者信息

Mehrabani Davood, Farjam Mojtaba, Geramizadeh Bita, Tanideh Nader, Amini Masood, Panjehshahin Mohammad Reza

机构信息

Stem Cell and Transgenic Technology Research Center, Shiraz University of Medical Sciences, Shiraz, Iran;

Department of Medical Pharmacology, School of Medicine, Fasa University of Medical Sciences, Fasa, Iran;

出版信息

World J Plast Surg. 2015 Jan;4(1):29-35.

Abstract

BACKGROUND

Burns are still considered one of the most devastating conditions in emergency medicine affecting both genders and all age groups in developed and developing countries, resulting into physical and psychological scars and cause chronic disabilities. This study was performed to determine the healing effect of curcumin on burn wounds in rat.

METHODS

Seventy female Sprague-Dawley 180-220 g rats were randomly divided into 5 equal groups. Groups of A-C received 0.1, 0.5 and 2% curcumin respectively and Group D, silver sulfadiazine ointment. Group E was considered as control group and received eucerin. After 7, 14 and 21 days of therapy, the animals were sacrificed and burn areas were macroscopically examined and histologically were scored.

RESULTS

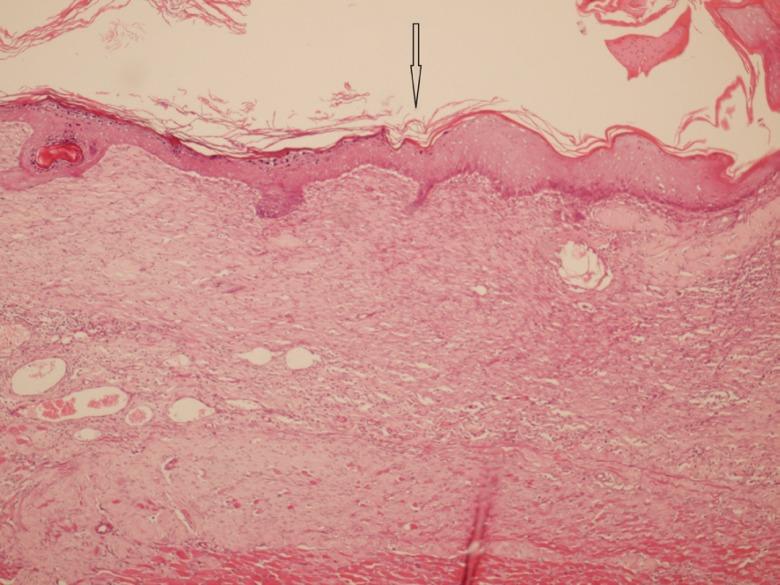
Administration of curcumin resulted into a decrease in size of the burn wounds and a reduction in inflammation after 14(th) days. Reepithelialization was prominent in groups A-C while more distinguishable in group C. In group C, epidermis exhibited well structured layers without any crusting. There were spindle shaped fibroblasts in fascicular pattern, oriented parallel to the epithelial surface with eosinophilic collagen matrix.

CONCLUSION

Curcumin as an available and inexpensive herbal was shown be a suitable substitute in healing of burn wounds especially when 2% concentration was applied.

摘要

背景

烧伤仍然被认为是急诊医学中最具破坏性的病症之一,在发达国家和发展中国家影响着各性别和所有年龄组,会导致身体和心理创伤,并造成慢性残疾。本研究旨在确定姜黄素对大鼠烧伤创面的愈合效果。

方法

将70只体重180 - 220克的雌性斯普拉格 - 道利大鼠随机分为5组,每组数量相等。A - C组分别接受0.1%、0.5%和2%的姜黄素,D组接受磺胺嘧啶银软膏,E组作为对照组接受优色林。治疗7、14和21天后,处死动物,对烧伤部位进行大体检查并进行组织学评分。

结果

给予姜黄素后,14天后烧伤创面大小减小,炎症减轻。A - C组上皮再形成明显,C组更显著。在C组中,表皮呈现结构良好的层次,无结痂。有成束状排列的梭形成纤维细胞,与上皮表面平行排列,伴有嗜酸性胶原基质。

结论

姜黄素作为一种可得且廉价的草药,被证明是烧伤创面愈合的合适替代品,尤其是应用2%浓度时。

https://cdn.ncbi.nlm.nih.gov/pmc/blobs/4a52/4298862/f80655c3abea/wjps-4-029-g001.jpg

文献AI研究员

20分钟写一篇综述,助力文献阅读效率提升50倍。

立即体验

用中文搜PubMed

大模型驱动的PubMed中文搜索引擎

马上搜索

文档翻译

学术文献翻译模型,支持多种主流文档格式。

立即体验