Suppr超能文献

使用3D打印机为体外放射治疗创建定制的3D填充物。

Use of 3D printers to create a patient-specific 3D bolus for external beam therapy.

作者信息

Burleson Sarah, Baker Jamie, Hsia An Ting, Xu Zhigang

机构信息

Stony Brook Medical Center, Stony Brook NY.

出版信息

J Appl Clin Med Phys. 2015 May 8;16(3):5247. doi: 10.1120/jacmp.v16i3.5247.

Abstract

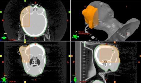
The purpose of this paper is to demonstrate that an inexpensive 3D printer can be used to manufacture patient-specific bolus for external beam therapy, and to show we can accurately model this printed bolus in our treatment planning system for accurate treatment delivery. Percent depth-dose measurements and tissue maximum ratios were used to determine the characteristics of the printing materials, acrylonitrile butadiene styrene and polylactic acid, as bolus material with physical density of 1.04 and 1.2 g/cm3, and electron density of 3.38 × 10²³ electrons/cm3 and 3.80 × 10²³ electrons/ cm3, respectively. Dose plane comparisons using Gafchromic EBT2 film and the RANDO phantom were used to verify accurate treatment planning. We accurately modeled a printing material in Eclipse treatment planning system, assigning it a Hounsfield unit of 260. We were also able to verify accurate treatment planning using gamma analysis for dose plane comparisons. With gamma criteria of 5% dose difference and 2 mm DTA, we were able to have 86.5% points passing, and with gamma criteria of 5% dose difference and 3 mm DTA, we were able to have 95% points passing. We were able to create a patient-specific bolus using an inexpensive 3D printer and model it in our treatment planning system for accurate treatment delivery.

摘要

本文的目的是证明一台低成本的3D打印机可用于制造适用于外照射治疗的个体化组织等效填充物,并表明我们能够在治疗计划系统中精确模拟这种打印的填充物,以实现精确的治疗实施。使用百分深度剂量测量和组织最大剂量比来确定打印材料丙烯腈-丁二烯-苯乙烯(ABS)和聚乳酸(PLA)作为填充物材料的特性,其物理密度分别为1.04 g/cm³和1.2 g/cm³,电子密度分别为3.38×10²³电子/cm³和3.80×10²³电子/cm³。使用Gafchromic EBT2胶片和RANDO体模进行剂量平面比较,以验证精确的治疗计划。我们在Eclipse治疗计划系统中精确模拟了一种打印材料,为其赋予260的Hounsfield单位。我们还能够使用伽马分析进行剂量平面比较来验证精确的治疗计划。在伽马标准为5%剂量差异和2 mm剂量-距离容差(DTA)的情况下,我们能够使86.5%的点通过;在伽马标准为5%剂量差异和3 mm DTA的情况下,我们能够使95%的点通过。我们能够使用一台低成本的3D打印机创建个体化组织等效填充物,并在我们的治疗计划系统中对其进行模拟,以实现精确的治疗实施。

https://cdn.ncbi.nlm.nih.gov/pmc/blobs/4ca4/5690114/f4565978054f/ACM2-16-166-g001.jpg

文献AI研究员

20分钟写一篇综述,助力文献阅读效率提升50倍。

立即体验

用中文搜PubMed

大模型驱动的PubMed中文搜索引擎

马上搜索

文档翻译

学术文献翻译模型,支持多种主流文档格式。

立即体验