Garbi Madalina, Monaghan Mark J
King's Health Partners, King's College Hospital NHS Foundation Trust , London , UK.
Echo Res Pract. 2015 Sep 1;2(3):R63-72. doi: 10.1530/ERP-15-0008. Epub 2015 Jul 7.
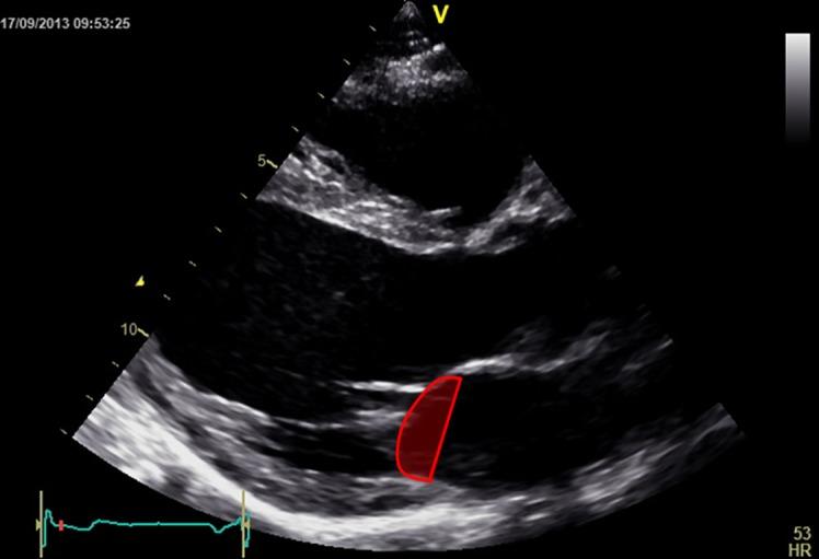
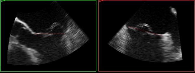
Quantitative analysis is an important part of the morphological assessment of the diseased mitral valve. It can be used to describe valve anatomy, pathology, function and the mechanisms of disease. Echocardiography is the main source of indirect quantitative data that is comparable with direct anatomic or surgical measurements. Furthermore, it can relate morphology with function. This review provides an account of current mitral valve quantification techniques and clinical applications.
定量分析是病变二尖瓣形态学评估的重要组成部分。它可用于描述瓣膜的解剖结构、病理、功能及疾病机制。超声心动图是间接定量数据的主要来源,这些数据可与直接解剖测量或手术测量结果相媲美。此外,它还能将形态与功能联系起来。本综述介绍了当前二尖瓣定量技术及其临床应用。