• 文献检索
  • 文档翻译
  • 深度研究
  • 学术资讯
  • Suppr Zotero 插件Zotero 插件
  • 邀请有礼
  • 套餐&价格
  • 历史记录
应用&插件
Suppr Zotero 插件Zotero 插件浏览器插件Mac 客户端Windows 客户端微信小程序
定价
高级版会员购买积分包购买API积分包
服务
文献检索文档翻译深度研究API 文档MCP 服务
关于我们
关于 Suppr公司介绍联系我们用户协议隐私条款
关注我们

Suppr 超能文献

核心技术专利:CN118964589B侵权必究
粤ICP备2023148730 号-1Suppr @ 2026

文献检索

告别复杂PubMed语法,用中文像聊天一样搜索,搜遍4000万医学文献。AI智能推荐,让科研检索更轻松。

立即免费搜索

文件翻译

保留排版,准确专业,支持PDF/Word/PPT等文件格式,支持 12+语言互译。

免费翻译文档

深度研究

AI帮你快速写综述,25分钟生成高质量综述,智能提取关键信息,辅助科研写作。

立即免费体验

儿童超快速生长的轴外巨大镰旁室管膜瘤:罕见病例并文献复习

Extra-axial giant falcine ependymoma with ultra-rapid growth in child: Uncommon entity with literature review.

作者信息

Satyarthee Guru Dutta, Moscote-Salazar Luis Rafael

机构信息

Department of Neurosurgery, Neurosciences Centre, AIIMS, New Delhi, India.

Department of Neurosurgery, RED LATINO Latin American Trauma and Intensive Neuro-care Organization, Bogota, Colombia.

出版信息

J Pediatr Neurosci. 2016 Oct-Dec;11(4):324-327. doi: 10.4103/1817-1745.199479.

DOI:10.4103/1817-1745.199479
PMID:28217156
原文链接:https://pmc.ncbi.nlm.nih.gov/articles/PMC5314847/
Abstract

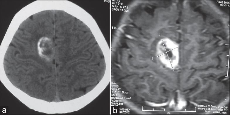
Ependymoma tends to occur commonly along either on ventricular surfaces of the brain or central canal of the spinal cord. Rarely, ependymoma can develop in the cerebral cortex without attachment to the ventricular structures. However, such occurrence in the purely extra-axial compartment in the falcine region mimicking falcine meningioma is exceedingly rare. The detailed search of primary falcine ependymoma (PEFE) in Medline and PubMed yielded only five isolated case reports. All cases occurred in patient older than 17 years of age; however, our case was a 9-year-old girl. PEFE tends to occur more commonly in male with a male to female ratio of 3:2, with the mean age of 28.8 years (range 17-43 years), lesion had intra-operatively had solid consistency in all cases. All cases were subjected to surgical resection followed by adjuvant radiotherapy; however, in addition, one case also received chemotherapy, with an average follow-up period of 9 months, however, missing in one case. The mean size of the tumor was 5.25 cm (range 1.8-7.2 cm). The authors present a unique case of PEFE in a 9-year-old girl with 8.6 cm ×6 cm ×5.4 cm-sized giant primary falcine ependymoma, managed surgically successfully. To the best of the authors' knowledge, the current case is the first case of pediatric extra-axial falcine ependymoma occurring within the first decade of life in the western literature, showing rapid evolution over 1½ month's period into a giant size. Brief pathogenesis, clinical feature, and management along with the pertinent literature are reviewed briefly.

摘要

室管膜瘤通常易于发生在脑室内表面或脊髓中央管。罕见的是,室管膜瘤可在大脑皮质中发生而不附着于脑室结构。然而,在镰状区域的纯轴外间隙中发生这种类似镰状脑膜瘤的情况极为罕见。在医学文献数据库(Medline)和医学期刊数据库(PubMed)中详细检索原发性镰状室管膜瘤(PEFE)仅得到5例孤立的病例报告。所有病例均发生在17岁以上的患者中;然而,我们的病例是一名9岁女孩。PEFE在男性中更常见,男女比例为3:2,平均年龄为28.8岁(范围17 - 43岁),所有病例术中病变质地均为实性。所有病例均接受了手术切除,随后进行辅助放疗;然而,此外,1例还接受了化疗,平均随访期为9个月,但有1例失访。肿瘤的平均大小为5.25厘米(范围1.8 - 7.2厘米)。作者报告了一例独特的PEFE病例,患者为一名9岁女孩,患有大小为8.6厘米×6厘米×5.4厘米的巨大原发性镰状室管膜瘤,手术治疗成功。据作者所知,目前该病例是西方文献中首例发生在生命第一个十年内的小儿轴外镰状室管膜瘤,在1个半月的时间内迅速发展为巨大肿瘤。本文简要回顾了其简要发病机制、临床特征、治疗方法以及相关文献。

https://cdn.ncbi.nlm.nih.gov/pmc/blobs/3c7f/5314847/44e46281b378/JPN-11-324-g004.jpg
https://cdn.ncbi.nlm.nih.gov/pmc/blobs/3c7f/5314847/a27070babf46/JPN-11-324-g001.jpg
https://cdn.ncbi.nlm.nih.gov/pmc/blobs/3c7f/5314847/75214b39001f/JPN-11-324-g002.jpg
https://cdn.ncbi.nlm.nih.gov/pmc/blobs/3c7f/5314847/333aea3c9a45/JPN-11-324-g003.jpg
https://cdn.ncbi.nlm.nih.gov/pmc/blobs/3c7f/5314847/44e46281b378/JPN-11-324-g004.jpg
https://cdn.ncbi.nlm.nih.gov/pmc/blobs/3c7f/5314847/a27070babf46/JPN-11-324-g001.jpg
https://cdn.ncbi.nlm.nih.gov/pmc/blobs/3c7f/5314847/75214b39001f/JPN-11-324-g002.jpg
https://cdn.ncbi.nlm.nih.gov/pmc/blobs/3c7f/5314847/333aea3c9a45/JPN-11-324-g003.jpg
https://cdn.ncbi.nlm.nih.gov/pmc/blobs/3c7f/5314847/44e46281b378/JPN-11-324-g004.jpg

相似文献

1
Extra-axial giant falcine ependymoma with ultra-rapid growth in child: Uncommon entity with literature review.儿童超快速生长的轴外巨大镰旁室管膜瘤:罕见病例并文献复习
J Pediatr Neurosci. 2016 Oct-Dec;11(4):324-327. doi: 10.4103/1817-1745.199479.
2
Primary Intracranial Extra-Axial Anaplastic Ependymomas.原发性颅内轴外间变性室管膜瘤
World Neurosurg. 2016 Jun;90:704.e1-704.e9. doi: 10.1016/j.wneu.2016.02.095. Epub 2016 Mar 4.
3
C11orf95-RELA fusion present in a primary intracranial extra-axial ependymoma: Report of a case with literature review.原发性颅内轴外室管膜瘤中存在C11orf95-RELA融合:1例报告并文献复习
Neuropathology. 2016 Oct;36(5):490-495. doi: 10.1111/neup.12299. Epub 2016 Apr 28.
4
Supratentorial extra-axial anaplastic ependymoma: a rare case report.幕上脑外间变性室管膜瘤:一例罕见病例报告
Ann Med Surg (Lond). 2023 Sep 5;85(11):5634-5640. doi: 10.1097/MS9.0000000000000536. eCollection 2023 Nov.
5
Recurrent intracranial anaplastic ependymoma with late-onset giant scalp metastasis.复发性颅内间变性室管膜瘤伴迟发性巨大头皮转移瘤。
Clin Case Rep. 2023 Dec 13;11(12):e8324. doi: 10.1002/ccr3.8324. eCollection 2023 Dec.
6
Extra-Axial supratentorial anaplastic ependymoma: Unusual location of an aggressive tumor, A case report.幕上颅外间变性室管膜瘤:侵袭性肿瘤的罕见部位,1 例报告。
Indian J Pathol Microbiol. 2022 Jul-Sep;65(3):668-670. doi: 10.4103/ijpm.ijpm_372_21.
7
Extra-axial sacral soft tissue giant cell ependymoma affecting a child: Case report and review of the literature.椎管外骶骨软组织巨细胞室管膜瘤影响儿童:病例报告及文献复习。
Neuropathology. 2021 Apr;41(2):139-145. doi: 10.1111/neup.12713. Epub 2021 Feb 10.
8
Extra-axial ependymoma of the cerebral convexity: A very rare intracranial adult tumor.大脑凸面的轴外室管膜瘤:一种非常罕见的颅内成人肿瘤。
Neuroradiol J. 2017 Jun;30(3):281-285. doi: 10.1177/1971400916687584. Epub 2017 Jan 6.
9
Giant-cell ependymoma: Presentation of a case of the sacral region and literature review.
Ultrastruct Pathol. 2017 Jul-Aug;41(4):296-300. doi: 10.1080/01913123.2017.1327910. Epub 2017 Jun 13.
10
A rare presentation of extra-axial supratentorial ependymoma with subdural hematoma mimicking a parasagittal meningioma.一种罕见的幕上脑外室管膜瘤表现,伴有模仿矢状窦旁脑膜瘤的硬膜下血肿。
Brain Spine. 2023 Jan 20;3:101715. doi: 10.1016/j.bas.2023.101715. eCollection 2023.

引用本文的文献

1
Supratentorial extra-ventricular ependymoma as a mass lesion in a child: report and literature review.儿童幕上脑室外生性室管膜瘤:病例报告及文献复习。
Childs Nerv Syst. 2024 May;40(5):1583-1589. doi: 10.1007/s00381-023-06250-2. Epub 2024 Jan 2.
2
Supratentorial extra-axial anaplastic ependymoma: a rare case report.幕上脑外间变性室管膜瘤:一例罕见病例报告
Ann Med Surg (Lond). 2023 Sep 5;85(11):5634-5640. doi: 10.1097/MS9.0000000000000536. eCollection 2023 Nov.
3
A rare presentation of extra-axial supratentorial ependymoma with subdural hematoma mimicking a parasagittal meningioma.

本文引用的文献

1
Ectopic cortical anaplastic ependymoma: an unusual case report and literature review.异位皮质间变性室管膜瘤:一例罕见病例报告及文献复习
Clin Neurol Neurosurg. 2014 Sep;124:142-5. doi: 10.1016/j.clineuro.2014.06.016. Epub 2014 Jul 2.
2
Supratentorial extraventricular anaplastic ependymoma in an adult with repeated intratumoral hemorrhage.一名成人幕上脑室外间变性室管膜瘤伴瘤内反复出血
Brain Tumor Pathol. 2014 Apr;31(2):138-43. doi: 10.1007/s10014-013-0146-0. Epub 2013 Apr 2.
3
Supratentorial extra-axial anaplastic ependymoma mimicking a meningioma.
一种罕见的幕上脑外室管膜瘤表现,伴有模仿矢状窦旁脑膜瘤的硬膜下血肿。
Brain Spine. 2023 Jan 20;3:101715. doi: 10.1016/j.bas.2023.101715. eCollection 2023.
4
Supratentorial extra-axial RELA fusion-positive ependymoma misdiagnosed as meningioma by intraoperative histological and cytological examinations: a case report.幕上颅外轴 RELA 融合阳性室管膜瘤,术中组织学和细胞学检查误诊为脑膜瘤:一例报告。
J Med Case Rep. 2022 Aug 20;16(1):312. doi: 10.1186/s13256-022-03555-9.
Neurol India. 2012 Jan-Feb;60(1):111-3. doi: 10.4103/0028-3886.93608.
4
Extra-axial ependymoma mimicking a parasagittal meningioma.轴外室管膜瘤,类似矢状窦旁脑膜瘤。
J Clin Neurosci. 2011 Mar;18(3):418-20. doi: 10.1016/j.jocn.2010.04.042. Epub 2011 Jan 13.
5
17-year-old girl with headache and complex partial seizure.17 岁女孩,头痛,复杂部分性发作。
Brain Pathol. 2010 Nov;20(6):1111-4. doi: 10.1111/j.1750-3639.2010.00435.x.
6
Multicentric French study on adult intracranial ependymomas: prognostic factors analysis and therapeutic considerations from a cohort of 152 patients.法国多中心成人颅内室管膜瘤研究:152例患者队列的预后因素分析及治疗考量
Brain. 2007 May;130(Pt 5):1338-49. doi: 10.1093/brain/awm046. Epub 2007 Apr 19.
7
Parasagittal ependymoma resembling falcine meningioma.类似大脑镰脑膜瘤的矢旁室管膜瘤
AJNR Am J Neuroradiol. 2001 Jun-Jul;22(6):1105-8.
8
Supratentorial ependymomas in adult patients.成年患者的幕上室管膜瘤
Neurosurgery. 1999 Apr;44(4):721-31. doi: 10.1097/00006123-199904000-00018.
9
Giant extra-axial cerebellopontine angle/cavernous sinus ependymoma: case report.巨大轴外小脑桥脑角/海绵窦室管膜瘤:病例报告
Neurosurgery. 1999 Jan;44(1):195-8. doi: 10.1097/00006123-199901000-00116.
10
Supratentorial ependymomas of the first two decades of life. Long-term follow-up of 20 cases (including two subependymomas).20岁前的幕上室管膜瘤。20例长期随访(包括2例室管膜下瘤)
Neurosurgery. 1993 Feb;32(2):169-75. doi: 10.1227/00006123-199302000-00003.