• 文献检索
  • 文档翻译
  • 深度研究
  • 学术资讯
  • Suppr Zotero 插件Zotero 插件
  • 邀请有礼
  • 套餐&价格
  • 历史记录
应用&插件
Suppr Zotero 插件Zotero 插件浏览器插件Mac 客户端Windows 客户端微信小程序
定价
高级版会员购买积分包购买API积分包
服务
文献检索文档翻译深度研究API 文档MCP 服务
关于我们
关于 Suppr公司介绍联系我们用户协议隐私条款
关注我们

Suppr 超能文献

核心技术专利:CN118964589B侵权必究
粤ICP备2023148730 号-1Suppr @ 2026

文献检索

告别复杂PubMed语法,用中文像聊天一样搜索,搜遍4000万医学文献。AI智能推荐,让科研检索更轻松。

立即免费搜索

文件翻译

保留排版,准确专业,支持PDF/Word/PPT等文件格式,支持 12+语言互译。

免费翻译文档

深度研究

AI帮你快速写综述,25分钟生成高质量综述,智能提取关键信息,辅助科研写作。

立即免费体验

大脑中动脉闭塞管腔内细丝小鼠模型中的脑外组织损伤

Extracerebral Tissue Damage in the Intraluminal Filament Mouse Model of Middle Cerebral Artery Occlusion.

作者信息

Vaas Markus, Ni Ruiqing, Rudin Markus, Kipar Anja, Klohs Jan

机构信息

Institute for Biomedical Engineering, University of Zurich, ETH , Zurich , Switzerland.

Institute for Biomedical Engineering, University of Zurich, ETH, Zurich, Switzerland; Institute of Pharmacology and Toxicology, University of Zurich, Zurich, Switzerland.

出版信息

Front Neurol. 2017 Mar 13;8:85. doi: 10.3389/fneur.2017.00085. eCollection 2017.

DOI:10.3389/fneur.2017.00085
PMID:28348545
原文链接:https://pmc.ncbi.nlm.nih.gov/articles/PMC5347084/
Abstract

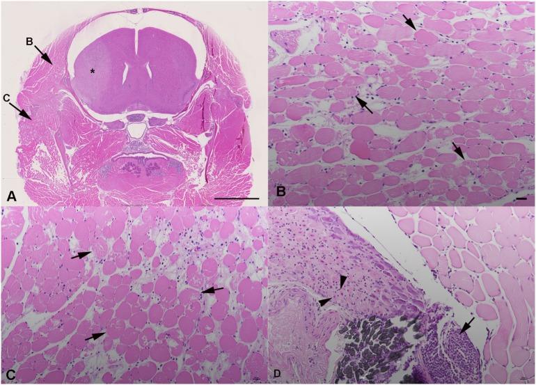
Middle cerebral artery occlusion is the most common model of focal cerebral ischemia in the mouse. In the surgical procedure, the external carotid artery (ECA) is ligated; however, its effect on the tissue supplied by the vessel has not been described so far. C57BL/6 mice underwent 1 h of transient MCAO (tMCAO) or sham surgery. Multi-spectral optoacoustic tomography was employed at 30 min after surgery to assess oxygenation in the temporal muscles. Microstructural changes were assessed with magnetic resonance imaging and histological examination at 24 h and 48 h after surgery. Ligation of the ECA resulted in decreased oxygenation of the left temporal muscle in most sham-operated and tMCAO animals. Susceptible mice of both groups exhibited increased relaxation times in the affected muscle with histological evidence of myofibre degeneration, interstitial edema, and neutrophil influx. Ligatures had induced an extensive neutrophil-dominated inflammatory response. ECA ligation leads to distinct hypoxic degenerative changes in the tissue of the ECA territory and to ligature-induced inflammatory processes. An impact on outcome needs to be considered in this stroke model.

摘要

大脑中动脉闭塞是小鼠局灶性脑缺血最常见的模型。在手术过程中,结扎颈外动脉(ECA);然而,其对该血管所供应组织的影响迄今尚未见报道。对C57BL/6小鼠进行1小时的短暂性大脑中动脉闭塞(tMCAO)或假手术。术后30分钟采用多光谱光声断层扫描评估颞肌的氧合情况。术后24小时和48小时通过磁共振成像和组织学检查评估微观结构变化。在大多数假手术和tMCAO动物中,ECA结扎导致左颞肌氧合降低。两组易感小鼠受累肌肉的弛豫时间均增加,并有肌纤维变性、间质水肿和中性粒细胞浸润的组织学证据。结扎导致了广泛的以中性粒细胞为主的炎症反应。ECA结扎导致ECA区域组织出现明显的缺氧性退行性变化以及结扎诱导的炎症过程。在这个中风模型中需要考虑其对结果的影响。

https://cdn.ncbi.nlm.nih.gov/pmc/blobs/8c5a/5347084/80833c1b1514/fneur-08-00085-g003.jpg
https://cdn.ncbi.nlm.nih.gov/pmc/blobs/8c5a/5347084/17b5ad08f08b/fneur-08-00085-g001.jpg
https://cdn.ncbi.nlm.nih.gov/pmc/blobs/8c5a/5347084/f962d142fd88/fneur-08-00085-g002.jpg
https://cdn.ncbi.nlm.nih.gov/pmc/blobs/8c5a/5347084/80833c1b1514/fneur-08-00085-g003.jpg
https://cdn.ncbi.nlm.nih.gov/pmc/blobs/8c5a/5347084/17b5ad08f08b/fneur-08-00085-g001.jpg
https://cdn.ncbi.nlm.nih.gov/pmc/blobs/8c5a/5347084/f962d142fd88/fneur-08-00085-g002.jpg
https://cdn.ncbi.nlm.nih.gov/pmc/blobs/8c5a/5347084/80833c1b1514/fneur-08-00085-g003.jpg

相似文献

1
Extracerebral Tissue Damage in the Intraluminal Filament Mouse Model of Middle Cerebral Artery Occlusion.大脑中动脉闭塞管腔内细丝小鼠模型中的脑外组织损伤
Front Neurol. 2017 Mar 13;8:85. doi: 10.3389/fneur.2017.00085. eCollection 2017.
2
External carotid artery territory ischemia impairs outcome in the endovascular filament model of middle cerebral artery occlusion in rats.大鼠大脑中动脉闭塞血管内丝线模型中,颈外动脉供血区缺血会损害预后。
Stroke. 2003 Sep;34(9):2252-7. doi: 10.1161/01.STR.0000083625.54851.9A. Epub 2003 Jul 31.
3
A Critical Re-Examination of the Intraluminal Filament MCAO Model: Impact of External Carotid Artery Transection.重新审视管内微栓模型:颈外动脉切断的影响。
Transl Stroke Res. 2011 Dec;2(4):651-61. doi: 10.1007/s12975-011-0102-4. Epub 2011 Aug 16.
4
Augmenting regional cerebral blood flow using external-to-internal carotid artery flow diversion method.采用颈外动脉-颈内动脉血流导向方法增强区域性脑血流。
Ann Biomed Eng. 2009 Dec;37(12):2428-35. doi: 10.1007/s10439-009-9782-2. Epub 2009 Aug 28.
5
The role of ECA transection in the development of masticatory lesions in the MCAO filament model.颈外动脉横断在大脑中动脉闭塞线栓模型咀嚼肌损伤发展中的作用。
Exp Neurol. 2005 Oct;195(2):372-8. doi: 10.1016/j.expneurol.2005.05.013.
6
A modification of intraluminal middle cerebral artery occlusion/reperfusion model for ischemic stroke with laser Doppler flowmetry guidance in mice.小鼠缺血性中风的激光多普勒血流仪引导下的腔内大脑中动脉闭塞/再灌注模型的改良
Neuropsychiatr Dis Treat. 2016 Nov 3;12:2851-2858. doi: 10.2147/NDT.S118531. eCollection 2016.
7
Early T1- and T2-weighted MRI signatures of transient and permanent middle cerebral artery occlusion in a murine stroke model studied at 9.4T.在9.4T磁场下研究的小鼠脑卒中模型中,大脑中动脉短暂性和永久性闭塞的早期T1加权和T2加权MRI特征。
Neurosci Lett. 2005 Nov 4;388(1):54-9. doi: 10.1016/j.neulet.2005.06.067.
8
Collateral circulation prevents masticatory muscle impairment in rat middle cerebral artery occlusion model.侧支循环可预防大鼠大脑中动脉闭塞模型中咀嚼肌损伤。
J Synchrotron Radiat. 2014 Nov;21(Pt 6):1314-8. doi: 10.1107/S1600577514016130. Epub 2014 Oct 1.
9
A temporal MRI assessment of neuropathology after transient middle cerebral artery occlusion in the rat: correlations with behavior.大鼠大脑中动脉短暂闭塞后神经病理学的颞部MRI评估:与行为的相关性
J Cereb Blood Flow Metab. 2000 Mar;20(3):563-82. doi: 10.1097/00004647-200003000-00015.
10
Evaluation of murine models of permanent focal cerebral ischemia.永久性局灶性脑缺血小鼠模型的评估
Chin Med J (Engl). 2004 Mar;117(3):389-94.

引用本文的文献

1
Spiral volumetric optoacoustic tomography of reduced oxygen saturation in the spinal cord of M83 mouse model of Parkinson's disease.帕金森病M83小鼠模型脊髓中氧饱和度降低的螺旋体积光声断层扫描
Eur J Nucl Med Mol Imaging. 2025 Jan;52(2):427-443. doi: 10.1007/s00259-024-06938-w. Epub 2024 Oct 9.
2
Imaging increased metabolism in the spinal cord in mice after middle cerebral artery occlusion.成像显示大脑中动脉闭塞后小鼠脊髓代谢增加。
Photoacoustics. 2023 Jul 15;32:100532. doi: 10.1016/j.pacs.2023.100532. eCollection 2023 Aug.
3
Deep learning facilitates fully automated brain image registration of optoacoustic tomography and magnetic resonance imaging.

本文引用的文献

1
Non-invasive near-infrared fluorescence imaging of the neutrophil response in a mouse model of transient cerebral ischaemia.短暂性脑缺血小鼠模型中中性粒细胞反应的无创近红外荧光成像
J Cereb Blood Flow Metab. 2017 Aug;37(8):2833-2847. doi: 10.1177/0271678X16676825. Epub 2016 Jan 1.
2
Semi-quantitative Multispectral Optoacoustic Tomography (MSOT) for volumetric PK imaging of gastric emptying.半定量多谱段光声断层成像(MSOT)用于胃排空的容积 PK 成像。
Photoacoustics. 2014 Jun 27;2(3):103-10. doi: 10.1016/j.pacs.2014.06.001. eCollection 2014 Sep.
3
Catabolic signaling and muscle wasting after acute ischemic stroke in mice: indication for a stroke-specific sarcopenia.
深度学习有助于实现光声断层扫描和磁共振成像的全自动化脑图像配准。
Biomed Opt Express. 2022 Aug 18;13(9):4817-4833. doi: 10.1364/BOE.458182. eCollection 2022 Sep 1.
4
Recent Technical Advances in Accelerating the Clinical Translation of Small Animal Brain Imaging: Hybrid Imaging, Deep Learning, and Transcriptomics.加速小动物脑成像临床转化的最新技术进展:混合成像、深度学习和转录组学
Front Med (Lausanne). 2022 Mar 24;9:771982. doi: 10.3389/fmed.2022.771982. eCollection 2022.
5
Cross-talk between GABAergic postsynapse and microglia regulate synapse loss after brain ischemia.γ-氨基丁酸能突触后与小胶质细胞之间的相互作用调节脑缺血后的突触丢失。
Sci Adv. 2022 Mar 4;8(9):eabj0112. doi: 10.1126/sciadv.abj0112.
6
Multimodal Contrast Agents for Optoacoustic Brain Imaging in Small Animals.用于小动物光声脑成像的多模态造影剂。
Front Bioeng Biotechnol. 2021 Sep 28;9:746815. doi: 10.3389/fbioe.2021.746815. eCollection 2021.
7
In vivo Imaging of Cannabinoid Type 2 Receptors: Functional and Structural Alterations in Mouse Model of Cerebral Ischemia by PET and MRI.在体成像大麻素 2 型受体:通过 PET 和 MRI 研究脑缺血小鼠模型的功能和结构改变。
Mol Imaging Biol. 2022 Oct;24(5):700-709. doi: 10.1007/s11307-021-01655-4. Epub 2021 Oct 12.
8
and characterization of CRANAD-2 for multi-spectral optoacoustic tomography and fluorescence imaging of amyloid-beta deposits in Alzheimer mice.以及用于阿尔茨海默病小鼠淀粉样β沉积物多光谱光声断层扫描和荧光成像的CRANAD-2的特性表征。
Photoacoustics. 2021 Jul 15;23:100285. doi: 10.1016/j.pacs.2021.100285. eCollection 2021 Sep.
9
A low-cost mouse cage warming system provides improved intra-ischemic and post-ischemic body temperature control - Application for reducing variability in experimental stroke studies.一种低成本的鼠笼加热系统提供了更好的缺血期和再灌注期体温控制-减少实验性中风研究中变异性的应用。
J Neurosci Methods. 2021 Aug 1;360:109228. doi: 10.1016/j.jneumeth.2021.109228. Epub 2021 May 28.
10
Multi-scale optoacoustic molecular imaging of brain diseases.多尺度光声分子成像在脑部疾病中的应用。
Eur J Nucl Med Mol Imaging. 2021 Dec;48(13):4152-4170. doi: 10.1007/s00259-021-05207-4. Epub 2021 Feb 16.
小鼠急性缺血性脑卒中后的分解代谢信号和肌肉减少症:提示存在脑卒中特异性的肌肉减少症。
Stroke. 2014 Dec;45(12):3675-83. doi: 10.1161/STROKEAHA.114.006258. Epub 2014 Oct 28.
4
Surgical manipulation compromises leukocyte mobilization responses and inflammation after experimental cerebral ischemia in mice.手术操作会损害实验性脑缺血后小鼠的白细胞动员反应和炎症反应。
Front Neurosci. 2014 Jan 17;7:271. doi: 10.3389/fnins.2013.00271. eCollection 2013.
5
A Critical Re-Examination of the Intraluminal Filament MCAO Model: Impact of External Carotid Artery Transection.重新审视管内微栓模型:颈外动脉切断的影响。
Transl Stroke Res. 2011 Dec;2(4):651-61. doi: 10.1007/s12975-011-0102-4. Epub 2011 Aug 16.
6
Effects of buprenorphine and meloxicam analgesia on induced cerebral ischemia in C57BL/6 male mice.丁丙诺啡和美洛昔康镇痛对C57BL/6雄性小鼠诱导性脑缺血的影响。
Comp Med. 2013 Apr;63(2):105-13.
7
Multispectral opto-acoustic tomography (MSOT) of the brain and glioblastoma characterization.脑的多光谱光声断层扫描(MSOT)与脑胶质瘤的特征描述。
Neuroimage. 2013 Jan 15;65:522-8. doi: 10.1016/j.neuroimage.2012.09.053. Epub 2012 Sep 28.
8
In vivo imaging of the inflammatory receptor CD40 after cerebral ischemia using a fluorescent antibody.使用荧光抗体对脑缺血后炎症受体CD40进行体内成像。
Stroke. 2008 Oct;39(10):2845-52. doi: 10.1161/STROKEAHA.107.509844. Epub 2008 Jul 17.
9
Rodent models of focal stroke: size, mechanism, and purpose.局灶性中风的啮齿动物模型:大小、机制及目的。
NeuroRx. 2005 Jul;2(3):396-409. doi: 10.1602/neurorx.2.3.396.
10
Studies on the arterial system of three inbred strains of mice.三种近交系小鼠动脉系统的研究。
J Morphol. 1959 May;104:441-78. doi: 10.1002/jmor.1051040304.