Suppr超能文献

胆管结扎和四氯化碳诱导的肝硬化小鼠模型中的骨骼肌减少症

Skeletal muscle myopenia in mice model of bile duct ligation and carbon tetrachloride-induced liver cirrhosis.

作者信息

Giusto Michela, Barberi Laura, Di Sario Francesca, Rizzuto Emanuele, Nicoletti Carmine, Ascenzi Francesca, Renzi Anastasia, Caporaso Nicola, D'Argenio Giuseppe, Gaudio Eugenio, Musarò Antonio, Merli Manuela

机构信息

Gastroenterology Department of Clinical Medicine, Sapienza University of Rome, Rome, Italy.

Department of Anatomy, Histology, Forensic Medicine and Orthopedics -Unit of Histology and Medical Embryology, Sapienza University of Rome Laboratory affiliated to Istituto Pasteur Italia - Fondazione Cenci Bolognetti Rome, Italy.

出版信息

Physiol Rep. 2017 Apr;5(7). doi: 10.14814/phy2.13153.

Abstract

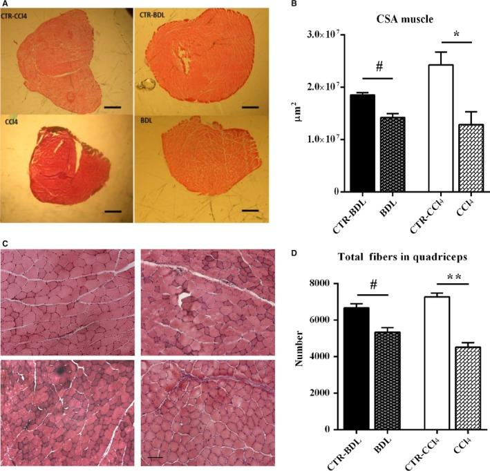
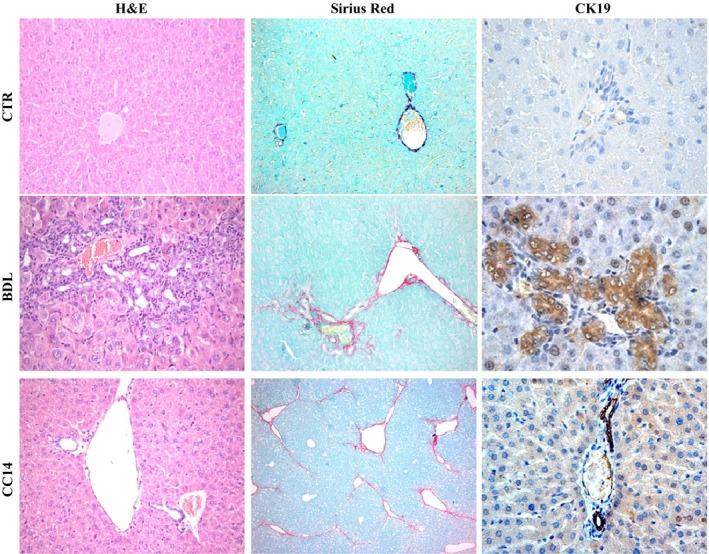
Skeletal muscle myopathy is universal in cirrhotic patients, however, little is known about the main mechanisms involved. The study aims to investigate skeletal muscle morphological, histological, and functional modifications in experimental models of cirrhosis and the principal molecular pathways responsible for skeletal muscle myopathy. Cirrhosis was induced by bile duct ligation (BDL) and carbon tetrachloride (CCl4) administration in mice. Control animals (CTR) underwent bile duct exposure or vehicle administration only. At sacrifice, peripheral muscles were dissected and weighed. Contractile properties of extensor digitorum longus (EDL) were studied in vitro. Muscle samples were used for histological and molecular analysis. Quadriceps muscle histology revealed a significant reduction in cross-sectional area of muscle and muscle fibers in cirrhotic mice with respect to CTR. Kinetic properties of EDL in both BDL and CCl4 were reduced with respect to CTR; BDL mice also showed a reduction in muscle force and a decrease in the resistance to fatigue. Increase in myostatin expression associated with a decrease in AKT-mTOR expressions was observed in BDL mice, together with an increase in LC3 protein levels. Upregulation of the proinflammatory citochines TNF-a and IL6 and an increased expression of NF-kB and MuRF-1 were observed in CCl4 mice. In conclusion, skeletal muscle myopenia was present in experimental models of BDL and CCl4-induced cirrhosis. Moreover, reduction in protein synthesis and activation of protein degradation were the main mechanisms responsible for myopenia in BDL mice, while activation of ubiquitin-pathway through inflammatory cytokines seems to be the main potential mechanism involved in CCl4 mice.

摘要

骨骼肌病在肝硬化患者中普遍存在,然而,其主要发病机制仍知之甚少。本研究旨在探讨肝硬化实验模型中骨骼肌的形态学、组织学和功能变化,以及导致骨骼肌病的主要分子途径。通过胆管结扎(BDL)和给小鼠注射四氯化碳(CCl4)诱导肝硬化。对照动物(CTR)仅接受胆管暴露或注射溶剂。处死时,解剖并称重外周肌肉。体外研究趾长伸肌(EDL)的收缩特性。肌肉样本用于组织学和分子分析。股四头肌组织学显示,与CTR相比,肝硬化小鼠的肌肉和肌纤维横截面积显著减小。与CTR相比,BDL和CCl4组的EDL动力学特性均降低;BDL小鼠还表现出肌肉力量下降和疲劳抵抗力降低。在BDL小鼠中观察到肌肉生长抑制素表达增加,同时AKT-mTOR表达降低,LC3蛋白水平升高。在CCl4小鼠中观察到促炎细胞因子TNF-α和IL6上调,以及NF-κB和MuRF-1表达增加。总之,在BDL和CCl4诱导的肝硬化实验模型中存在骨骼肌减少症。此外,蛋白质合成减少和蛋白质降解激活是BDL小鼠骨骼肌减少症的主要机制,而通过炎性细胞因子激活泛素途径似乎是CCl4小鼠骨骼肌减少症的主要潜在机制。

https://cdn.ncbi.nlm.nih.gov/pmc/blobs/2523/5392502/8e0561554079/PHY2-5-e13153-g001.jpg

文献AI研究员

20分钟写一篇综述,助力文献阅读效率提升50倍。

立即体验

用中文搜PubMed

大模型驱动的PubMed中文搜索引擎

马上搜索

文档翻译

学术文献翻译模型,支持多种主流文档格式。

立即体验