Suppr超能文献

加纳科勒布教学医院鼻咽癌中人乳头瘤病毒基因型和爱泼斯坦-巴尔病毒的检测

Detection of Human Papillomavirus Genotypes and Epstein-Barr Virus in Nasopharyngeal Carcinomas at the Korle-Bu Teaching Hospital, Ghana.

作者信息

Asante Du-Bois, Asmah Richard Harry, Adjei Andrew Anthony, Kyei Foster, Simpong David Larbi, Brown Charles Addoquaye, Gyasi Richard Kwasi

机构信息

Department of Pathology, University of Ghana School of Biomedical and Allied Health Sciences, College of Health Sciences, P.O. Box KB 4236, Korle-Bu, Accra, Ghana.

Biomedical and Forensic Sciences, School of Biological Sciences, College of Agriculture and Natural Sciences, University of Cape Coast, Cape Coast, Ghana.

出版信息

ScientificWorldJournal. 2017;2017:2721367. doi: 10.1155/2017/2721367. Epub 2017 Mar 21.

Abstract

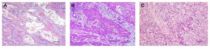
Nasopharyngeal carcinomas (NPC) are endemic in Far East Asia and commonly harbour Epstein-Barr virus (EBV) which is known to serve as a key oncogenic promoter. Human papillomavirus (HPV) is known to contribute to the pathogenesis of NPC. However, in Ghana these two viruses have not been linked to NPC prevalence. This study was designed to determine the HPV genotypes and EBV involved in NPC tissue biopsies. A retrospective study design involving 72 formalin-fixed paraffin-embedded tissue (FFPET) samples of NPC from 2006 to 2012 were retrieved from the Department of Pathology, University of Ghana School of Biomedical and Allied Health Sciences. Sections were taken for histological analysis and for DNA lysate preparation. The DNA lysates were subjected to polymerase chain reaction (PCR) analysis to determine the presence of HPV genotypes and EBV. HPV specific primers were used to type for fourteen HPV genotypes (HPV-16, 18, 6/11, 31, 33, 35, 44, 42, 43, 45, 56, 52, 58, and 59). Out of the 72 NPC biopsies analyzed by PCR, EBV DNA was present in 18 (25%) cases and HPV DNA in 14 (19.23%). High risk HPV (HR-HPV) genotypes 18 and 31 were associated with the NPC. There were 3 (4.2%) cases of coinfection by both viruses. The EBV DNA present in the undifferentiated variant of the NPC and the histopathology of the NPC in Ghana is similar to the type described in endemic areas.

摘要

鼻咽癌(NPC)在东亚地区呈地方性流行,通常携有已知作为关键致癌启动子的爱泼斯坦-巴尔病毒(EBV)。已知人乳头瘤病毒(HPV)与鼻咽癌的发病机制有关。然而,在加纳,这两种病毒与鼻咽癌的患病率并无关联。本研究旨在确定参与鼻咽癌组织活检的HPV基因型和EBV。一项回顾性研究设计,涉及从加纳大学医学院生物医学与联合健康科学学院病理学系检索的2006年至2012年的72份鼻咽癌福尔马林固定石蜡包埋组织(FFPET)样本。切片用于组织学分析和DNA裂解物制备。对DNA裂解物进行聚合酶链反应(PCR)分析,以确定HPV基因型和EBV的存在。使用HPV特异性引物对14种HPV基因型(HPV-16、18、6/11、31、33、35、44、42、43、45、5

https://cdn.ncbi.nlm.nih.gov/pmc/blobs/9f20/5379089/a3a3a9d170ae/TSWJ2017-2721367.001.jpg

文献AI研究员

20分钟写一篇综述,助力文献阅读效率提升50倍。

立即体验

用中文搜PubMed

大模型驱动的PubMed中文搜索引擎

马上搜索

文档翻译

学术文献翻译模型,支持多种主流文档格式。

立即体验