Suppr超能文献

51岁男性原发性腹膜后成熟性囊性畸胎瘤(皮样囊肿):病例报告及历史文献回顾

Primary retroperitoneal mature cystic teratoma (dermoid cyst) in a 51-year-old male:Case report and historical literature review.

作者信息

Tiu Andrew, Sovani Vinayak, Khan Nasir, Hooda Shveta

机构信息

Department of Pathology, Ohio Valley Medical Center, Wheeling, WV, USA.

出版信息

SAGE Open Med Case Rep. 2017 Mar 23;5:2050313X17700745. doi: 10.1177/2050313X17700745. eCollection 2017.

Abstract

OBJECTIVES

Primary retroperitoneal mature cystic teratomas are exceedingly uncommon in males aged 50 years and above, and only seven cases have been reported in the literature so far. They usually occur in infants less than 6 months and young females. The aim of this article is to present a rare case of a 51-year-old male with a primary retroperitoneal mature cystic teratoma located in the right infrarenal area adherent to the psoas muscle and to discuss a historical literature review.

METHODS

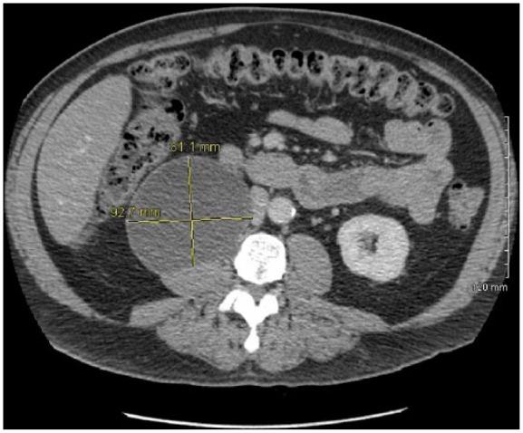
An incidental hypoechoic, solid appearing 8.2 × 7.6 × 7.8 cm mass arising off the inferior pole of the right kidney was found on abdominal ultrasound during evaluation for a history of alcoholism. Computerized tomography (CT) scan revealed small calcifications in the lower part of the cystic mass. Laparotomy with excision of the retroperitoneal mass was performed.

RESULTS

On gross examination, the specimen consisted of a cyst filled with pale yellow greasy material with entrapped hair. Histopathologic examination revealed a dermoid cyst with focal chronic inflammation, dystrophic calcification, and foreign-body giant cell reaction.

CONCLUSIONS

Retroperitoneal mature cystic teratoma in an older male is extremely rare. Primary gonadal teratoma with retroperitoneal metastasis should be excluded first. Evaluation of age and location of tumor are critical for its prognosis. Complete excision of tumor is necessary to evaluate whether there are immature and solid elements which need long-term follow up due to the increased risk of malignancy.

摘要

目的

原发性腹膜后成熟囊性畸胎瘤在50岁及以上男性中极为罕见,迄今为止文献中仅报道过7例。它们通常发生在6个月以下的婴儿和年轻女性中。本文旨在介绍一例罕见的51岁男性原发性腹膜后成熟囊性畸胎瘤病例,该肿瘤位于右肾下极区域,与腰大肌粘连,并进行文献综述。

方法

在对一名有酗酒史的患者进行腹部超声检查时,发现右肾下极有一个偶然发现的低回声、实性的8.2×7.6×7.8 cm肿块。计算机断层扫描(CT)显示囊性肿块下部有小钙化灶。进行了剖腹手术切除腹膜后肿块。

结果

大体检查时,标本为一个充满淡黄色油腻物质并夹杂毛发的囊肿。组织病理学检查显示为皮样囊肿,伴有局灶性慢性炎症、营养不良性钙化和异物巨细胞反应。

结论

老年男性腹膜后成熟囊性畸胎瘤极为罕见。首先应排除原发性性腺畸胎瘤伴腹膜后转移。评估肿瘤的年龄和位置对其预后至关重要。彻底切除肿瘤对于评估是否存在不成熟和实性成分很有必要,因为这些成分因恶性风险增加而需要长期随访。

https://cdn.ncbi.nlm.nih.gov/pmc/blobs/5801/5433670/853bbc0ae2fe/10.1177_2050313X17700745-fig1.jpg

文献AI研究员

20分钟写一篇综述,助力文献阅读效率提升50倍。

立即体验

用中文搜PubMed

大模型驱动的PubMed中文搜索引擎

马上搜索

文档翻译

学术文献翻译模型,支持多种主流文档格式。

立即体验