Suppr超能文献

卵清蛋白基因:完整天然基因的克隆与分子结构

The ovalbumin gene: cloning and molecular organization of the entire natural gene.

作者信息

Dugaiczyk A, Woo S L, Colbert D A, Lai E C, Mace M L, O'Malley B W

出版信息

Proc Natl Acad Sci U S A. 1979 May;76(5):2253-7. doi: 10.1073/pnas.76.5.2253.

Abstract

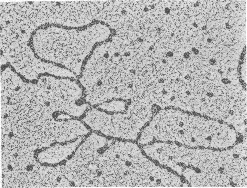
We report the analyses of recently cloned restriction fragments of the natural ovalbumin gene that overlap in part with previously cloned DNA fragments but extend further into the flanking sequences of the gene. These clones now permit us to identify the DNA sequence that codes for the 5' end of ovalbumin mRNA. Based on these and previous results, the molecular organization of the entire ovalbumin gene was established. The entire gene is composed of eight structural DNA sequences separated by seven intervening sequences that are not present in the mature mRNA. In addition, an ovalbumin gene clone has been obtained from a chicken gene library. Analysis of DNA isolated from this particular clone by molecular hybridization and electron microscopic mapping revealed that it contains the entire ovalbumin gene a single segment of DNA and its structure was consistent with that predicted from our physical map constructed from individually cloned fragments of the gene.

摘要

我们报告了对天然卵清蛋白基因最近克隆的限制性片段的分析,这些片段部分与先前克隆的DNA片段重叠,但进一步延伸到该基因的侧翼序列。这些克隆现在使我们能够鉴定出编码卵清蛋白mRNA 5'端的DNA序列。基于这些以及先前的结果,确定了整个卵清蛋白基因的分子组织。整个基因由八个结构DNA序列组成,这些序列被七个间隔序列隔开,这些间隔序列在成熟mRNA中不存在。此外,从鸡基因文库中获得了一个卵清蛋白基因克隆。通过分子杂交和电子显微镜图谱分析从这个特定克隆中分离的DNA,发现它包含整个卵清蛋白基因——一段单一的DNA片段,其结构与我们根据该基因的单个克隆片段构建的物理图谱所预测的一致。

https://cdn.ncbi.nlm.nih.gov/pmc/blobs/2485/383577/3a4be1610ba7/pnas00005-0172-a.jpg

文献检索

告别复杂PubMed语法,用中文像聊天一样搜索,搜遍4000万医学文献。AI智能推荐,让科研检索更轻松。

立即免费搜索

文件翻译

保留排版,准确专业,支持PDF/Word/PPT等文件格式,支持 12+语言互译。

免费翻译文档

深度研究

AI帮你快速写综述,25分钟生成高质量综述,智能提取关键信息,辅助科研写作。

立即免费体验