Suppr超能文献

3D 预制钛膜在牙槽骨缺损引导骨再生中的机械性能和生物计量学效应。

The Mechanical Properties and Biometrical Effect of 3D Preformed Titanium Membrane for Guided Bone Regeneration on Alveolar Bone Defect.

机构信息

Department of Prosthodontics, Dental Research Institute, Institute of Translational Dental Sciences, BK21 PLUS Project, School of Dentistry, Pusan National University, Yangsan 50612, Republic of Korea.

Biomedical Engineering, School of Medicine, Pusan National University, Yangsan, Republic of Korea.

出版信息

Biomed Res Int. 2017;2017:7102123. doi: 10.1155/2017/7102123. Epub 2017 Sep 5.

Abstract

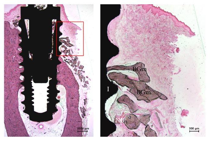
The purpose of this study is to evaluate the effect of three-dimensional preformed titanium membrane (3D-PFTM) to enhance mechanical properties and ability of bone regeneration on the peri-implant bone defect. 3D-PFTMs by new mechanically compressive molding technology and manually shaped- (MS-) PFTMs by hand manipulation were applied in artificial peri-implant bone defect model for static compressive load test and cyclic fatigue load test. In 12 implants installed in the mandibular of three beagle dogs, six 3D-PFTMs, and six collagen membranes (CM) randomly were applied to 2.5 mm peri-implant buccal bone defect with particulate bone graft materials for guided bone regeneration (GBR). The 3D-PFTM group showed about 7.4 times higher mechanical stiffness and 5 times higher fatigue resistance than the MS-PFTM group. The levels of the new bone area (NBA, %), the bone-to-implant contact (BIC, %), distance from the new bone to the old bone (NB-OB, %), and distance from the osseointegration to the old bone (OI-OB, %) were significantly higher in the 3D-PFTM group than the CM group ( < .001). It was verified that the 3D-PFTM increased mechanical properties which were effective in supporting the space maintenance ability and stabilizing the particulate bone grafts, which led to highly efficient bone regeneration.

摘要

本研究旨在评估三维预制钛膜(3D-PFTM)对增强机械性能和促进种植体周围骨再生能力的作用。通过新型机械压缩成型技术制作的 3D-PFTM 和手动成型的(MS)-PFTM 通过手工操作,应用于人工种植体周围骨缺损的静态压缩负荷试验和循环疲劳负荷试验。在三只比格犬下颌骨中安装的 12 个种植体中,将 6 个 3D-PFTM 和 6 个胶原膜(CM)随机应用于 2.5mm 种植体颊侧骨缺损,并用颗粒状骨移植材料进行引导骨再生(GBR)。3D-PFTM 组的机械刚度比 MS-PFTM 组高约 7.4 倍,疲劳阻力高 5 倍。3D-PFTM 组的新骨面积(NBA,%)、骨与种植体接触率(BIC,%)、新骨与旧骨之间的距离(NB-OB,%)和骨整合与旧骨之间的距离(OI-OB,%)水平明显高于 CM 组(<0.001)。证实 3D-PFTM 提高了机械性能,这对于支持空间维持能力和稳定颗粒状骨移植物是有效的,从而导致了高效的骨再生。

https://cdn.ncbi.nlm.nih.gov/pmc/blobs/f5d7/5605874/fc304908d617/BMRI2017-7102123.001.jpg

文献AI研究员

20分钟写一篇综述,助力文献阅读效率提升50倍。

立即体验

用中文搜PubMed

大模型驱动的PubMed中文搜索引擎

马上搜索

文档翻译

学术文献翻译模型,支持多种主流文档格式。

立即体验