Suppr超能文献

美沙拉嗪所致肺损伤病例报告:一种可逆的药物副作用。

A case report of mesalazine-induced lung injury: A reversible drug side effect.

作者信息

Kotsiou Ourania S, Gourgoulianis Konstantinos I

机构信息

Respiratory Medicine Department, University of Thessaly School of Medicine, Biopolis, 41110 Larissa, Thessaly, Greece.

出版信息

Respir Med Case Rep. 2019 May 27;27:100865. doi: 10.1016/j.rmcr.2019.100865. eCollection 2019.

Abstract

INTRODUCTION

Mesalazine is widely used in the treatment of the acute and maintenance phase of ulcerative colitis (UC). The possibility of interstitial lung disease being induced by mesalazine in the form of eosinophilic pneumonia, organizing pneumonia, and nonspecific interstitial pneumonia has been acknowledged for decades. However, mesalazine-related hypersensitivity pneumonitis (HP) constitutes an infrequent entity.

CASE REPORT

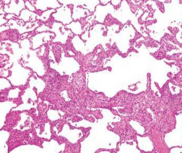
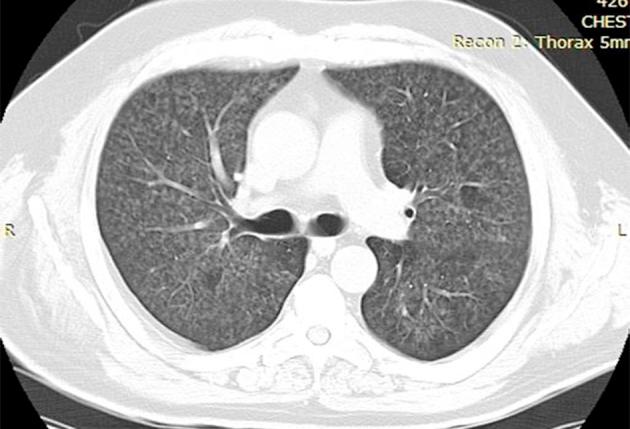
A 55-year-old Caucasian man, with a six-month medical history of UC under long-term maintenance treatment with oral mesalazine, presented with a week-long low-grade fever, dry cough and a diffuse bilateral centrilobular ill-defined micronodular pattern in chest imaging. On examination, he had dyspnea with hypoxemic respiratory failure. After extensive workup, potential differential diagnoses such as pulmonary infections were ruled out. Bronchoalveolar lavage (BAL) cellular analysis demonstrated a predominance of lymphocytes and an eosinophilia. The transbronchial biopsy findings confirmed lymphocytic alveolitis. The diagnosis of subacute HP was made with confidence because of the compatible clinical, radiographic, physiologic, BAL and histopathologic findings. Mesalazine withdrawal was decided. Substantial clinical improvement was promptly noticed. The fever abated within 24 hours alongside with a significant improvement of arterial oxygen saturation and lung function parameters. A radiological recovery was also gradually noticed.

CONCLUSIONS

Mesalazine-induced HP has been scarcely described in the literature. This Case indicates that HP is a rare but real entity in UC patients on continuous oral mesalazine treatment; its possibility should also be considered when unexplained respiratory symptoms develop during therapy. Amelioration of symptoms, imaging, and lung function improvement seem to occur only upon the abrupt drug discontinuation.

摘要

引言

美沙拉嗪广泛用于治疗溃疡性结肠炎(UC)的急性期和维持期。几十年来,人们已经认识到美沙拉嗪可能以嗜酸性粒细胞性肺炎、机化性肺炎和非特异性间质性肺炎的形式诱发间质性肺病。然而,美沙拉嗪相关的过敏性肺炎(HP)是一种罕见的情况。

病例报告

一名55岁的白人男性,有6个月的UC病史,长期口服美沙拉嗪进行维持治疗,出现了持续一周的低热、干咳,胸部影像学显示双侧弥漫性小叶中心性边界不清的微小结节影。检查时,他有呼吸困难伴低氧性呼吸衰竭。经过广泛检查,排除了肺部感染等潜在的鉴别诊断。支气管肺泡灌洗(BAL)细胞分析显示淋巴细胞占优势且有嗜酸性粒细胞增多。经支气管活检结果证实为淋巴细胞性肺泡炎。由于临床、影像学、生理学、BAL和组织病理学结果相符,确诊为亚急性HP。决定停用美沙拉嗪。很快就注意到临床有显著改善。发热在24小时内消退,同时动脉血氧饱和度和肺功能参数有明显改善。影像学上也逐渐恢复。

结论

美沙拉嗪诱发的HP在文献中鲜有描述。本病例表明,HP在持续口服美沙拉嗪治疗的UC患者中是一种罕见但真实存在的情况;在治疗期间出现无法解释的呼吸道症状时也应考虑其可能性。症状改善、影像学和肺功能改善似乎仅在突然停药后才会出现。

https://cdn.ncbi.nlm.nih.gov/pmc/blobs/4287/6545345/39136ba641a8/gr1.jpg

文献AI研究员

20分钟写一篇综述,助力文献阅读效率提升50倍。

立即体验

用中文搜PubMed

大模型驱动的PubMed中文搜索引擎

马上搜索

文档翻译

学术文献翻译模型,支持多种主流文档格式。

立即体验