Department of Anesthesiology, Chiayi Chang Gung Memorial Hospital, Chiayi, Taiwan.
Department of Mechanical Engineering, Chang Gung University, Taoyuan, Taiwan.
Int J Nanomedicine. 2019 May 29;14:4007-4016. doi: 10.2147/IJN.S202402. eCollection 2019.
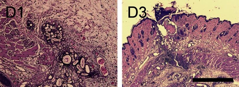
This study exploited sheath-core-structured lidocaine/human EGF (hEGF)-loaded anti-adhesive poly[(d,l)-lactide-co-glycolide] (PLGA) nanofibrous films for surgical wounds via a co-axial electrospinning technique. After spinning, the properties of the co-axially spun membranes were characterized by scanning electron microscopy, laser-scanning confocal microscopy, Fourier Transform Infrared spectrometry, water contact angle measurements, and tensile tests. Furthermore, a HPLC analysis and an ELISA evaluated the in vitro and in vivo release curves of lidocaine and hEGF from the films. PLGA anti-adhesion nanofibers eluted high levels of lidocaine and hEGF for over 32 and 27 days, respectively, in vitro. The in vivo evaluation of post-surgery recovery in a rat model demonstrated that no adhesion was noticed in tissues at 2 weeks after surgery illustrating the anti-adhesive performance of the sheath-core-structured nanofibers. Nanofibrous films effectively released lidocaine and hEGF for >2 weeks in vivo. In addition, rats implanted with the lidocaine/hEGF nanofibrous membranes exhibited greater activities than the control demonstrating the pain relief efficacy of the films. The empirical outcomes suggested that the anti-adhesive nanofibrous films with extended release of lidocaine and hEGF offer post-operative pain relief and wound healing.
本研究通过同轴静电纺丝技术,利用具有鞘芯结构的利多卡因/人表皮生长因子(hEGF)负载型抗粘连聚(D,L)-丙交酯-共-乙交酯(PLGA)纳米纤维膜用于外科伤口。纺丝后,通过扫描电子显微镜、激光共聚焦显微镜、傅里叶变换红外光谱、水接触角测量和拉伸试验对共轴纺丝膜的性能进行了表征。此外,通过 HPLC 分析和 ELISA 评估了利多卡因和 hEGF 从薄膜中的体外和体内释放曲线。PLGA 抗粘连纳米纤维在体外分别释放出高浓度的利多卡因和 hEGF 超过 32 天和 27 天。在大鼠模型中对手术后恢复情况的体内评估表明,手术后 2 周组织中未发现粘连,表明鞘芯结构纳米纤维具有抗粘连性能。纳米纤维膜在体内能有效释放利多卡因和 hEGF 超过 2 周。此外,植入利多卡因/hEGF 纳米纤维膜的大鼠比对照组表现出更高的活性,证明了这些膜具有缓解疼痛的功效。实验结果表明,具有延长利多卡因和 hEGF 释放的抗粘连纳米纤维膜可提供术后止痛和伤口愈合效果。