Suppr超能文献

伊拉斯谟综合征:一名26岁男性硅沉着病诱发硬皮病的病例报告。

Erasmus Syndrome: A Case Report of Silicosis-induced Scleroderma in a 26-year-old Male.

作者信息

Ganguly Joydeep, Kumar Abhishek, Samanta Santu Kumar, Mitra Ritabrata, Kundu Somenath

机构信息

RMO cum Clinical Tutor and Acting Head, Department of Pulmonary Medicine, Murshidabad Medical College, Berhampore, West Bengal, India; Formerly Assistant Professor and Head, Department of Pulmonary Medicine, Sikkim Manipal Institute of Medical Sciences, Gangtok, Sikkim, India.

Department of Pulmonary Medicine, Institute of Postgraduate Medical Education & Research, Kolkata, India.

出版信息

Oman Med J. 2013 Sep;28(5):e058. doi: 10.5001/omj.2013.110.

Abstract

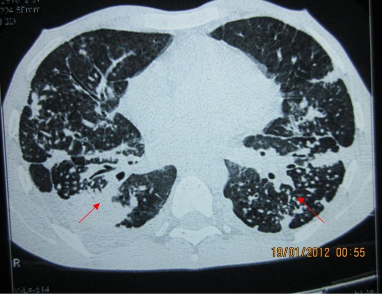
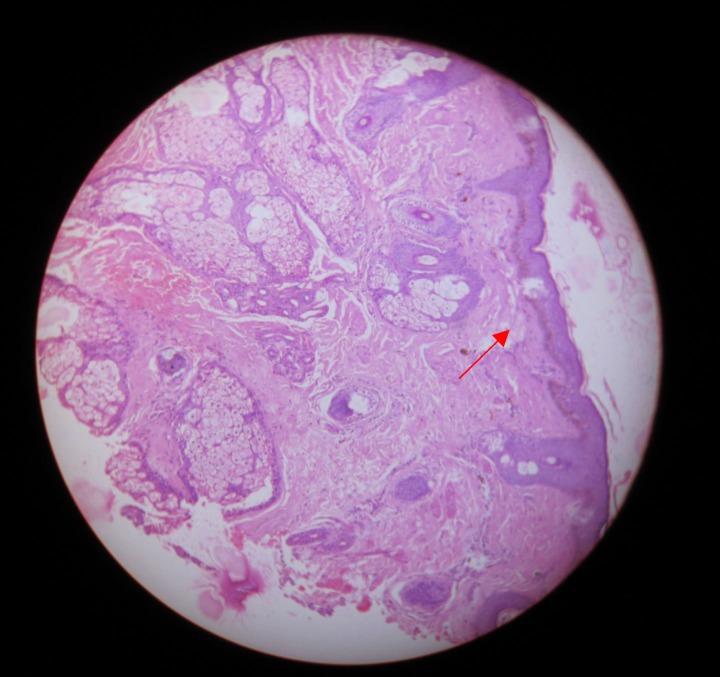
Several occupational hazards especially exposure to silica have been implicated as causal factors for the development of scleroderma-like disorders. Many case reports have documented the co-existence of silicosis and progressive systemic sclerosis in the same patient, mostly from European countries and also from Japan and the United States. We report a case of a 26-year-old male involved in stone masonry who developed silicosis-induced diffuse parenchymal lung disease and systemic sclerosis after exposure to silica dust. To our knowledge, it is the second case to be reported from India.

摘要

几种职业危害因素,尤其是接触二氧化硅,已被认为是硬皮病样疾病发生的致病因素。许多病例报告记录了同一患者同时存在矽肺和进行性系统性硬化症,这些病例大多来自欧洲国家,也有来自日本和美国的。我们报告一例26岁从事石匠工作的男性病例,该患者在接触二氧化硅粉尘后患上了矽肺引起的弥漫性实质性肺疾病和系统性硬化症。据我们所知,这是印度报告的第二例此类病例。

https://cdn.ncbi.nlm.nih.gov/pmc/blobs/210f/6669304/21cd737e57e1/OMJ-D-12-00343-f1.jpg

文献检索

告别复杂PubMed语法,用中文像聊天一样搜索,搜遍4000万医学文献。AI智能推荐,让科研检索更轻松。

立即免费搜索

文件翻译

保留排版,准确专业,支持PDF/Word/PPT等文件格式,支持 12+语言互译。

免费翻译文档

深度研究

AI帮你快速写综述,25分钟生成高质量综述,智能提取关键信息,辅助科研写作。

立即免费体验