Suppr超能文献

用内酯酶对银纳米颗粒进行生物功能化会导致抗菌和细胞毒性特性发生改变。

Biofunctionalization of Silver Nanoparticles With Lactonase Leads to Altered Antimicrobial and Cytotoxic Properties.

作者信息

Gupta Kshitiz, Chhibber Sanjay

机构信息

Department of Microbiology, Panjab University, Chandigarh, India.

出版信息

Front Mol Biosci. 2019 Aug 6;6:63. doi: 10.3389/fmolb.2019.00063. eCollection 2019.

Abstract

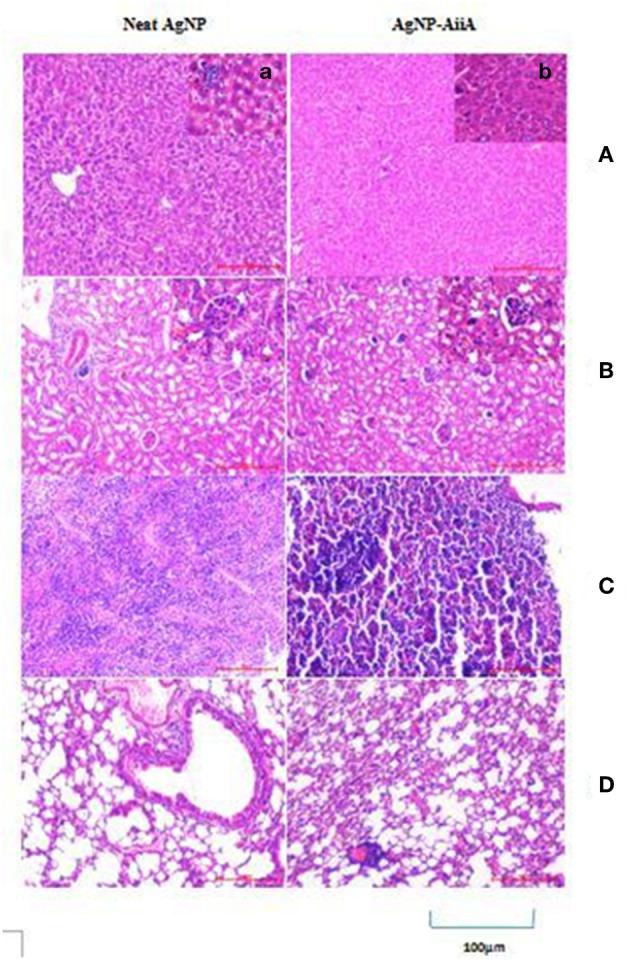
N-acylated homoserine lactone lactonase which cleave the Acyl homoserine lactone molecules produced by biofilm-forming pathogens and silver nano-particles (AgNPs), are known for their antibacterial effect against several Gram-positive and Gram-negative bacteria. In this study, AgNPs were coated with N-acylated homoserine lactonase protein (AgNPs-AiiA) isolated from sp. ZA12. The AgNPs-AiiA complex was characterized by UV-visible spectra, Dynamic light Scattering, Fourier transform infrared spectroscopy (FTIR), and Field Emission Scanning Electron Microscope (Fe-SEM). The synthesized nano-particles were found to be spherical in shape and had an approximate size of 22.4 nm. Treatment with AiiA coated AgNPs showed a significant reduction in exopolysaccharide production, metabolic activity, cell surface hydrophobicity of bacterial cells, and anti-biofilm activity against multidrug-resistant as compared to treatment with AiiA protein and neat AgNPs. AgNPs-AiiA complex exhibited potent antibiofilm activity at sub-optimal concentration of 14.4 μg/mL without being harmful to the macrophages and to the various tissues including kidney, liver, spleen and lungs of BALB/c mice upon intra-venous administration. It is concluded that at a concentration of 14.4 μg/mL, AgNPs coated with AiiA kill bacteria without harming the host tissue and provides a suitable template to design novel anti-biofilm drug to circumvent the issue of drug resistance.

摘要

N-酰化高丝氨酸内酯内酯酶可裂解生物膜形成病原体产生的酰基高丝氨酸内酯分子以及银纳米颗粒(AgNP),其对多种革兰氏阳性和革兰氏阴性细菌具有抗菌作用。在本研究中,AgNP用从sp. ZA12分离的N-酰化高丝氨酸内酯酶蛋白(AgNP-AiiA)进行了包被。通过紫外可见光谱、动态光散射、傅里叶变换红外光谱(FTIR)和场发射扫描电子显微镜(Fe-SEM)对AgNP-AiiA复合物进行了表征。发现合成的纳米颗粒呈球形,近似尺寸为22.4 nm。与用AiiA蛋白和纯AgNP处理相比,用AiiA包被的AgNP处理显示细菌细胞的胞外多糖产量、代谢活性、细胞表面疏水性显著降低,且对多药耐药菌具有抗生物膜活性。AgNP-AiiA复合物在14.4 μg/mL的次优浓度下表现出强大的抗生物膜活性,静脉给药时对巨噬细胞以及BALB/c小鼠的包括肾脏、肝脏、脾脏和肺在内的各种组织均无损害。得出的结论是,在14.4 μg/mL的浓度下,用AiiA包被的AgNP可杀死细菌而不损害宿主组织,并为设计新型抗生物膜药物以规避耐药性问题提供了合适的模板。

https://cdn.ncbi.nlm.nih.gov/pmc/blobs/32fc/6691173/be85965f616a/fmolb-06-00063-g0001.jpg

文献检索

告别复杂PubMed语法,用中文像聊天一样搜索,搜遍4000万医学文献。AI智能推荐,让科研检索更轻松。

立即免费搜索

文件翻译

保留排版,准确专业,支持PDF/Word/PPT等文件格式,支持 12+语言互译。

免费翻译文档

深度研究

AI帮你快速写综述,25分钟生成高质量综述,智能提取关键信息,辅助科研写作。

立即免费体验