• 文献检索
  • 文档翻译
  • 深度研究
  • 学术资讯
  • Suppr Zotero 插件Zotero 插件
  • 邀请有礼
  • 套餐&价格
  • 历史记录
应用&插件
Suppr Zotero 插件Zotero 插件浏览器插件Mac 客户端Windows 客户端微信小程序
定价
高级版会员购买积分包购买API积分包
服务
文献检索文档翻译深度研究API 文档MCP 服务
关于我们
关于 Suppr公司介绍联系我们用户协议隐私条款
关注我们

Suppr 超能文献

核心技术专利:CN118964589B侵权必究
粤ICP备2023148730 号-1Suppr @ 2026

文献检索

告别复杂PubMed语法,用中文像聊天一样搜索,搜遍4000万医学文献。AI智能推荐,让科研检索更轻松。

立即免费搜索

文件翻译

保留排版,准确专业,支持PDF/Word/PPT等文件格式,支持 12+语言互译。

免费翻译文档

深度研究

AI帮你快速写综述,25分钟生成高质量综述,智能提取关键信息,辅助科研写作。

立即免费体验

基于代谢组学的百草枯毒理学和 5-羟基-1-甲基海因对百草枯引起的肺损伤的保护作用的药理学。

Toxicology of paraquat and pharmacology of the protective effect of 5-hydroxy-1-methylhydantoin on lung injury caused by paraquat based on metabolomics.

机构信息

School of Forensic Medicine, China Medical University, Liaoning, 110014, China.

出版信息

Sci Rep. 2020 Feb 4;10(1):1790. doi: 10.1038/s41598-020-58599-y.

DOI:10.1038/s41598-020-58599-y
PMID:32019966
原文链接:https://pmc.ncbi.nlm.nih.gov/articles/PMC7000692/
Abstract

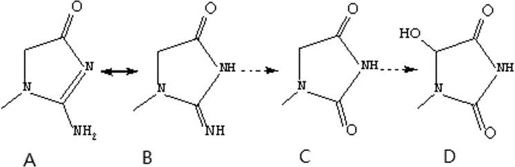
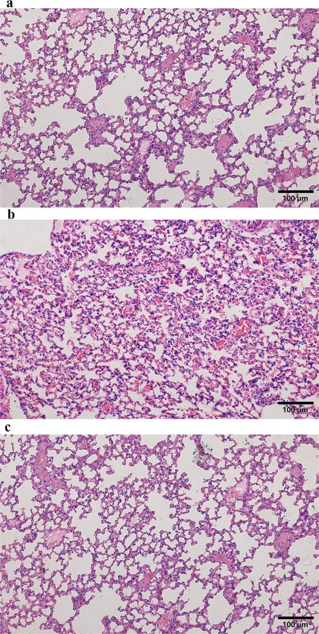
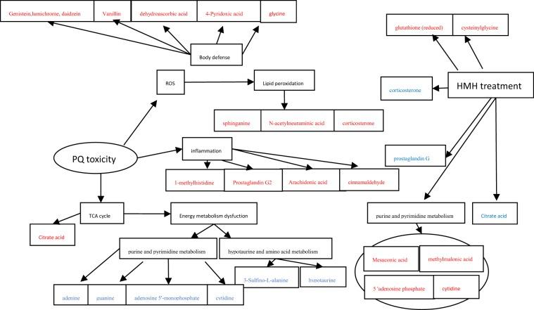
Paraquat (PQ) is a non-selective herbicide and is exceedingly toxic to humans. The mechanism of PQ toxicity is very complex and has not been clearly defined. There is no specific antidote for PQ poisoning. 5-hydroxy-1-methylhydantoin (HMH) is an intrinsic antioxidant and can protect against renal damage caused by PQ. The mechanism of PQ toxicology and the possible effects of HMH on PQ-induced lung injury were determined in this study. It was found that PQ decreased superoxide dismutase (SOD) activity and elevated the level of malondialdehyde (MDA), while HMH elevated SOD activity and decreased the level of MDA. Based on metabolomics, the citrate cycle, glutathione metabolism, taurine and hypotaurine metabolism, regulation of lipolysis in adipocytes, inflammatory mediator regulation of TRP channels, purine and pyrimidine metabolism, aldosterone synthesis and secretion, and phenylalanine metabolism were changed in the PQ group. Compared with the PQ group, the levels of N-acetyl-l-aspartic acid, L-glutamic acid, L-aspartic acid, mesaconic acid, adenosine 5' monophosphate, methylmalonic acid, cytidine, phosphonoacetic acid, hypotaurine, glutathione (reduced) and cysteinylglycine increased, while the levels of corticosterone, xanthine, citric acid, prostaglandin G2, 4-pyridoxic acid and succinyl proline decreased in the HMH group. These metabolites revealed that HMH can alleviate inflammation caused by PQ and elevate the activity of intrinsic antioxidants. In conclusion, our results revealed PQ toxicology and the pharmacology underlying the protective effect of HMH on lung injury due to PQ. Toxicity caused by PQ results in lipid peroxidation and an increase in reactive oxygen species (ROS), nitric oxide (NO), damage to the biliary system, gastrointestinal system and nervous system, in addition to lungs, kidneys, and the liver. HMH is a good antioxidant and protects against lung injury caused by PQ. In summary, HMH efficiently reduced PQ-induced lung injury in mice.

摘要

百草枯(PQ)是一种非选择性除草剂,对人类有极高毒性。PQ 毒性的机制非常复杂,尚未明确界定。对于 PQ 中毒,目前尚无特效解毒剂。5-羟甲基-1,2,4-三唑(HMH)是一种内源性抗氧化剂,可预防 PQ 引起的肾损伤。本研究旨在确定 PQ 毒理学机制以及 HMH 对 PQ 诱导的肺损伤的可能影响。结果发现,PQ 降低了超氧化物歧化酶(SOD)活性并升高了丙二醛(MDA)水平,而 HMH 则升高了 SOD 活性并降低了 MDA 水平。基于代谢组学分析,柠檬酸循环、谷胱甘肽代谢、牛磺酸和次牛磺酸代谢、脂肪细胞脂解的调节、TRP 通道的炎症介质调节、嘌呤和嘧啶代谢、醛固酮的合成和分泌以及苯丙氨酸代谢在 PQ 组中发生了改变。与 PQ 组相比,HMH 组 N-乙酰-L-天冬氨酸、L-谷氨酸、L-天门冬氨酸、mesaconic 酸、腺苷 5'一磷酸、甲基丙二酸、胞苷、膦酸乙酸、次牛磺酸、还原型谷胱甘肽和半胱氨酰甘氨酸的水平升高,而皮质酮、黄嘌呤、柠檬酸、前列腺素 G2、4-吡啶酸和琥珀酰脯氨酸的水平降低。这些代谢物表明,HMH 可减轻 PQ 引起的炎症并提高内源性抗氧化剂的活性。总之,本研究结果揭示了 PQ 毒性以及 HMH 对 PQ 引起的肺损伤的保护作用的药理学机制。PQ 毒性会导致脂质过氧化和活性氧(ROS)、一氧化氮(NO)增加,除了肺、肾和肝之外,还会损伤胆道系统、胃肠道系统和神经系统。HMH 是一种良好的抗氧化剂,可预防 PQ 引起的肺损伤。总之,HMH 可有效减轻小鼠 PQ 诱导的肺损伤。

https://cdn.ncbi.nlm.nih.gov/pmc/blobs/7501/7000692/6b5e9c7c8478/41598_2020_58599_Fig11_HTML.jpg
https://cdn.ncbi.nlm.nih.gov/pmc/blobs/7501/7000692/8554fcf6a278/41598_2020_58599_Fig1_HTML.jpg
https://cdn.ncbi.nlm.nih.gov/pmc/blobs/7501/7000692/39b559e24d5b/41598_2020_58599_Fig2_HTML.jpg
https://cdn.ncbi.nlm.nih.gov/pmc/blobs/7501/7000692/a85db85da72a/41598_2020_58599_Fig3_HTML.jpg
https://cdn.ncbi.nlm.nih.gov/pmc/blobs/7501/7000692/e7558dbccfff/41598_2020_58599_Fig4_HTML.jpg
https://cdn.ncbi.nlm.nih.gov/pmc/blobs/7501/7000692/5de1be9a457b/41598_2020_58599_Fig5_HTML.jpg
https://cdn.ncbi.nlm.nih.gov/pmc/blobs/7501/7000692/64ebfa71db0e/41598_2020_58599_Fig6_HTML.jpg
https://cdn.ncbi.nlm.nih.gov/pmc/blobs/7501/7000692/2493d0c7d4a5/41598_2020_58599_Fig7_HTML.jpg
https://cdn.ncbi.nlm.nih.gov/pmc/blobs/7501/7000692/a4652315d3e4/41598_2020_58599_Fig8_HTML.jpg
https://cdn.ncbi.nlm.nih.gov/pmc/blobs/7501/7000692/5b679828cf6c/41598_2020_58599_Fig9_HTML.jpg
https://cdn.ncbi.nlm.nih.gov/pmc/blobs/7501/7000692/8d5ccc5acaf8/41598_2020_58599_Fig10_HTML.jpg
https://cdn.ncbi.nlm.nih.gov/pmc/blobs/7501/7000692/6b5e9c7c8478/41598_2020_58599_Fig11_HTML.jpg
https://cdn.ncbi.nlm.nih.gov/pmc/blobs/7501/7000692/8554fcf6a278/41598_2020_58599_Fig1_HTML.jpg
https://cdn.ncbi.nlm.nih.gov/pmc/blobs/7501/7000692/39b559e24d5b/41598_2020_58599_Fig2_HTML.jpg
https://cdn.ncbi.nlm.nih.gov/pmc/blobs/7501/7000692/a85db85da72a/41598_2020_58599_Fig3_HTML.jpg
https://cdn.ncbi.nlm.nih.gov/pmc/blobs/7501/7000692/e7558dbccfff/41598_2020_58599_Fig4_HTML.jpg
https://cdn.ncbi.nlm.nih.gov/pmc/blobs/7501/7000692/5de1be9a457b/41598_2020_58599_Fig5_HTML.jpg
https://cdn.ncbi.nlm.nih.gov/pmc/blobs/7501/7000692/64ebfa71db0e/41598_2020_58599_Fig6_HTML.jpg
https://cdn.ncbi.nlm.nih.gov/pmc/blobs/7501/7000692/2493d0c7d4a5/41598_2020_58599_Fig7_HTML.jpg
https://cdn.ncbi.nlm.nih.gov/pmc/blobs/7501/7000692/a4652315d3e4/41598_2020_58599_Fig8_HTML.jpg
https://cdn.ncbi.nlm.nih.gov/pmc/blobs/7501/7000692/5b679828cf6c/41598_2020_58599_Fig9_HTML.jpg
https://cdn.ncbi.nlm.nih.gov/pmc/blobs/7501/7000692/8d5ccc5acaf8/41598_2020_58599_Fig10_HTML.jpg
https://cdn.ncbi.nlm.nih.gov/pmc/blobs/7501/7000692/6b5e9c7c8478/41598_2020_58599_Fig11_HTML.jpg

相似文献

1
Toxicology of paraquat and pharmacology of the protective effect of 5-hydroxy-1-methylhydantoin on lung injury caused by paraquat based on metabolomics.基于代谢组学的百草枯毒理学和 5-羟基-1-甲基海因对百草枯引起的肺损伤的保护作用的药理学。
Sci Rep. 2020 Feb 4;10(1):1790. doi: 10.1038/s41598-020-58599-y.
2
[Exploration about the protection mechanism of 5-hydroxy-1-methylhydantoin on paraquat poisoning model].[5-羟基-1-甲基乙内酰脲对百草枯中毒模型保护机制的探索]
Zhonghua Wei Zhong Bing Ji Jiu Yi Xue. 2018 Dec;30(12):1184-1189. doi: 10.3760/cma.j.issn.2095-4352.2018.012.016.
3
Protective mechanism of 1-methylhydantoin against lung injury induced by paraquat poisoning.1-甲基海因对百草枯中毒性肺损伤的保护机制。
PLoS One. 2019 Sep 27;14(9):e0222521. doi: 10.1371/journal.pone.0222521. eCollection 2019.
4
[Preventive effects of 5-hydroxy-1-methylhydantoin on paraquat-induced nephrotoxicity in rat].5-羟基-1-甲基乙内酰脲对百草枯诱导的大鼠肾毒性的预防作用
Zhonghua Wei Zhong Bing Ji Jiu Yi Xue. 2015 Apr;27(4):246-9. doi: 10.3760/cma.j.issn.2095-4352.2015.04.004.
5
Activating Peroxisome Proliferator-Activated Receptors (PPARs): a New Sight for Chrysophanol to Treat Paraquat-Induced Lung Injury.激活过氧化物酶体增殖物激活受体(PPARs):大黄酚治疗百草枯诱导的肺损伤的新视角。
Inflammation. 2016 Apr;39(2):928-37. doi: 10.1007/s10753-016-0326-2.
6
Porous Se@SiO nanospheres treated paraquat-induced acute lung injury by resisting oxidative stress.多孔硒@二氧化硅纳米球通过抵抗氧化应激来治疗百草枯诱导的急性肺损伤。
Int J Nanomedicine. 2017 Sep 27;12:7143-7152. doi: 10.2147/IJN.S143192. eCollection 2017.
7
Metallothioneins attenuate paraquat-induced acute lung injury in mice through the mechanisms of anti-oxidation and anti-apoptosis.金属硫蛋白通过抗氧化和抗凋亡机制减轻百草枯诱导的小鼠急性肺损伤。
Food Chem Toxicol. 2014 Nov;73:140-7. doi: 10.1016/j.fct.2014.07.039. Epub 2014 Aug 8.
8
The protective effect of C-phycocyanin on paraquat-induced acute lung injury in rats.藻蓝蛋白对大鼠百草枯诱导急性肺损伤的保护作用。
Environ Toxicol Pharmacol. 2011 Sep;32(2):168-74. doi: 10.1016/j.etap.2011.04.008. Epub 2011 May 5.
9
[The protective effect of bone marrow mesenchymal stem cells carrying antioxidant gene superoxide dismutase on paraquat lung injury in mice].[携带抗氧化基因超氧化物歧化酶的骨髓间充质干细胞对百草枯所致小鼠肺损伤的保护作用]
Zhonghua Lao Dong Wei Sheng Zhi Ye Bing Za Zhi. 2016 Jan;34(1):1-7. doi: 10.3760/cma.j.issn.1001-9391.2016.01.001.
10
Protective effects of naringin against paraquat-induced acute lung injury and pulmonary fibrosis in mice.柚皮苷对百草枯诱导的小鼠急性肺损伤和肺纤维化的保护作用。
Food Chem Toxicol. 2013 Aug;58:133-40. doi: 10.1016/j.fct.2013.04.024. Epub 2013 Apr 18.

引用本文的文献

1
The preventive effects of and carvacrol and their co-administration with pioglitazolne on systemic inflammation and oxidative stress induced by paraquat inhalation in rats.香芹酚及其与吡格列酮联合应用对百草枯吸入诱导的大鼠全身炎症和氧化应激的预防作用。
Avicenna J Phytomed. 2024 Nov-Dec;14(6):711-722. doi: 10.22038/AJP.2024.24272.
2
Two redox-responsive LysR-type transcription factors control the oxidative stress response of Agrobacterium tumefaciens.两个氧化还原响应型LysR家族转录因子控制着根癌土壤杆菌的氧化应激反应。
Nucleic Acids Res. 2025 Mar 20;53(6). doi: 10.1093/nar/gkaf267.
3
Herbicide-related health risks: key mechanisms and a guide to mitigation strategies.

本文引用的文献

1
[Exploration about the protection mechanism of 5-hydroxy-1-methylhydantoin on paraquat poisoning model].[5-羟基-1-甲基乙内酰脲对百草枯中毒模型保护机制的探索]
Zhonghua Wei Zhong Bing Ji Jiu Yi Xue. 2018 Dec;30(12):1184-1189. doi: 10.3760/cma.j.issn.2095-4352.2018.012.016.
2
Therapy with high-dose long-term antioxidant free radicals for severe paraquat poisoning: A pilot study.大剂量长期抗氧化自由基疗法治疗重度百草枯中毒:一项初步研究。
Exp Ther Med. 2018 Dec;16(6):5149-5155. doi: 10.3892/etm.2018.6823. Epub 2018 Oct 2.
3
METABOLOMICS IN MEDICAL SCIENCES--TRENDS, CHALLENGES AND PERSPECTIVES.
除草剂相关的健康风险:关键机制及缓解策略指南。
J Occup Med Toxicol. 2025 Feb 25;20(1):6. doi: 10.1186/s12995-025-00448-7.
4
Nerelimomab Alleviates Capsaicin-Induced Acute Lung Injury by Inhibiting TNF Signaling and Apoptosis.奈雷利单抗通过抑制肿瘤坏死因子信号传导和细胞凋亡减轻辣椒素诱导的急性肺损伤。
Pharmaceuticals (Basel). 2024 Dec 15;17(12):1694. doi: 10.3390/ph17121694.
5
Exploiting residual cocoa biomass to extract advanced materials as building blocks for manufacturing nanoparticles aimed at alleviating formation-induced oxidative stress on human dermal fibroblasts.利用剩余可可生物质提取先进材料,作为制造纳米颗粒的基础材料,旨在减轻对人皮肤成纤维细胞的形成诱导氧化应激。
Nanoscale Adv. 2024 May 30;6(15):3809-3824. doi: 10.1039/d4na00248b. eCollection 2024 Jul 23.
6
Copper toxicity and deficiency: the vicious cycle at the core of protein aggregation in ALS.铜毒性与铜缺乏:肌萎缩侧索硬化症中蛋白质聚集核心的恶性循环。
Front Mol Neurosci. 2024 Jul 9;17:1408159. doi: 10.3389/fnmol.2024.1408159. eCollection 2024.
7
Glycyl-l-histidyl-l-lysine prevents copper- and zinc-induced protein aggregation and central nervous system cell death in vitro.甘氨酰-L-组氨酰-L-赖氨酰抑制铜锌诱导的蛋白聚集和体外中枢神经系统细胞死亡。
Metallomics. 2024 May 2;16(5). doi: 10.1093/mtomcs/mfae019.
8
MicroRNA-124-3p Modulates Alpha-Synuclein Expression Levels in a Paraquat-Induced in vivo Model for Parkinson's Disease.miRNA-124-3p 调控百草枯诱导帕金森病体内模型中α-突触核蛋白表达水平。
Neurochem Res. 2024 Jul;49(7):1677-1686. doi: 10.1007/s11064-024-04130-y. Epub 2024 Mar 7.
9
Pesticide exposure and lung cancer risk: A case-control study in Nakhon Sawan, Thailand.农药暴露与肺癌风险:泰国那空沙旺的病例对照研究。
F1000Res. 2024 Jan 4;9:492. doi: 10.12688/f1000research.24114.4. eCollection 2020.
10
Prognostic Value of the Average Lung CT Number in Patients with Acute Paraquat Poisoning.急性百草枯中毒患者肺部CT平均数值的预后价值
Emerg Med Int. 2023 Sep 12;2023:4443680. doi: 10.1155/2023/4443680. eCollection 2023.
医学科学中的代谢组学——趋势、挑战与展望
Acta Pol Pharm. 2015 Jul-Aug;72(4):629-41.
4
Rapamycin reverses paraquat-induced acute lung injury in a rat model through inhibition of NFκB activation.雷帕霉素通过抑制核因子κB(NFκB)的激活来逆转百草枯诱导的大鼠急性肺损伤。
Int J Clin Exp Pathol. 2015 May 1;8(5):4627-38. eCollection 2015.
5
[Preventive effects of 5-hydroxy-1-methylhydantoin on paraquat-induced nephrotoxicity in rat].5-羟基-1-甲基乙内酰脲对百草枯诱导的大鼠肾毒性的预防作用
Zhonghua Wei Zhong Bing Ji Jiu Yi Xue. 2015 Apr;27(4):246-9. doi: 10.3760/cma.j.issn.2095-4352.2015.04.004.