Suppr超能文献

吉林省描述 COVID-19 感染的流行病学和临床特征的病例系列。

A case series describing the epidemiology and clinical characteristics of COVID-19 infection in Jilin Province.

机构信息

Infectious Diseases Department, The First Hospital of Jilin University, Changchun, China.

出版信息

Virulence. 2020 Dec;11(1):482-485. doi: 10.1080/21505594.2020.1767357.

Abstract

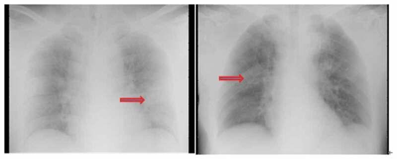
Since its outbreak in Wuhan, Hubei Province China, 2019-coronavirus infected disease (COVID-19) had been widely spread all over the world, the control of which calls for a better understanding of its epidemiology and clinical characteristics. We included 12 confirmed cases of COVID-19 in First Affiliated Hospital of Jilin University from 23 January 2020 to 11 February 2020, which were retrospectively analyzed for epidemiological, demographic, clinical, laboratory, and radiological features. All the patients were confirmed by nucleic acid detection, the average age of whom was 45.25 years (range, 23-79 years). Most patients had a history of Wuhan traveling or had contact with Wuhan travelers or infected cases. Obvious family cluster was observed. Clinical manifestations included fever (12/12), fatigue (10/12), cough (6/12), sore throat (4/12), headache (3/12), and diarrhea (2/12). Only three out of eight patients had pneumonia manifestation on radiography. Most patients had a normal white blood cell (WBC) count and normal or reduced lymphocyte (LY) count. Pneumonia changes were observed in all the four patients who underwent a chest CT scan. Only one elderly patient developed severe pneumonia, while all the rest were mild disease and had a self-limiting course.

摘要

自 2019 年 12 月湖北省武汉市爆发以来,新型冠状病毒感染的肺炎(COVID-19)已在全球范围内广泛传播,其控制需要更好地了解其流行病学和临床特征。我们纳入了 2020 年 1 月 23 日至 2 月 11 日吉林大学第一附属医院的 12 例确诊 COVID-19 病例,对其流行病学、人口统计学、临床、实验室和影像学特征进行回顾性分析。所有患者均经核酸检测确诊,平均年龄为 45.25 岁(范围 23-79 岁)。大多数患者有武汉旅行史或与武汉旅行者或感染病例接触史。观察到明显的家庭聚集现象。临床表现包括发热(12/12)、乏力(10/12)、咳嗽(6/12)、咽痛(4/12)、头痛(3/12)和腹泻(2/12)。仅 8 例患者中有 3 例放射学表现为肺炎。大多数患者的白细胞(WBC)计数正常,淋巴细胞(LY)计数正常或减少。接受胸部 CT 扫描的 4 例患者均出现肺炎改变。只有一位老年患者发展为重症肺炎,而其余均为轻症,具有自限性病程。

https://cdn.ncbi.nlm.nih.gov/pmc/blobs/ad76/7250319/49cb6558c8ad/kvir-11-01-1767357-g001.jpg

文献AI研究员

20分钟写一篇综述,助力文献阅读效率提升50倍。

立即体验

用中文搜PubMed

大模型驱动的PubMed中文搜索引擎

马上搜索

文档翻译

学术文献翻译模型,支持多种主流文档格式。

立即体验