Department of Oncology, The Affiliated Hospital of Southwest Medical University, Luzhou, China.
Health Management Center, Traditional Chinese Medicine Hospital, Southwest Medical University, Luzhou, China.
Drug Deliv. 2020 Nov 20;27(1):1676-1685. doi: 10.1080/10717544.2020.1853280.
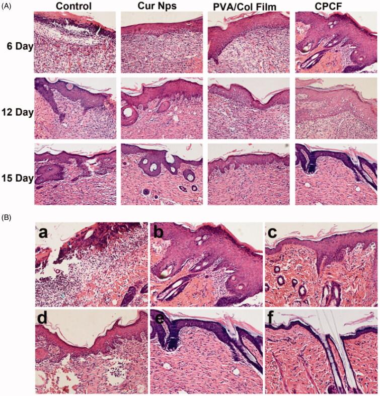
Skin repair remains a common problem in plastic surgery. Wound dressing plays an important role in promoting local skin healing and has been widely studied. This study aimed to manufacture a composite film (CPCF) containing curcumin nanoparticles, collagen, and polyvinyl alcohol (PVA) to effectively promote the healing of skin wounds. Sustained drug release from the composite film provides long-term protection and treatment for skin wounds. Both antibacterial property and good histocompatibility of the CPCF were examined by analyzing antibacterial activity and cytotoxicity to validate its applicability for wound management. Moreover, studies proved that the CPCF had a rapid healing rate of 98.03%±0.79% and mature epithelialization on day 15 after surgery. Obvious hair follicles and earlier re-epithelialization was also noticed in the CPCF group using H&E staining. The result of Masson's trichrome staining confirmed that CPCF could promote the formation of collagen fibers. In summary, CPCF may be promising as a wound dressing agent in wound management owing to its rapid wound-healing effects.
皮肤修复仍然是整形外科中的一个常见问题。伤口敷料在促进局部皮肤愈合方面起着重要作用,已得到广泛研究。本研究旨在制造一种含有姜黄素纳米粒子、胶原蛋白和聚乙烯醇(PVA)的复合膜(CPCF),以有效促进皮肤伤口愈合。复合膜的药物持续释放为皮肤伤口提供了长期的保护和治疗。通过分析抗菌活性和细胞毒性来检验 CPCF 的抗菌性能和良好的组织相容性,以验证其在伤口管理中的适用性。此外,研究证明 CPCF 在手术后第 15 天具有 98.03%±0.79%的快速愈合率和成熟的上皮化。H&E 染色也表明 CPCF 组的毛囊明显,上皮化更早。Masson 三色染色的结果证实 CPCF 可以促进胶原纤维的形成。总之,由于 CPCF 具有快速愈合伤口的作用,因此可能有望成为伤口管理中的一种伤口敷料剂。