Department of Pharmacological and Toxicological Chemistry, Faculty of Chemical and Pharmaceutical Sciences, University of Chile, Santiago, Chile.
Advanced Center for Chronic Diseases (ACCDIS), Santiago, Chile.
Int J Nanomedicine. 2021 Mar 15;16:2187-2201. doi: 10.2147/IJN.S260375. eCollection 2021.
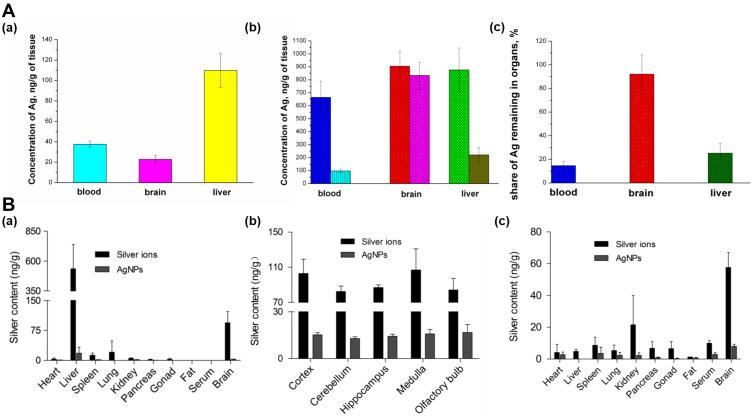
The physicochemical and optical properties of silver nanoparticles (SNPs) and gold nanoparticles (GNPs) have allowed them to be employed for various biomedical applications, including delivery, therapy, imaging, and as theranostic agents. However, since they are foreign body systems, they are usually redistributed and accumulated in some vital organs, which can produce toxic effects; therefore, this a crucial issue that should be considered for potential clinical trials. This review aimed to summarize the reports from the past ten years that have used SNPs and GNPs for in vivo studies on the diagnosis and treatment of brain diseases and those related to the central nervous system, emphasizing their toxicity as a crucial topic address. The article focuses on the effect of the nanoparticle´s size and chemical composition as relevant parameters for in vivo toxicity. At the beginning of this review, the general toxicity and distribution studies are discussed separately for SNPs and GNPs. Subsequently, this manuscript analyzes the principal applications of both kinds of nanoparticles for glioma, neurodegenerative, and other brain diseases, and discusses the advances in clinical trials. Finally, we analyze research prospects towards clinical applications for both types of metallic nanoparticles.
银纳米粒子(SNPs)和金纳米粒子(GNPs)的物理化学和光学特性使它们能够应用于各种生物医学领域,包括药物输送、治疗、成像以及治疗诊断一体化。然而,由于它们是异质体系,通常会在一些重要器官中重新分布和积累,从而产生毒性作用;因此,这是一个对于潜在临床试验而言非常关键的问题。本综述旨在总结过去十年中使用 SNPs 和 GNPs 进行脑疾病和与中枢神经系统相关的体内研究的报告,强调将毒性作为一个关键的主题进行讨论。本文重点关注纳米粒子尺寸和化学成分作为体内毒性的相关参数的影响。在本综述的开始部分,分别讨论了 SNPs 和 GNPs 的一般毒性和分布研究。随后,本文分析了这两种纳米粒子在神经胶质瘤、神经退行性疾病和其他脑疾病中的主要应用,并讨论了临床试验的进展。最后,我们分析了这两种类型的金属纳米粒子在临床应用方面的研究前景。