Toledano Manuel, Vallecillo-Rivas Marta, Osorio María T, Muñoz-Soto Esther, Toledano-Osorio Manuel, Vallecillo Cristina, Toledano Raquel, Lynch Christopher D, Serrera-Figallo María-Angeles, Osorio Raquel
Faculty of Dentistry, University of Granada, Colegio Máximo de Cartuja s/n, 18071 Granada, Spain.
Independent research scholar; Av. Fuerzas Armadas n1, 18014 Granada, Spain.
Polymers (Basel). 2021 May 29;13(11):1797. doi: 10.3390/polym13111797.
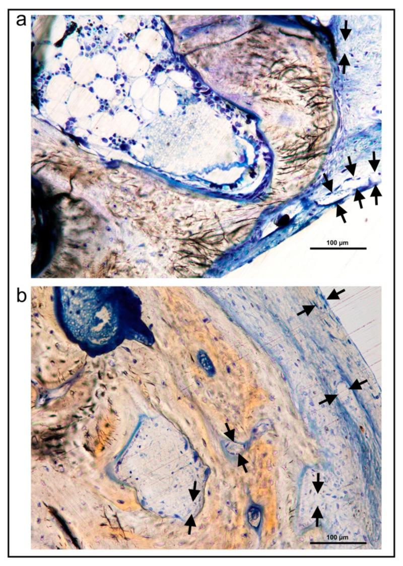
Barrier membranes are employed in guided bone regeneration (GBR) to facilitate bone in-growth. A bioactive and biomimetic Zn-doped membrane with the ability to participate in bone healing and regeneration is necessary. The aim of the present study is to state the effect of doping the membranes for GBR with zinc compounds in the improvement of bone regeneration. A literature search was conducted using electronic databases, such as PubMed, MEDLINE, DIMDI, Embase, Scopus and Web of Science. A narrative exploratory review was undertaken, focusing on the antibacterial effects, physicochemical and biological properties of Zn-loaded membranes. Bioactivity, bone formation and cytotoxicity were analyzed. Microstructure and mechanical properties of these membranes were also determined. Zn-doped membranes have inhibited in vivo and in vitro bacterial colonization. Zn-alloy and Zn-doped membranes attained good biocompatibility and were found to be non-toxic to cells. The Zn-doped matrices showed feasible mechanical properties, such as flexibility, strength, complex modulus and tan delta. Zn incorporation in polymeric membranes provided the highest regenerative efficiency for bone healing in experimental animals, potentiating osteogenesis, angiogenesis, biological activity and a balanced remodeling. Zn-loaded membranes doped with SiO nanoparticles have performed as bioactive modulators provoking an M2 macrophage increase and are a potential biomaterial for promoting bone repair. Zn-doped membranes have promoted pro-healing phenotypes.
屏障膜用于引导骨再生(GBR)以促进骨向内生长。需要一种具有生物活性和仿生功能、能够参与骨愈合和再生的锌掺杂膜。本研究的目的是阐述在GBR膜中掺杂锌化合物对改善骨再生效果的影响。使用电子数据库进行文献检索,如PubMed、MEDLINE、DIMDI、Embase、Scopus和Web of Science。进行了叙述性探索性综述,重点关注载锌膜的抗菌作用、物理化学和生物学特性。分析了生物活性、骨形成和细胞毒性。还测定了这些膜的微观结构和力学性能。锌掺杂膜在体内和体外均抑制了细菌定植。锌合金膜和锌掺杂膜具有良好的生物相容性,对细胞无毒。锌掺杂基质表现出可行的力学性能,如柔韧性、强度、复数模量和损耗角正切。在聚合物膜中掺入锌为实验动物的骨愈合提供了最高的再生效率,增强了骨生成、血管生成、生物活性和平衡重塑。掺杂二氧化硅纳米颗粒的载锌膜作为生物活性调节剂发挥作用,可促使M2巨噬细胞增加,是促进骨修复的潜在生物材料。锌掺杂膜促进了促愈合表型。