Arezzo Francesca, Cormio Gennaro, Loizzi Vera, Cazzato Gerardo, Cataldo Viviana, Lombardi Claudio, Ingravallo Giuseppe, Resta Leonardo, Cicinelli Ettore
Obstetrics and Gynecology Unit, Department of Biomedical Sciences and Human Oncology, University of Bari "Aldo Moro", Piazza Giulio Cesare 11, 70124 Bari, Italy.
Obstetrics and Gynecology Unit, Interdisciplinar Department of Medicine, University of Bari "Aldo Moro", Piazza Giulio Cesare 11, 70124 Bari, Italy.
Diagnostics (Basel). 2021 May 26;11(6):952. doi: 10.3390/diagnostics11060952.
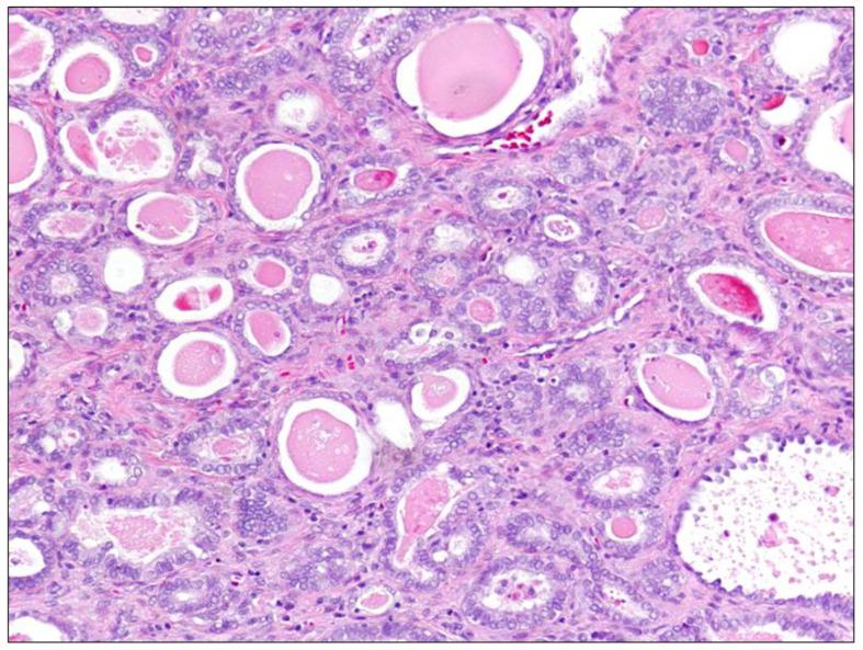
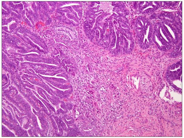
Cervical cancer (CC) is the fourth most frequent cancer in women worldwide. HPV infection is associated with the majority of CC cases, but a small proportion of CCs actually test negative for HPV. The prevalence of HPV among CC histotypes is very different. It has been suggested that HPV-negative CC may represent a biologically distinct subset of tumors, relying on a distinct pathogenetic pathway and carrying a poorer prognosis, than HPV-positive CCs. Although, the discordance in terms of sensitivity and specificity between different HPV tests as well as the potential errors in sampling and storing tissues may be considered as causes of false-negative results. The identification of HPV-negative CCs is essential for their correct management. The aim of this narrative review is to summarize the clinical and pathological features of this variant. We also discuss the pitfalls of different HPV tests possibly leading to classification errors.
宫颈癌(CC)是全球女性中第四常见的癌症。人乳头瘤病毒(HPV)感染与大多数宫颈癌病例相关,但实际上有一小部分宫颈癌HPV检测呈阴性。HPV在宫颈癌组织学类型中的流行率差异很大。有人提出,与HPV阳性宫颈癌相比,HPV阴性宫颈癌可能代表生物学上不同的肿瘤亚群,依赖于不同的致病途径,预后较差。尽管如此,不同HPV检测在敏感性和特异性方面的不一致以及组织采样和储存中的潜在误差可能被视为假阴性结果的原因。识别HPV阴性宫颈癌对于其正确管理至关重要。本叙述性综述的目的是总结该变体的临床和病理特征。我们还讨论了可能导致分类错误的不同HPV检测的陷阱。