Suppr超能文献

甲硝唑诱发的毒性白质脑病1例报告:该患者为一名患有手术部位感染的女性

A case report of toxic leukoencephalopathy induced by metronidazole in a woman with surgical site infection.

作者信息

Faraji Dana Hoorvash, Shojaei Arani Lida, Faraji Ali, Bahmani Kiumars

机构信息

Clinical Toxicology Fellowship Emergency Department Alborz University of Medical Science Karaj Iran.

Student Research Committee School of Medicine Alborz University of Medical Sciences Karaj Iran.

出版信息

Clin Case Rep. 2021 Aug 15;9(8):e04635. doi: 10.1002/ccr3.4635. eCollection 2021 Aug.

Abstract

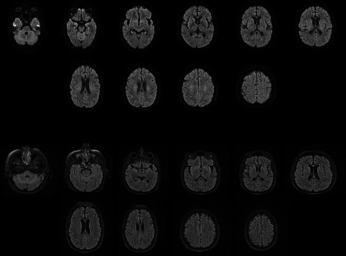
Metronidazole may rarely cause encephalopathy and neuropathy. In this study, we report a 30-year-old post-partum, ex-addicted female with leukoencephalopathy due to metronidazole.

摘要

甲硝唑极少会引发脑病和神经病变。在本研究中,我们报告了一名30岁的产后、曾有药物成瘾史的女性,因甲硝唑导致白质脑病。

https://cdn.ncbi.nlm.nih.gov/pmc/blobs/d6e1/8365004/28f5604a9aab/CCR3-9-e04635-g002.jpg

文献检索

告别复杂PubMed语法,用中文像聊天一样搜索,搜遍4000万医学文献。AI智能推荐,让科研检索更轻松。

立即免费搜索

文件翻译

保留排版,准确专业,支持PDF/Word/PPT等文件格式,支持 12+语言互译。

免费翻译文档

深度研究

AI帮你快速写综述,25分钟生成高质量综述,智能提取关键信息,辅助科研写作。

立即免费体验