Suppr超能文献

将ADC值与TWI、DWI及CE-TWI纹理分析相结合术前预测子宫内膜癌Ki-67和p53表达水平的可行性

The Feasibility of Combining ADC Value With Texture Analysis of TWI, DWI and CE-TWI to Preoperatively Predict the Expression Levels of Ki-67 and p53 of Endometrial Carcinoma.

作者信息

Jiang Xueyan, Jia Haodong, Zhang Zhongyuan, Wei Chao, Wang Chuanbin, Dong Jiangning

机构信息

Department of Radiology, Bengbu Medical College, Bengbu, China.

Department of Radiology, The First Affiliated Hospital of the University of Science and Technology of China, Anhui Provincial Cancer Hospital, Hefei, China.

出版信息

Front Oncol. 2022 Jan 20;11:805545. doi: 10.3389/fonc.2021.805545. eCollection 2021.

Abstract

PURPOSE

To evaluate the feasibility of apparent diffusion coefficient (ADC) value combined with texture analysis (TA) in preoperatively predicting the expression levels of Ki-67 and p53 in endometrial carcinoma (EC) patients.

METHODS

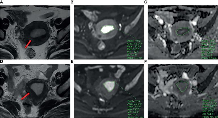
Clinical, pathological and MRI findings of 110 EC patients were analyzed retrospectively. The expression levels of Ki-67 and p53 in EC tissues were detected by immunohistochemistry. ADC value was calculated, and three-dimensional (3D) texture features were measured on T-weighted images (TWI), diffusion-weighted images (DWI), and contrast-enhanced T-weighted images (CE-TWI). The univariate and multivariate logistic regression and cross-validations were used for the selection of texture features. The receiver operating characteristic (ROC) curve was performed to estimate the diagnostic efficiency of prediction model by the area under the curve (AUC) in the training and validation cohorts.

RESULTS

Significant differences of the ADC values were found in predicting Ki-67 and p53 (=0.039, =0.007). The AUC of the ADC value in predicting the expression levels of Ki-67 and p53 were 0.698, 0.853 and 0.626, 0.702 in the training and validation cohorts. The AUC of the TA model based on TWI, DWI, CE-TWI, and ADC value combined with TWI + DWI + CE-TWI in the training and validation cohorts for predicting the expression of Ki-67 were 0.741, 0.765, 0.733, 0.922 and 0.688, 0.691, 0.651, 0.938, respectively, and for predicting the expression of p53 were 0.763, 0.805, 0.781, 0.901 and 0.796, 0.713, 0.657, 0.922, respectively.

CONCLUSION

ADC values combined with TA are beneficial for predicting the expression levels of Ki-67 and p53 in EC patients before surgery, and they provide higher auxiliary diagnostic values for clinical application.

摘要

目的

评估表观扩散系数(ADC)值联合纹理分析(TA)在术前预测子宫内膜癌(EC)患者中Ki-67和p53表达水平的可行性。

方法

回顾性分析110例EC患者的临床、病理及MRI表现。采用免疫组织化学法检测EC组织中Ki-67和p53的表达水平。计算ADC值,并在T加权图像(TWI)、扩散加权图像(DWI)和对比增强T加权图像(CE-TWI)上测量三维(3D)纹理特征。采用单因素和多因素逻辑回归及交叉验证来选择纹理特征。绘制受试者工作特征(ROC)曲线,通过训练队列和验证队列中的曲线下面积(AUC)来评估预测模型的诊断效能。

结果

在预测Ki-67和p53时,ADC值存在显著差异(P=0.039,P=0.007)。在训练队列和验证队列中,ADC值预测Ki-67和p53表达水平的AUC分别为0.698、0.853和0.626、0.702。在训练队列和验证队列中,基于TWI、DWI、CE-TWI以及ADC值联合TWI+DWI+CE-TWI的TA模型预测Ki-67表达的AUC分别为0.741、0.765、0.733、0.922和0.688、0.691、0.651、0.938,预测p53表达的AUC分别为0.763、0.805、0.781、0.901和0.796、0.713、0.657、0.922。

结论

ADC值联合TA有助于术前预测EC患者中Ki-67和p53的表达水平,为临床应用提供了更高的辅助诊断价值。

https://cdn.ncbi.nlm.nih.gov/pmc/blobs/910e/8811460/4f817b1635c9/fonc-11-805545-g001.jpg

文献AI研究员

20分钟写一篇综述,助力文献阅读效率提升50倍。

立即体验

用中文搜PubMed

大模型驱动的PubMed中文搜索引擎

马上搜索

文档翻译

学术文献翻译模型,支持多种主流文档格式。

立即体验