• 文献检索
  • 文档翻译
  • 深度研究
  • 学术资讯
  • Suppr Zotero 插件Zotero 插件
  • 邀请有礼
  • 套餐&价格
  • 历史记录
应用&插件
Suppr Zotero 插件Zotero 插件浏览器插件Mac 客户端Windows 客户端微信小程序
定价
高级版会员购买积分包购买API积分包
服务
文献检索文档翻译深度研究API 文档MCP 服务
关于我们
关于 Suppr公司介绍联系我们用户协议隐私条款
关注我们

Suppr 超能文献

核心技术专利:CN118964589B侵权必究
粤ICP备2023148730 号-1Suppr @ 2026

文献检索

告别复杂PubMed语法,用中文像聊天一样搜索,搜遍4000万医学文献。AI智能推荐,让科研检索更轻松。

立即免费搜索

文件翻译

保留排版,准确专业,支持PDF/Word/PPT等文件格式,支持 12+语言互译。

免费翻译文档

深度研究

AI帮你快速写综述,25分钟生成高质量综述,智能提取关键信息,辅助科研写作。

立即免费体验

自噬相关环状 RNA circATG7 促进自噬并促进胰腺癌进展。

Autophagy-associated circRNA circATG7 facilitates autophagy and promotes pancreatic cancer progression.

机构信息

Department of Hepatobiliary Surgery, Shenzhen Key Laboratory, Shenzhen University General Hospital, Shenzhen, Guangdong, 518055, China.

Guangdong Key Laboratory for Biomedical Measurements and Ultrasound Imaging, School of Biomedical Engineering, Shenzhen University Health Science Center, Shenzhen, 518060, China.

出版信息

Cell Death Dis. 2022 Mar 14;13(3):233. doi: 10.1038/s41419-022-04677-0.

DOI:10.1038/s41419-022-04677-0
PMID:35288538
原文链接:https://pmc.ncbi.nlm.nih.gov/articles/PMC8921308/
Abstract

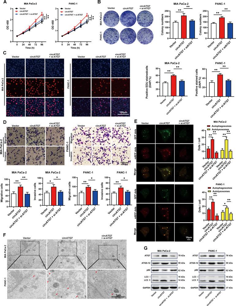
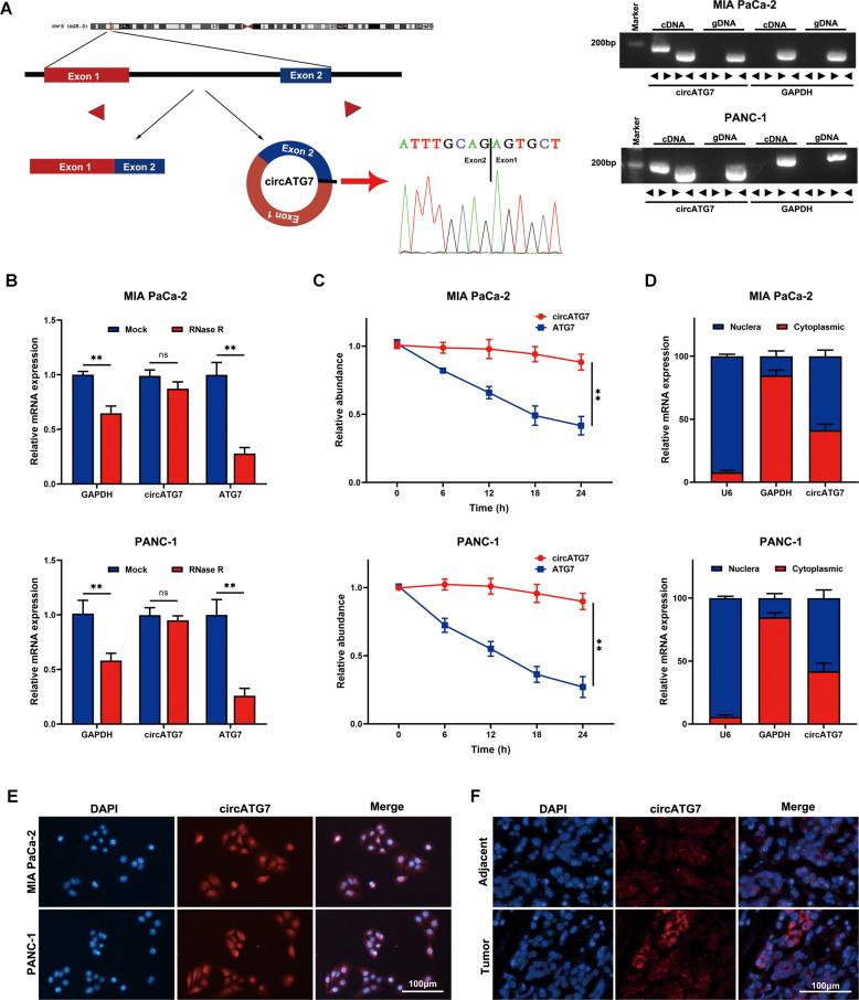
Dysregulation of autophagy and circular RNAs (circRNAs) are involved in the pancreatic cancer (PC) progression. However, the regulatory network between circRNAs, autophagy, and PC progression remains unknown. Herein, we demonstrated that autophagy-associated circRNA circ-autophagy related 7 (circATG7) was elevated in PC tissues compared to adjacent tissues, and in PC cells treated with EBSS and hypoxia. circATG7 expression was positively associated with tumor diameter and lymph node invasion in patients with PC. circATG7 overexpression promoted PC cell proliferation, mobility, and autophagy in vitro, while circATG7 knockdown induced the opposite effects. ATG7 inhibition attenuated the effects of circATG7 on the biological functions of PC cells. CircATG7 is located in the cell cytoplasm and nucleus. Cytoplasmic circATG7 sponged miR-766-5p and decreased its expression, and increased the expression of ATG7, a target gene of miR-766-5p. Nuclear circATG7 acted as a scaffold to increase the interaction between the human antigen R protein and ATG7 mRNA and enhanced ATG mRNA stability. Furthermore, we demonstrated that circATG7 regulates PC cell proliferation and metastasis in vivo via ATG7-dependent autophagy. In conclusion, our results demonstrated that circATG7 accelerates PC progression via miR-766-5p/ATG7 and that HUR/ATG7 depends on autophagic flux. Thus, circATG7 may be a potential therapeutic target for PC.

摘要

自噬和环状 RNA(circRNAs)的失调参与了胰腺癌(PC)的进展。然而,circRNAs、自噬与 PC 进展之间的调控网络仍不清楚。在此,我们证明了自噬相关的环状 RNA 环状自噬相关 7(circATG7)在 PC 组织中高于相邻组织,在经 EBSS 和缺氧处理的 PC 细胞中也升高。circATG7 的表达与 PC 患者的肿瘤直径和淋巴结浸润呈正相关。circATG7 过表达促进了 PC 细胞的体外增殖、迁移和自噬,而 circATG7 敲低则诱导了相反的效果。ATG7 抑制减弱了 circATG7 对 PC 细胞生物学功能的影响。circATG7 位于细胞质和细胞核中。细胞质中的 circATG7 可以作为 miR-766-5p 的海绵,降低其表达,同时增加 ATG7 的表达,miR-766-5p 的靶基因。核 circATG7 作为支架,增加了人抗原 R 蛋白与 ATG7 mRNA 之间的相互作用,并增强了 ATG mRNA 的稳定性。此外,我们证明了 circATG7 通过 ATG7 依赖性自噬在体内调节 PC 细胞的增殖和转移。总之,我们的结果表明 circATG7 通过 miR-766-5p/ATG7 加速了 PC 的进展,并且 HUR/ATG7 依赖于自噬流。因此,circATG7 可能是 PC 的一个潜在治疗靶点。

https://cdn.ncbi.nlm.nih.gov/pmc/blobs/805d/8921308/d7c39bac9306/41419_2022_4677_Fig8_HTML.jpg
https://cdn.ncbi.nlm.nih.gov/pmc/blobs/805d/8921308/e0f0b1294339/41419_2022_4677_Fig1_HTML.jpg
https://cdn.ncbi.nlm.nih.gov/pmc/blobs/805d/8921308/ca7743f97c34/41419_2022_4677_Fig2_HTML.jpg
https://cdn.ncbi.nlm.nih.gov/pmc/blobs/805d/8921308/b57321cc432b/41419_2022_4677_Fig3_HTML.jpg
https://cdn.ncbi.nlm.nih.gov/pmc/blobs/805d/8921308/c6cc9ad24415/41419_2022_4677_Fig4_HTML.jpg
https://cdn.ncbi.nlm.nih.gov/pmc/blobs/805d/8921308/cb817b01f2cf/41419_2022_4677_Fig5_HTML.jpg
https://cdn.ncbi.nlm.nih.gov/pmc/blobs/805d/8921308/6444ed89b647/41419_2022_4677_Fig6_HTML.jpg
https://cdn.ncbi.nlm.nih.gov/pmc/blobs/805d/8921308/d977f9cc5e9f/41419_2022_4677_Fig7_HTML.jpg
https://cdn.ncbi.nlm.nih.gov/pmc/blobs/805d/8921308/d7c39bac9306/41419_2022_4677_Fig8_HTML.jpg
https://cdn.ncbi.nlm.nih.gov/pmc/blobs/805d/8921308/e0f0b1294339/41419_2022_4677_Fig1_HTML.jpg
https://cdn.ncbi.nlm.nih.gov/pmc/blobs/805d/8921308/ca7743f97c34/41419_2022_4677_Fig2_HTML.jpg
https://cdn.ncbi.nlm.nih.gov/pmc/blobs/805d/8921308/b57321cc432b/41419_2022_4677_Fig3_HTML.jpg
https://cdn.ncbi.nlm.nih.gov/pmc/blobs/805d/8921308/c6cc9ad24415/41419_2022_4677_Fig4_HTML.jpg
https://cdn.ncbi.nlm.nih.gov/pmc/blobs/805d/8921308/cb817b01f2cf/41419_2022_4677_Fig5_HTML.jpg
https://cdn.ncbi.nlm.nih.gov/pmc/blobs/805d/8921308/6444ed89b647/41419_2022_4677_Fig6_HTML.jpg
https://cdn.ncbi.nlm.nih.gov/pmc/blobs/805d/8921308/d977f9cc5e9f/41419_2022_4677_Fig7_HTML.jpg
https://cdn.ncbi.nlm.nih.gov/pmc/blobs/805d/8921308/d7c39bac9306/41419_2022_4677_Fig8_HTML.jpg

相似文献

1
Autophagy-associated circRNA circATG7 facilitates autophagy and promotes pancreatic cancer progression.自噬相关环状 RNA circATG7 促进自噬并促进胰腺癌进展。
Cell Death Dis. 2022 Mar 14;13(3):233. doi: 10.1038/s41419-022-04677-0.
2
hsa_circRNA_001587 upregulates SLC4A4 expression to inhibit migration, invasion, and angiogenesis of pancreatic cancer cells via binding to microRNA-223.hsa_circRNA_001587 通过与 microRNA-223 结合来上调 SLC4A4 的表达,从而抑制胰腺癌细胞的迁移、侵袭和血管生成。
Am J Physiol Gastrointest Liver Physiol. 2020 Dec 1;319(6):G703-G717. doi: 10.1152/ajpgi.00118.2020. Epub 2020 Sep 2.
3
Circ_0075829 facilitates the progression of pancreatic carcinoma by sponging miR-1287-5p and activating LAMTOR3 signalling.环状RNA_0075829通过吸附miR-1287-5p并激活LAMTOR3信号通路促进胰腺癌进展。
J Cell Mol Med. 2020 Dec;24(24):14596-14607. doi: 10.1111/jcmm.16089. Epub 2020 Nov 13.
4
Circular RNA hsa_circ_0085131 is involved in cisplatin-resistance of non-small-cell lung cancer cells by regulating autophagy.环状RNA hsa_circ_0085131通过调节自噬参与非小细胞肺癌细胞的顺铂耐药。
Cell Biol Int. 2020 Sep;44(9):1945-1956. doi: 10.1002/cbin.11401. Epub 2020 Jun 19.
5
CircCCNB1 silencing acting as a miR-106b-5p sponge inhibited GPM6A expression to promote HCC progression by enhancing DYNC1I1 expression and activating the AKT/ERK signaling pathway.环状 CCNA1 沉默作为 miR-106b-5p 的海绵吸附物抑制 GPM6A 表达,通过增强 DYNC1I1 表达和激活 AKT/ERK 信号通路促进 HCC 进展。
Int J Biol Sci. 2022 Jan 1;18(2):637-651. doi: 10.7150/ijbs.66915. eCollection 2022.
6
Autophagy-associated circRNA circCDYL augments autophagy and promotes breast cancer progression.自噬相关环状 RNA circCDYL 增强自噬并促进乳腺癌进展。
Mol Cancer. 2020 Mar 25;19(1):65. doi: 10.1186/s12943-020-01152-2.
7
Circ_0001174 facilitates osteosarcoma cell proliferation, migration, and invasion by targeting the miR-186-5p/MACC1 axis.环状 RNA 0001174 通过靶向 miR-186-5p/MACC1 轴促进骨肉瘤细胞的增殖、迁移和侵袭。
J Orthop Surg Res. 2022 Mar 12;17(1):159. doi: 10.1186/s13018-022-03059-8.
8
Circular RNA hsa_circ_0000654 promotes esophageal squamous cell carcinoma progression by regulating the miR-149-5p/IL-6/STAT3 pathway.环状 RNA hsa_circ_0000654 通过调控 miR-149-5p/IL-6/STAT3 通路促进食管鳞癌进展。
IUBMB Life. 2020 Mar;72(3):426-439. doi: 10.1002/iub.2202. Epub 2019 Nov 28.
9
Novel exosomal circEGFR facilitates triple negative breast cancer autophagy via promoting TFEB nuclear trafficking and modulating miR-224-5p/ATG13/ULK1 feedback loop.新型外泌体 circEGFR 通过促进 TFEB 核易位和调节 miR-224-5p/ATG13/ULK1 反馈环促进三阴性乳腺癌自噬。
Oncogene. 2024 Mar;43(11):821-836. doi: 10.1038/s41388-024-02950-4. Epub 2024 Jan 27.
10
FUS-induced circRHOBTB3 facilitates cell proliferation via miR-600/NACC1 mediated autophagy response in pancreatic ductal adenocarcinoma.FUS诱导的circRHOBTB3通过miR-600/NACC1介导的自噬反应促进胰腺导管腺癌的细胞增殖。
J Exp Clin Cancer Res. 2021 Aug 20;40(1):261. doi: 10.1186/s13046-021-02063-w.

引用本文的文献

1
Crucial roles of CircRNA-mediated autophagy in digestive cancer.环状RNA介导的自噬在消化系统癌症中的关键作用
Front Oncol. 2025 Aug 27;15:1615306. doi: 10.3389/fonc.2025.1615306. eCollection 2025.
2
Circular RNAs: Fundamental mechanisms in tumor metastasis and detection strategies (Review).环状RNA:肿瘤转移的基本机制及检测策略(综述)
Mol Med Rep. 2025 Nov;32(5). doi: 10.3892/mmr.2025.13667. Epub 2025 Aug 29.
3
Targeting epigenetic regulators as a promising avenue to overcome cancer therapy resistance.将表观遗传调节因子作为克服癌症治疗耐药性的一条有前景的途径。

本文引用的文献

1
Crosstalk between autophagy and microbiota in cancer progression.自噬与微生物群在癌症进展中的相互作用。
Mol Cancer. 2021 Dec 11;20(1):163. doi: 10.1186/s12943-021-01461-0.
2
Non-coding RNA-mediated autophagy in cancer: A protumor or antitumor factor?非编码 RNA 介导的自噬在癌症中的作用:促癌还是抑癌因子?
Biochim Biophys Acta Rev Cancer. 2021 Dec;1876(2):188642. doi: 10.1016/j.bbcan.2021.188642. Epub 2021 Oct 27.
3
Identification of Autophagy Related circRNA-miRNA-mRNA-Subtypes Network With Radiotherapy Responses and Tumor Immune Microenvironment in Non-small Cell Lung Cancer.
Signal Transduct Target Ther. 2025 Jul 18;10(1):219. doi: 10.1038/s41392-025-02266-z.
4
m5C-modified circRREB1 promotes lung cancer progression by inducing mitophagy.m5C修饰的环状RREB1通过诱导线粒体自噬促进肺癌进展。
J Exp Clin Cancer Res. 2025 Jul 14;44(1):203. doi: 10.1186/s13046-025-03460-1.
5
Emerging role and clinical applications of circular RNAs in human diseases.环状RNA在人类疾病中的新兴作用及临床应用
Funct Integr Genomics. 2025 Mar 28;25(1):77. doi: 10.1007/s10142-025-01575-4.
6
Unraveling the triad of hypoxia, cancer cell stemness, and drug resistance.解析缺氧、癌细胞干性和耐药性三者之间的关系。
J Hematol Oncol. 2025 Mar 18;18(1):32. doi: 10.1186/s13045-025-01684-4.
7
Circular RNA in Pancreatic Cancer: Biogenesis, Mechanism, Function and Clinical Application.胰腺癌中的环状RNA:生物发生、机制、功能及临床应用
Int J Med Sci. 2025 Feb 28;22(7):1612-1629. doi: 10.7150/ijms.107773. eCollection 2025.
8
Circular RNA Vav3 mediated ALV-J inhibition of autophagy by modulating the gga-miR-375/CIP2A axis and activating AKT.环状RNA Vav3通过调节gga-miR-375/CIP2A轴并激活AKT介导禽白血病病毒J亚群对自噬的抑制作用。
Poult Sci. 2025 Apr;104(4):104923. doi: 10.1016/j.psj.2025.104923. Epub 2025 Feb 17.
9
Senescence-related circRNA circHIF-1α is associated with pancreatic cancer progression.衰老相关的环状RNA circHIF-1α与胰腺癌进展相关。
Cancer Cell Int. 2025 Jan 17;25(1):17. doi: 10.1186/s12935-025-03645-w.
10
Hsa_circ_0000825 promotes the progression of laryngeal squamous cell carcinoma by sponging miR-766 and interacting with ELAVL1.Hsa_circ_0000825通过吸附miR-766并与ELAVL1相互作用促进喉鳞状细胞癌的进展。
Heliyon. 2024 Sep 1;10(17):e37264. doi: 10.1016/j.heliyon.2024.e37264. eCollection 2024 Sep 15.
非小细胞肺癌中具有放疗反应和肿瘤免疫微环境的自噬相关环状RNA-微小RNA-信使RNA-亚型网络的鉴定
Front Genet. 2021 Sep 9;12:730003. doi: 10.3389/fgene.2021.730003. eCollection 2021.
4
Autophagy-associated circular RNA hsa_circ_0007813 modulates human bladder cancer progression via hsa-miR-361-3p/IGF2R regulation.自噬相关环状 RNA hsa_circ_0007813 通过 hsa-miR-361-3p/IGF2R 调控促进人膀胱癌进展。
Cell Death Dis. 2021 Aug 7;12(8):778. doi: 10.1038/s41419-021-04053-4.
5
Autophagy-related circRNA evaluation reveals hsa_circ_0001747 as a potential favorable prognostic factor for biochemical recurrence in patients with prostate cancer.自噬相关环状 RNA 评估显示 hsa_circ_0001747 可作为前列腺癌患者生化复发的潜在有利预后因素。
Cell Death Dis. 2021 Jul 22;12(8):726. doi: 10.1038/s41419-021-04015-w.
6
The influence of circular RNAs on autophagy and disease progression.环状 RNA 对自噬和疾病进展的影响。
Autophagy. 2022 Feb;18(2):240-253. doi: 10.1080/15548627.2021.1917131. Epub 2021 Apr 27.
7
Silencing of HuR Inhibits Osteosarcoma Cell Epithelial-Mesenchymal Transition AGO2 in Association With Long Non-Coding RNA XIST.HuR基因沉默通过与长链非编码RNA XIST结合的AGO2抑制骨肉瘤细胞上皮-间质转化
Front Oncol. 2021 Mar 19;11:601982. doi: 10.3389/fonc.2021.601982. eCollection 2021.
8
CircRNA-Mediated Regulation of Angiogenesis: A New Chapter in Cancer Biology.环状RNA介导的血管生成调控:癌症生物学的新篇章
Front Oncol. 2021 Mar 10;11:553706. doi: 10.3389/fonc.2021.553706. eCollection 2021.
9
Is targeting autophagy mechanism in cancer a good approach? The possible double-edge sword effect.将自噬机制作为癌症治疗靶点是一种好方法吗?可能存在的双刃剑效应。
Cell Biosci. 2021 Mar 20;11(1):56. doi: 10.1186/s13578-021-00570-z.
10
Circular RNA in pancreatic cancer: a novel avenue for the roles of diagnosis and treatment.环状 RNA 在胰腺癌中的作用:诊断和治疗的新途径。
Theranostics. 2021 Jan 1;11(6):2755-2769. doi: 10.7150/thno.56174. eCollection 2021.