• 文献检索
  • 文档翻译
  • 深度研究
  • 学术资讯
  • Suppr Zotero 插件Zotero 插件
  • 邀请有礼
  • 套餐&价格
  • 历史记录
应用&插件
Suppr Zotero 插件Zotero 插件浏览器插件Mac 客户端Windows 客户端微信小程序
定价
高级版会员购买积分包购买API积分包
服务
文献检索文档翻译深度研究API 文档MCP 服务
关于我们
关于 Suppr公司介绍联系我们用户协议隐私条款
关注我们

Suppr 超能文献

核心技术专利:CN118964589B侵权必究
粤ICP备2023148730 号-1Suppr @ 2026

文献检索

告别复杂PubMed语法,用中文像聊天一样搜索,搜遍4000万医学文献。AI智能推荐,让科研检索更轻松。

立即免费搜索

文件翻译

保留排版,准确专业,支持PDF/Word/PPT等文件格式,支持 12+语言互译。

免费翻译文档

深度研究

AI帮你快速写综述,25分钟生成高质量综述,智能提取关键信息,辅助科研写作。

立即免费体验

以Ⅸ和Ⅹ颅神经麻痹为表现且无明显耳部感染的Gradenigo综合征:一例病例报告及文献复习

Gradenigo's syndrome presenting as IX and X cranial nerve palsy without clinically apparent ear infection: A case report and review of literature.

作者信息

Bano Safia, Nawaz Ahmad, Asmar Abyaz, Aemaz Ur Rehman Muhammad, Farooq Hareem, Ali Hamid

机构信息

Department of Neurology, Mayo Hospital, King Edward Medical University, Lahore 54000, Pakistan.

Department of Neurology, Medical University of South Carolina, United States.

出版信息

eNeurologicalSci. 2022 Mar 17;27:100397. doi: 10.1016/j.ensci.2022.100397. eCollection 2022 Jun.

DOI:10.1016/j.ensci.2022.100397
PMID:35330846
原文链接:https://pmc.ncbi.nlm.nih.gov/articles/PMC8938864/
Abstract

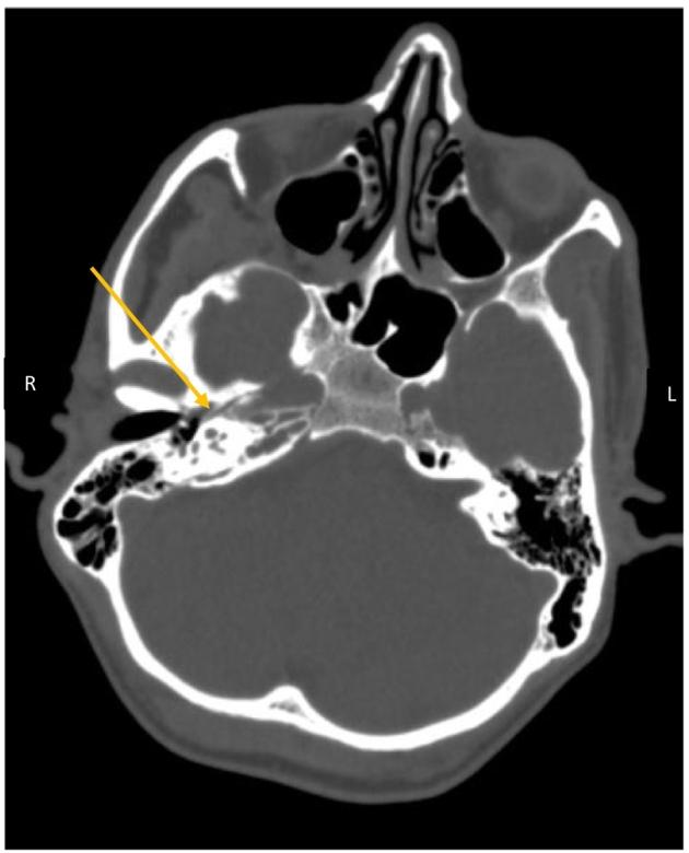
Gradenigo's syndrome (GS) is a triad (otorrhea, abducens nerve palsy, and pain in the trigeminal nerve distribution) of clinical findings that are caused by contiguous spread of petrous apicitis to the nearby neurovascular structures. Petrous apicitis is usually secondary to otitis media but atypical etiologies and absence of the classical triad pose a diagnostic challenge for physicians. We report a rare case of GS in an afebrile 55-year-old male who presented with unilateral headache, dysphagia and hoarseness (IX and X cranial nerve involvement), and diplopia with lateral gaze palsy (VI nerve involvement) in the absence of trigeminal neuralgia or a history of otitis media. Magnetic Resonance Imaging (MRI) revealed hyperintense lesions in the right petrous apex indicating petrous apicitis, the hallmark of GS. Prompt initiation of broad-spectrum antibiotics led to a marked improvement in dysphagia and voice quality on the 4th post-admission day, and complete resolution of symptoms by the end of the fourth week. This shows that GS can present even in the absence of clinically apparent ear infection and cranial nerve palsies may not be limited to the V and VI nerve in all cases. Physicians should be aware of such atypical manifestations as prompt radiological assessment followed by early antibiotics can prevent life-threatening complications from developing.

摘要

Gradenigo综合征(GS)是一种由岩尖炎向附近神经血管结构连续蔓延所致的临床三联征(耳漏、展神经麻痹及三叉神经分布区疼痛)。岩尖炎通常继发于中耳炎,但非典型病因及缺乏典型三联征给医生的诊断带来挑战。我们报告一例罕见的GS病例,患者为55岁男性,无发热,表现为单侧头痛、吞咽困难和声音嘶哑(累及IX和X颅神经),以及外展凝视麻痹伴复视(累及VI神经),无三叉神经痛或中耳炎病史。磁共振成像(MRI)显示右侧岩尖有高信号病变,提示岩尖炎,这是GS的标志。入院后第4天迅速开始使用广谱抗生素,吞咽困难和声音质量明显改善,到第四周结束时症状完全缓解。这表明即使没有明显的临床耳部感染,GS也可能出现,而且在所有病例中颅神经麻痹可能并不局限于V和VI神经。医生应意识到这种非典型表现,因为及时的影像学评估并尽早使用抗生素可预防危及生命的并发症发生。

https://cdn.ncbi.nlm.nih.gov/pmc/blobs/1040/8938864/557243648210/gr3.jpg
https://cdn.ncbi.nlm.nih.gov/pmc/blobs/1040/8938864/2ecbbdfcd3c2/gr1.jpg
https://cdn.ncbi.nlm.nih.gov/pmc/blobs/1040/8938864/5506589dff96/gr2.jpg
https://cdn.ncbi.nlm.nih.gov/pmc/blobs/1040/8938864/557243648210/gr3.jpg
https://cdn.ncbi.nlm.nih.gov/pmc/blobs/1040/8938864/2ecbbdfcd3c2/gr1.jpg
https://cdn.ncbi.nlm.nih.gov/pmc/blobs/1040/8938864/5506589dff96/gr2.jpg
https://cdn.ncbi.nlm.nih.gov/pmc/blobs/1040/8938864/557243648210/gr3.jpg

相似文献

1
Gradenigo's syndrome presenting as IX and X cranial nerve palsy without clinically apparent ear infection: A case report and review of literature.以Ⅸ和Ⅹ颅神经麻痹为表现且无明显耳部感染的Gradenigo综合征:一例病例报告及文献复习
eNeurologicalSci. 2022 Mar 17;27:100397. doi: 10.1016/j.ensci.2022.100397. eCollection 2022 Jun.
2
Gradenigo's Syndrome in a Patient with Chronic Suppurative Otitis Media, Petrous Apicitis, and Meningitis.一名慢性化脓性中耳炎、岩尖炎和脑膜炎患者的Gradenigo综合征
Am J Case Rep. 2017 Sep 28;18:1039-1043. doi: 10.12659/ajcr.904648.
3
A Case of Gradenigo's Syndrome in an Elderly Patient.一位老年患者的Gradenigo综合征病例。
Cureus. 2024 Jun 24;16(6):e63062. doi: 10.7759/cureus.63062. eCollection 2024 Jun.
4
Gradenigo's syndrome secondary to chronic otitis media on a background of previous radical mastoidectomy: a case report.既往行根治性乳突切除术后继发于慢性中耳炎的Gradenigo综合征:一例报告
J Med Case Rep. 2014 Jun 23;8:217. doi: 10.1186/1752-1947-8-217.
5
Atypical Gradenigo's syndrome in a pediatric case: A critical review of neuroimaging.小儿非典型Gradenigo综合征病例:神经影像学的批判性综述
Radiol Case Rep. 2024 Apr 13;19(7):2633-2638. doi: 10.1016/j.radcr.2024.03.037. eCollection 2024 Jul.
6
Gradenigo's Syndrome and Bacterial Meningitis in a Patient with a Petrous Apex Cholesterol Granuloma.岩尖胆固醇肉芽肿患者的Gradenigo综合征与细菌性脑膜炎
Case Rep Infect Dis. 2020 Oct 20;2020:8822053. doi: 10.1155/2020/8822053. eCollection 2020.
7
Refractory Pseudomonas Osteomyelitis of the Skull Base With Gradenigo's Syndrome: Early Dysphagia and Late Abducens Nerve Palsy.伴有Gradenigo综合征的颅底难治性铜绿假单胞菌骨髓炎:早期吞咽困难和晚期展神经麻痹
J Med Cases. 2024 Apr;15(2-3):43-48. doi: 10.14740/jmc4191. Epub 2024 Apr 8.
8
Neurosurgical Intervention in the Treatment of Gradenigo Syndrome: A Case Report.神经外科手术干预治疗Gradenigo综合征:一例报告
Cureus. 2023 Oct 24;15(10):e47573. doi: 10.7759/cureus.47573. eCollection 2023 Oct.
9
Petrositis With Bilateral Abducens Nerve Palsies complicated by Acute Otitis Media.伴有双侧展神经麻痹的 Petrositis 合并急性中耳炎。
Clin Exp Otorhinolaryngol. 2014 Mar;7(1):59-62. doi: 10.3342/ceo.2014.7.1.59. Epub 2014 Feb 5.
10
Gradenigo's syndrome: A common infection with uncommon consequences.格拉代尼戈综合征:一种常见感染引发罕见后果。
Am J Emerg Med. 2017 Sep;35(9):1388.e1-1388.e2. doi: 10.1016/j.ajem.2017.07.020. Epub 2017 Jul 5.

引用本文的文献

1
Acute Febrile Illness Accompanied by 7th and 12th Cranial Nerve Palsy Due to Lyme Disease Following Travel to Rural Ecuador: A Case Report and Mini-Review.前往厄瓜多尔农村后因莱姆病导致急性发热性疾病伴第 VII 和第 XII 颅神经麻痹:病例报告及简要综述
Trop Med Infect Dis. 2025 Jan 14;10(1):21. doi: 10.3390/tropicalmed10010021.
2
Clinical and molecular spectrum along with genotype-phenotype correlation of 25 patients diagnosed with 3 M syndrome: a study from Turkey.25例诊断为3M综合征患者的临床和分子谱系以及基因型-表型相关性:来自土耳其的一项研究
Eur J Pediatr. 2024 Dec 7;184(1):68. doi: 10.1007/s00431-024-05855-2.
3
Ceftazidime-Cefazolin Empiric Therapy for Pediatric Gradenigo Syndrome.

本文引用的文献

1
Gradenigo's and Vernet's syndrome in an adult man with Candida mastoiditis.一名患有念珠菌性乳突炎成年男性的Gradenigo综合征和Vernet综合征
BMJ Case Rep. 2021 Apr 27;14(4):e241006. doi: 10.1136/bcr-2020-241006.
2
Delayed diagnosed Gradenigo's syndrome associated with acute otitis media.与急性中耳炎相关的迟发性诊断Gradenigo综合征。
SAGE Open Med Case Rep. 2020 Oct 20;8:2050313X20966119. doi: 10.1177/2050313X20966119. eCollection 2020.
3
Gradenigo's Syndrome in a Patient with Chronic Suppurative Otitis Media, Petrous Apicitis, and Meningitis.
头孢他啶-头孢唑林经验性治疗小儿Gradenigo综合征
Ann Otol Rhinol Laryngol. 2025 Mar;134(3):234-237. doi: 10.1177/00034894241301289. Epub 2024 Nov 20.
4
A Case of Gradenigo's Syndrome in an Elderly Patient.一位老年患者的Gradenigo综合征病例。
Cureus. 2024 Jun 24;16(6):e63062. doi: 10.7759/cureus.63062. eCollection 2024 Jun.
5
Refractory Pseudomonas Osteomyelitis of the Skull Base With Gradenigo's Syndrome: Early Dysphagia and Late Abducens Nerve Palsy.伴有Gradenigo综合征的颅底难治性铜绿假单胞菌骨髓炎:早期吞咽困难和晚期展神经麻痹
J Med Cases. 2024 Apr;15(2-3):43-48. doi: 10.14740/jmc4191. Epub 2024 Apr 8.
6
Gradenigo Syndrome: A Case Report of a Rare Complication of Otitis Media.格拉代尼戈综合征:中耳炎罕见并发症的一例报告
Cureus. 2024 Jan 8;16(1):e51865. doi: 10.7759/cureus.51865. eCollection 2024 Jan.
7
Fusobacterium necrophorum an Underrecognized Cause of Petrous Apicitis Presenting with Gradenigo Syndrome: A Case Report.败毒梭菌是岩尖炎伴 Gradenigo 综合征的一个被低估的病因:病例报告。
Am J Case Rep. 2024 Feb 6;25:e942652. doi: 10.12659/AJCR.942652.
8
Neurosurgical Intervention in the Treatment of Gradenigo Syndrome: A Case Report.神经外科手术干预治疗Gradenigo综合征:一例报告
Cureus. 2023 Oct 24;15(10):e47573. doi: 10.7759/cureus.47573. eCollection 2023 Oct.
9
Wernicke Encephalopathy Presenting with Dysphagia: A Case Report and Systematic Literature Review.Wernicke 脑病伴吞咽困难:病例报告及系统文献复习。
Nutrients. 2022 Dec 13;14(24):5294. doi: 10.3390/nu14245294.
10
Atypical Gradenigo Syndrome in an Elderly Man Resolved with Mastoidectomy and Petrous Apicectomy.一位老年男性的非典型Gradenigo综合征经乳突切除术和岩尖切除术治愈。
Eur J Case Rep Intern Med. 2022 Jul 19;9(7):003344. doi: 10.12890/2022_003344. eCollection 2022.
一名慢性化脓性中耳炎、岩尖炎和脑膜炎患者的Gradenigo综合征
Am J Case Rep. 2017 Sep 28;18:1039-1043. doi: 10.12659/ajcr.904648.
4
Nasopharyngeal carcinoma presenting as Gradenigo's syndrome.表现为Gradenigo综合征的鼻咽癌。
Indian J Otolaryngol Head Neck Surg. 2006 Oct;58(4):400-2. doi: 10.1007/BF03049612.
5
Mastoiditis and Gradenigo's Syndrome with anaerobic bacteria.伴有厌氧菌的乳突炎和Gradenigo综合征。
BMC Ear Nose Throat Disord. 2012 Sep 14;12:10. doi: 10.1186/1472-6815-12-10.
6
Conservative management of Gradenigo's syndrome in a child.儿童Gradenigo综合征的保守治疗
BMJ Case Rep. 2011 Apr 19;2011:bcr0320113978. doi: 10.1136/bcr.03.2011.3978.
7
Extracranial and intracranial complications of otitis media: 22-year clinical experience and analysis.中耳炎的颅外和颅内并发症:22年临床经验与分析
Acta Otolaryngol. 2012 Mar;132(3):261-5. doi: 10.3109/00016489.2011.643239. Epub 2012 Jan 8.
8
Gradenigo's Syndrome: Beyond the Classical Triad of Diplopia, Facial Pain and Otorrhea.格拉代尼戈综合征:超越复视、面部疼痛和耳漏的经典三联征。
Case Rep Neurol. 2011 Feb 15;3(1):45-7. doi: 10.1159/000324179.
9
Acute otitis media-induced petrous apicitis presenting as the Gradenigo syndrome: successfully treated by ventilation tube insertion.急性中耳炎引起的岩尖炎表现为 Gradenigo 综合征:经通气管插入治疗成功。
Am J Otolaryngol. 2011 Sep-Oct;32(5):445-7. doi: 10.1016/j.amjoto.2010.07.018. Epub 2010 Oct 2.
10
CT, MRI and gallium SPECT in the diagnosis and treatment of petrous apicitis presenting as multiple cranial neuropathies.CT、MRI和镓单光子发射计算机断层扫描在以多发性颅神经病变为表现的岩尖炎诊断与治疗中的应用
Br J Radiol. 2005 Oct;78(934):948-51. doi: 10.1259/bjr/71475327.