Suppr超能文献

COVID-CXNet:利用深度学习在胸部正位X光图像中检测新型冠状病毒肺炎

COVID-CXNet: Detecting COVID-19 in frontal chest X-ray images using deep learning.

作者信息

Haghanifar Arman, Majdabadi Mahdiyar Molahasani, Choi Younhee, Deivalakshmi S, Ko Seokbum

机构信息

Division of Biomedical Engineering, University of Saskatchewan, Saskatoon, SK Canada.

Department of Electrical & Computer EngineeringUniversity of Saskatchewan, Saskatoon, SK Canada.

出版信息

Multimed Tools Appl. 2022;81(21):30615-30645. doi: 10.1007/s11042-022-12156-z. Epub 2022 Apr 7.

Abstract

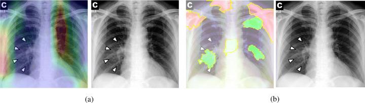
One of the primary clinical observations for screening the novel coronavirus is capturing a chest x-ray image. In most patients, a chest x-ray contains abnormalities, such as consolidation, resulting from COVID-19 viral pneumonia. In this study, research is conducted on efficiently detecting imaging features of this type of pneumonia using deep convolutional neural networks in a large dataset. It is demonstrated that simple models, alongside the majority of pretrained networks in the literature, focus on irrelevant features for decision-making. In this paper, numerous chest x-ray images from several sources are collected, and one of the largest publicly accessible datasets is prepared. Finally, using the transfer learning paradigm, the well-known CheXNet model is utilized to develop COVID-CXNet. This powerful model is capable of detecting the novel coronavirus pneumonia based on relevant and meaningful features with precise localization. COVID-CXNet is a step towards a fully automated and robust COVID-19 detection system.

摘要

筛查新型冠状病毒的主要临床观察方法之一是拍摄胸部X光图像。在大多数患者中,胸部X光显示出由COVID-19病毒性肺炎引起的异常,如实变。在本研究中,我们利用深度卷积神经网络在一个大型数据集中对这种类型肺炎的成像特征进行高效检测。结果表明,简单模型以及文献中的大多数预训练网络都关注于与决策无关的特征。本文收集了来自多个来源的大量胸部X光图像,并准备了一个最大的公开可用数据集。最后,使用迁移学习范式,利用著名的CheXNet模型开发了COVID-CXNet。这个强大的模型能够基于相关且有意义的特征精确地定位检测新型冠状病毒肺炎。COVID-CXNet朝着全自动且强大的COVID-19检测系统迈出了一步。

https://cdn.ncbi.nlm.nih.gov/pmc/blobs/4266/8989406/91f777c53d20/11042_2022_12156_Fig1_HTML.jpg

文献AI研究员

20分钟写一篇综述,助力文献阅读效率提升50倍。

立即体验

用中文搜PubMed

大模型驱动的PubMed中文搜索引擎

马上搜索

文档翻译

学术文献翻译模型,支持多种主流文档格式。

立即体验