Suppr超能文献

一种新型的 3'tRNA 衍生片段 tRF-Val 通过靶向胃癌中的 EEF1A1 促进增殖并抑制凋亡。

A novel 3'tRNA-derived fragment tRF-Val promotes proliferation and inhibits apoptosis by targeting EEF1A1 in gastric cancer.

机构信息

Department of Gastrointestinal Surgery, Shandong Provincial Hospital, Cheeloo College of Medicine, Shandong University, 250021, Jinan, Shandong, China.

Department of Gastrointestinal Surgery, Shandong Provincial Hospital Affiliated to Shandong First Medical University, 250021, Jinan, Shandong, China.

出版信息

Cell Death Dis. 2022 May 18;13(5):471. doi: 10.1038/s41419-022-04930-6.

Abstract

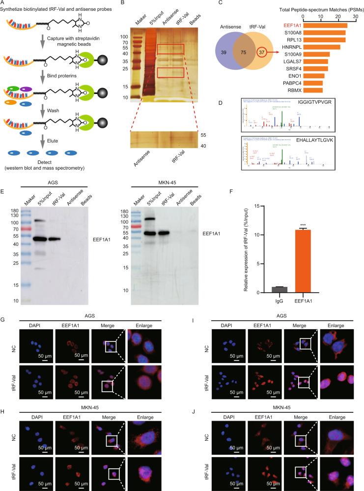
At present, it is commonly believed that tRFs and tiRNAs are formed by the specific and selective shear of tRNAs under certain pressure stimulation, rather than by random degradation of tRNA. tRFs and tiRNAs have been reported to contribute to the biological process of a variety of human cancers. However, the evidence for the mechanisms of tRFs and tiRNAs in the occurrence and development of gastric cancer (GC) is still insufficient. Here, we aimed to explore the carcinogenic roles of tRFs and tiRNAs in GC with RNA-sequencing technique, and found a novel 3'tRNA-derived fragment tRF-Val was significantly upregulated in GC tissues and cell lines. tRF-Val expression was positively correlated with tumor size and the depth of tumor invasion in GC tissues. Functionally, tRF-Val promoted proliferation and invasion, and inhibited apoptosis in GC cells. Mechanistically, tRF-Val directly bound to the chaperone molecule EEF1A1, mediated its transport into the nucleus and promoted its interaction with MDM2 (a specific p53 E3 ubiquitin ligase), thus inhibiting the downstream molecular pathway of p53 and promoting GC progression. These findings provided a new potential therapeutic target for GC and a new explanation for the occurrence of GC.

摘要

目前,普遍认为 tRFs 和 tiRNAs 是在特定的压力刺激下,通过 tRNA 的特异性和选择性剪切形成的,而不是通过 tRNA 的随机降解形成的。已有报道称 tRFs 和 tiRNAs 有助于多种人类癌症的生物学过程。然而,tRFs 和 tiRNAs 在胃癌(GC)发生和发展中的机制证据仍然不足。在这里,我们旨在使用 RNA 测序技术探讨 tRFs 和 tiRNAs 在 GC 中的致癌作用,并发现一种新型的 3'tRNA 衍生片段 tRF-Val 在 GC 组织和细胞系中显著上调。tRF-Val 的表达与 GC 组织中的肿瘤大小和浸润深度呈正相关。功能上,tRF-Val 促进 GC 细胞的增殖和侵袭,抑制凋亡。机制上,tRF-Val 直接与伴侣分子 EEF1A1 结合,介导其转运入核,并促进其与 MDM2(一种特定的 p53 E3 泛素连接酶)相互作用,从而抑制 p53 的下游分子途径,促进 GC 的进展。这些发现为 GC 提供了一个新的潜在治疗靶点,并为 GC 的发生提供了一个新的解释。

https://cdn.ncbi.nlm.nih.gov/pmc/blobs/cf52/9117658/3c9d16fe1e55/41419_2022_4930_Fig1_HTML.jpg

文献AI研究员

20分钟写一篇综述,助力文献阅读效率提升50倍。

立即体验

用中文搜PubMed

大模型驱动的PubMed中文搜索引擎

马上搜索

文档翻译

学术文献翻译模型,支持多种主流文档格式。

立即体验