• 文献检索
  • 文档翻译
  • 深度研究
  • 学术资讯
  • Suppr Zotero 插件Zotero 插件
  • 邀请有礼
  • 套餐&价格
  • 历史记录
应用&插件
Suppr Zotero 插件Zotero 插件浏览器插件Mac 客户端Windows 客户端微信小程序
定价
高级版会员购买积分包购买API积分包
服务
文献检索文档翻译深度研究API 文档MCP 服务
关于我们
关于 Suppr公司介绍联系我们用户协议隐私条款
关注我们

Suppr 超能文献

核心技术专利:CN118964589B侵权必究
粤ICP备2023148730 号-1Suppr @ 2026

文献检索

告别复杂PubMed语法,用中文像聊天一样搜索,搜遍4000万医学文献。AI智能推荐,让科研检索更轻松。

立即免费搜索

文件翻译

保留排版,准确专业,支持PDF/Word/PPT等文件格式,支持 12+语言互译。

免费翻译文档

深度研究

AI帮你快速写综述,25分钟生成高质量综述,智能提取关键信息,辅助科研写作。

立即免费体验

探究生物合成氧化镁纳米颗粒的抗癌功效:一项分析。

Investigating the anticancer efficacy of biogenic synthesized MgONPs: An analysis.

作者信息

Tabrez Shams, Khan Azhar U, Hoque Mehboob, Suhail Mohd, Khan Mohammad Imran, Zughaibi Torki A

机构信息

King Fahd Medical Research Center, King Abdulaziz University, Jeddah, Saudi Arabia.

Department of Medical Laboratory Sciences, Faculty of Applied Medical Sciences, King Abdulaziz University, Jeddah, Saudi Arabia.

出版信息

Front Chem. 2022 Sep 15;10:970193. doi: 10.3389/fchem.2022.970193. eCollection 2022.

DOI:10.3389/fchem.2022.970193
PMID:36186592
原文链接:https://pmc.ncbi.nlm.nih.gov/articles/PMC9520594/
Abstract

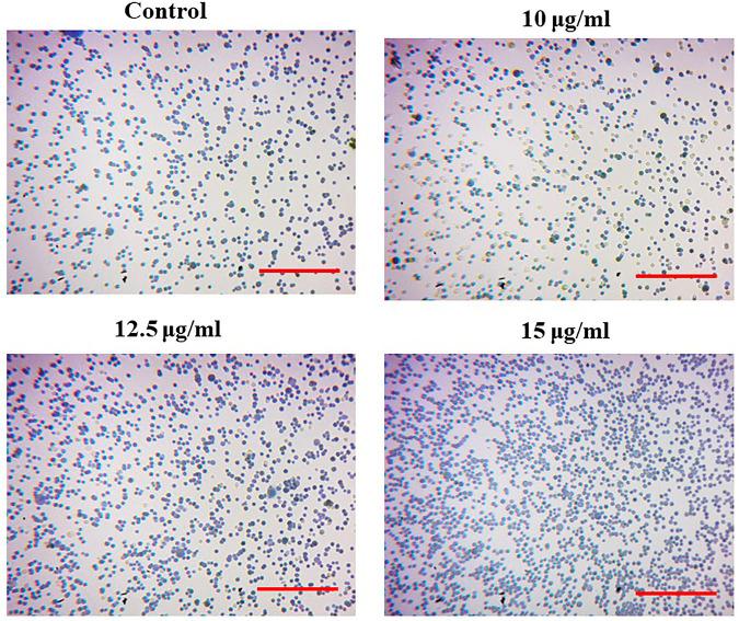
The biogenic approach of synthesizing metal nanoparticles is an exciting and interesting research area with a wide range of applications. The present study reports a simple, convenient, low-cost method for synthesizing magnesium oxide nanoparticles (MgONPs) from pumpkin seed extracts and their anticancer efficacy against ovarian teratocarcinoma cell line (PA-1). The characteristic features of biogenic MgONPs were assessed by UV-visible spectrophotometry (UV-vis), X-ray powder diffraction (XRD), scanning electron microscopy (SEM), and transmission electron microscopy (TEM). The formation of spherical NPs with an average size of 100 nm was observed by scanning electron microscopy (SEM) and transmission electron microscopy (TEM). Moreover, MgONPs exhibit considerable cytotoxicity with an IC dose of 12.5 μg/ml. A dose-dependent rise in the induction of apoptosis, ROS formation, and inhibition in the migration of PA-1 cells was observed up to 15 μg/ml concentration, reflecting their significant anticancer potential against ovarian teratocarcinoma cell line. However, additional work, especially in different and models, is recommended to find out their real potential before this environment-friendly and cost-effective nanoformulation could be exploited for the benefit of humankind.

摘要

生物合成金属纳米颗粒的方法是一个令人兴奋且有趣的研究领域,具有广泛的应用。本研究报告了一种从南瓜籽提取物中合成氧化镁纳米颗粒(MgONPs)的简单、便捷、低成本方法及其对卵巢畸胎瘤细胞系(PA-1)的抗癌功效。通过紫外可见分光光度法(UV-vis)、X射线粉末衍射(XRD)、扫描电子显微镜(SEM)和透射电子显微镜(TEM)对生物合成的MgONPs的特征进行了评估。通过扫描电子显微镜(SEM)和透射电子显微镜(TEM)观察到形成了平均尺寸为100 nm的球形纳米颗粒。此外,MgONPs在IC剂量为12.5 μg/ml时表现出相当大的细胞毒性。在浓度高达15 μg/ml时,观察到PA-1细胞凋亡诱导、ROS形成和迁移抑制呈剂量依赖性增加,这反映了它们对卵巢畸胎瘤细胞系具有显著的抗癌潜力。然而,建议开展更多工作,尤其是在不同的[此处原文缺失相关内容]和模型中,以便在这种环境友好且经济高效的纳米制剂能够造福人类之前,了解它们的实际潜力。

https://cdn.ncbi.nlm.nih.gov/pmc/blobs/66c2/9520594/f2686e4274cd/fchem-10-970193-g011.jpg
https://cdn.ncbi.nlm.nih.gov/pmc/blobs/66c2/9520594/34aca7745083/fchem-10-970193-g001.jpg
https://cdn.ncbi.nlm.nih.gov/pmc/blobs/66c2/9520594/3216ddc6ed2c/fchem-10-970193-g002.jpg
https://cdn.ncbi.nlm.nih.gov/pmc/blobs/66c2/9520594/56a2c7359497/fchem-10-970193-g003.jpg
https://cdn.ncbi.nlm.nih.gov/pmc/blobs/66c2/9520594/8d7d842df4a5/fchem-10-970193-g004.jpg
https://cdn.ncbi.nlm.nih.gov/pmc/blobs/66c2/9520594/70381305fd35/fchem-10-970193-g005.jpg
https://cdn.ncbi.nlm.nih.gov/pmc/blobs/66c2/9520594/2ab6784e201c/fchem-10-970193-g006.jpg
https://cdn.ncbi.nlm.nih.gov/pmc/blobs/66c2/9520594/a8b6b7e1896d/fchem-10-970193-g007.jpg
https://cdn.ncbi.nlm.nih.gov/pmc/blobs/66c2/9520594/fbc0d372c199/fchem-10-970193-g008.jpg
https://cdn.ncbi.nlm.nih.gov/pmc/blobs/66c2/9520594/5833b999b989/fchem-10-970193-g009.jpg
https://cdn.ncbi.nlm.nih.gov/pmc/blobs/66c2/9520594/0fce5118b632/fchem-10-970193-g010.jpg
https://cdn.ncbi.nlm.nih.gov/pmc/blobs/66c2/9520594/f2686e4274cd/fchem-10-970193-g011.jpg
https://cdn.ncbi.nlm.nih.gov/pmc/blobs/66c2/9520594/34aca7745083/fchem-10-970193-g001.jpg
https://cdn.ncbi.nlm.nih.gov/pmc/blobs/66c2/9520594/3216ddc6ed2c/fchem-10-970193-g002.jpg
https://cdn.ncbi.nlm.nih.gov/pmc/blobs/66c2/9520594/56a2c7359497/fchem-10-970193-g003.jpg
https://cdn.ncbi.nlm.nih.gov/pmc/blobs/66c2/9520594/8d7d842df4a5/fchem-10-970193-g004.jpg
https://cdn.ncbi.nlm.nih.gov/pmc/blobs/66c2/9520594/70381305fd35/fchem-10-970193-g005.jpg
https://cdn.ncbi.nlm.nih.gov/pmc/blobs/66c2/9520594/2ab6784e201c/fchem-10-970193-g006.jpg
https://cdn.ncbi.nlm.nih.gov/pmc/blobs/66c2/9520594/a8b6b7e1896d/fchem-10-970193-g007.jpg
https://cdn.ncbi.nlm.nih.gov/pmc/blobs/66c2/9520594/fbc0d372c199/fchem-10-970193-g008.jpg
https://cdn.ncbi.nlm.nih.gov/pmc/blobs/66c2/9520594/5833b999b989/fchem-10-970193-g009.jpg
https://cdn.ncbi.nlm.nih.gov/pmc/blobs/66c2/9520594/0fce5118b632/fchem-10-970193-g010.jpg
https://cdn.ncbi.nlm.nih.gov/pmc/blobs/66c2/9520594/f2686e4274cd/fchem-10-970193-g011.jpg

相似文献

1
Investigating the anticancer efficacy of biogenic synthesized MgONPs: An analysis.探究生物合成氧化镁纳米颗粒的抗癌功效:一项分析。
Front Chem. 2022 Sep 15;10:970193. doi: 10.3389/fchem.2022.970193. eCollection 2022.
2
Evaluation of antimicrobial, anticancer potential and Flippase induced leakage in model membrane of Centella asiatica fabricated MgONPs.基于积雪草制备的 MgONPs 的抗菌、抗癌潜力评价及其在模型膜中的翻转酶诱导泄漏
Biomater Adv. 2022 Jul;138:212855. doi: 10.1016/j.bioadv.2022.212855. Epub 2022 May 13.
3
Biogenic Synthesis of Photosensitive Magnesium Oxide Nanoparticles Using Citron Waste Peel Extract and Evaluation of Their Antibacterial and Anticarcinogenic Potential.利用香橼果皮提取物生物合成光敏氧化镁纳米颗粒及其抗菌和抗癌潜力评估
Bioinorg Chem Appl. 2024 Jun 6;2024:8180102. doi: 10.1155/2024/8180102. eCollection 2024.
4
Biogenic Synthesis of Cu-Mn Bimetallic Nanoparticles Using Pumpkin Seeds Extract and Their Characterization and Anticancer Efficacy.利用南瓜籽提取物生物合成铜锰双金属纳米颗粒及其表征与抗癌功效
Nanomaterials (Basel). 2023 Mar 28;13(7):1201. doi: 10.3390/nano13071201.
5
Screening of Cu O NPs efficacy and its anticancer potential against cervical cancer.氧化铜纳米颗粒对宫颈癌的疗效及其抗癌潜力的筛选。
Cell Biochem Funct. 2023 Dec;41(8):1174-1187. doi: 10.1002/cbf.3850. Epub 2023 Sep 10.
6
Anticancer, antimicrobial and photocatalytic activities of green synthesized magnesium oxide nanoparticles (MgONPs) using aqueous extract of Sargassum wightii.利用马尾藻的水提物绿色合成氧化镁纳米粒子(MgONPs)的抗癌、抗菌和光催化活性。
J Photochem Photobiol B. 2019 Jan;190:86-97. doi: 10.1016/j.jphotobiol.2018.11.014. Epub 2018 Nov 23.
7
Biogenic Synthesis of NiO Nanoparticles Using Leaf Extract and Their Antidiabetic and Cytotoxic Effects.利用叶提取物生物合成 NiO 纳米粒子及其抗糖尿病和细胞毒性作用。
Molecules. 2021 Apr 22;26(9):2448. doi: 10.3390/molecules26092448.
8
Potential of green-synthesized ZnO NPs against human ovarian teratocarcinoma: an in vitro study.绿色合成的氧化锌纳米粒子对人卵巢畸胎癌的作用潜力:一项体外研究。
Mol Biol Rep. 2023 May;50(5):4447-4457. doi: 10.1007/s11033-023-08367-8. Epub 2023 Apr 4.
9
Synthesis and characterization of biogenic metal nanoparticles and its cytotoxicity and anti-neoplasticity through the induction of oxidative stress, mitochondrial dysfunction and apoptosis.生物成因金属纳米粒子的合成与表征及其通过诱导氧化应激、线粒体功能障碍和细胞凋亡的细胞毒性和抗肿瘤活性。
Colloids Surf B Biointerfaces. 2018 Jan 1;161:111-120. doi: 10.1016/j.colsurfb.2017.10.040. Epub 2017 Oct 13.
10
Bacteriophage-mediated biosynthesis of MnONPs and MgONPs and their role in the protection of plants from bacterial pathogens.噬菌体介导的锰氧化物纳米颗粒和镁氧化物纳米颗粒的生物合成及其在保护植物免受细菌病原体侵害中的作用。
Front Microbiol. 2023 Jun 15;14:1193206. doi: 10.3389/fmicb.2023.1193206. eCollection 2023.

引用本文的文献

1
Magnesium Oxide Nanoparticles: A New Frontier in Antiviral Therapy Against Herpes Simplex Virus Type 1.氧化镁纳米颗粒:抗1型单纯疱疹病毒抗病毒治疗的新前沿。
Adv Virol. 2025 Aug 17;2025:3088529. doi: 10.1155/av/3088529. eCollection 2025.
2
ZnO@Cu5.4O Nanoparticle Alleviates Inflammatory Responses of Intestinal Epithelial Cells by Inhibiting the Expression of GSDMB.氧化锌@氧化亚铜纳米颗粒通过抑制Gasdermin B的表达减轻肠上皮细胞的炎症反应。
ACS Omega. 2025 May 26;10(22):23739-23749. doi: 10.1021/acsomega.5c02789. eCollection 2025 Jun 10.
3
Assessing the biomedical applicability of biogenically synthesized AuNPs using Salvia splendens extract.

本文引用的文献

1
Nutritional Value, Phytochemical Potential, and Therapeutic Benefits of Pumpkin ( sp.).南瓜(品种)的营养价值、植物化学潜力及治疗益处
Plants (Basel). 2022 May 24;11(11):1394. doi: 10.3390/plants11111394.
2
Sugiol Suppresses the Proliferation of Human U87 Glioma Cells via Induction of Apoptosis and Cell Cycle Arrest.冬凌草素通过诱导细胞凋亡和细胞周期阻滞抑制人U87胶质瘤细胞的增殖。
Evid Based Complement Alternat Med. 2022 May 29;2022:7658899. doi: 10.1155/2022/7658899. eCollection 2022.
3
Enhanced Antimicrobial, Cytotoxicity, Larvicidal, and Repellence Activities of Brown Algae, -Mediated Green Synthesis of Magnesium Oxide Nanoparticles.
评估使用一串红提取物生物合成的金纳米粒子的生物医学适用性。
PLoS One. 2025 Jun 5;20(6):e0324445. doi: 10.1371/journal.pone.0324445. eCollection 2025.
4
Exploring the Potential of Plant-Based Nanotechnology in Cancer Immunotherapy: Benefits, Limitations, and Future Perspectives.探索植物基纳米技术在癌症免疫治疗中的潜力:益处、局限性及未来展望。
Biol Trace Elem Res. 2025 Mar;203(3):1746-1763. doi: 10.1007/s12011-024-04266-6. Epub 2024 Jun 11.
5
Eco-Friendly CuO/FeO Nanocomposite synthesis, characterization, and cytotoxicity study.环保型氧化铜/氧化亚铁纳米复合材料的合成、表征及细胞毒性研究。
Heliyon. 2024 Mar 8;10(6):e27787. doi: 10.1016/j.heliyon.2024.e27787. eCollection 2024 Mar 30.
6
Green biosynthesis of bimetallic selenium-gold nanoparticles using leaves and their biological applications.利用树叶进行双金属硒-金纳米粒子的绿色生物合成及其生物学应用。
Front Bioeng Biotechnol. 2024 Jan 11;11:1294170. doi: 10.3389/fbioe.2023.1294170. eCollection 2023.
7
Evaluation of biogenically synthesized MgO NPs anticancer activity against breast cancer cells.生物合成氧化镁纳米颗粒对乳腺癌细胞的抗癌活性评估。
Saudi J Biol Sci. 2024 Jan;31(1):103874. doi: 10.1016/j.sjbs.2023.103874. Epub 2023 Nov 11.
8
Immune Features of Tumor Microenvironment: A Genetic Spotlight.肿瘤微环境的免疫特征:基因聚焦
Cell Biochem Biophys. 2024 Mar;82(1):107-118. doi: 10.1007/s12013-023-01192-7. Epub 2023 Oct 23.
9
One-step preparation, characterization, and anticancer potential of ZnFeO/RGO nanocomposites.ZnFeO/RGO纳米复合材料的一步法制备、表征及抗癌潜力
Saudi Pharm J. 2023 Sep;31(9):101735. doi: 10.1016/j.jsps.2023.101735. Epub 2023 Aug 5.
10
Nano as Chemopreventive Agent Against Breast Cancer.纳米作为预防乳腺癌的化学预防剂。
Int J Nanomedicine. 2023 Aug 3;18:4471-4484. doi: 10.2147/IJN.S403385. eCollection 2023.
褐藻介导的氧化镁纳米颗粒的增强抗菌、细胞毒性、杀幼虫和驱避活性
Front Bioeng Biotechnol. 2022 Feb 28;10:849921. doi: 10.3389/fbioe.2022.849921. eCollection 2022.
4
Cancer statistics, 2022.癌症统计数据,2022 年。
CA Cancer J Clin. 2022 Jan;72(1):7-33. doi: 10.3322/caac.21708. Epub 2022 Jan 12.
5
Biosynthesized Silver Nanoparticles for Cancer Therapy and In Vivo Bioimaging.用于癌症治疗和体内生物成像的生物合成银纳米颗粒
Cancers (Basel). 2021 Dec 4;13(23):6114. doi: 10.3390/cancers13236114.
6
Cancer nanotechnology: current status and perspectives.癌症纳米技术:现状与展望。
Nano Converg. 2021 Nov 2;8(1):34. doi: 10.1186/s40580-021-00282-7.
7
The Hallmarks of Cancer as Ecologically Driven Phenotypes.作为生态驱动型表型的癌症特征
Front Ecol Evol. 2021 Apr;9. doi: 10.3389/fevo.2021.661583. Epub 2021 Apr 28.
8
Resveratrol-Based Nanoformulations as an Emerging Therapeutic Strategy for Cancer.基于白藜芦醇的纳米制剂作为一种新兴的癌症治疗策略。
Front Mol Biosci. 2021 Sep 1;8:649395. doi: 10.3389/fmolb.2021.649395. eCollection 2021.
9
-Mediated Green Synthesis of Magnesium Oxide Nanoparticles (MgO-NPs): A Promising Tool for Antimicrobial, Mosquitocidal Action, and Tanning Effluent Treatment.氧化镁纳米颗粒(MgO-NPs)的介导绿色合成:一种用于抗菌、灭蚊作用和制革废水处理的有前途的工具。
J Fungi (Basel). 2021 May 10;7(5):372. doi: 10.3390/jof7050372.
10
Magnesium: Biochemistry, Nutrition, Detection, and Social Impact of Diseases Linked to Its Deficiency.镁:与缺乏相关的疾病的生物化学、营养、检测及其社会影响。
Nutrients. 2021 Mar 30;13(4):1136. doi: 10.3390/nu13041136.