Awais Muhammad, Akter Reshmi, Boopathi Vinothini, Ahn Jong Chan, Lee Jung Hyeok, Mathiyalagan Ramya, Kwak Gi-Young, Rauf Mamoona, Yang Deok Chun, Lee Geun Sik, Kim Yeon-Ju, Jung Seok-Kyu
Graduate School of Biotechnology, College of Life Sciences, Kyung Hee University, Yongin si, Republic of Korea.
Department of Oriental Medicinal Biotechnology, College of Life Sciences, Kyung Hee University, Yongin-si, Republic of Korea.
Front Nutr. 2023 Aug 2;10:1168095. doi: 10.3389/fnut.2023.1168095. eCollection 2023.
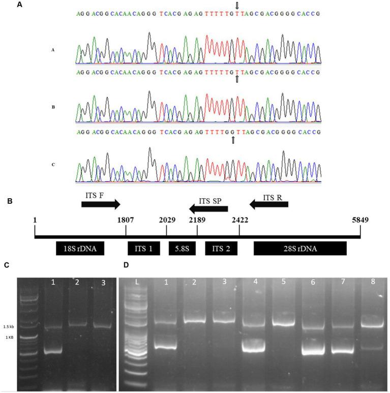
(DM), a medicinal plant, is rich in polyphenols and commonly used to treat cancer, inflammation, and thrombosis. However, to date, no study has been conducted on DM regarding the enormous drift of secondary metabolites of plants in different regions of the Republic of Korea and their effects on antiobesity, to explore compounds that play an important role in two major obesity-related pathways. Here, we present an in-depth study on DM samples collected from three regions of the Republic of Korea [Jeju Island (DMJ), Bogildo (DMB), and Jangheung (DMJG)]. We used high-performance liquid chromatography (HPLC) and multivariate component analyses to analyze polyphenol contents (neochlorogenic acid, chlorogenic acid, cryptochlorogenic acid, and rutin), followed by discrimination of the samples in DMJG using single nucleotide polymorphism and chemometric analysis. and evaluation of major compounds found in the plant extract on two major anti-obesity pathways (adipogenesis and thermogenesis) was carried out. Furthermore, two extraction methods (Soxhlet and ultrasound-assisted extraction) were used to understand which method is better and why. Upon quantifying plant samples in three regions with the polyphenols, DMJG had the highest content of polyphenols. The internal transcribed region (ITS) revealed a specific gel-based band for the authentication of DMJG. PCA and PLS-DA revealed the polyphenol's discriminative power of the region DMJG. The anti-obesity effects of plant extracts from the three regions were related to their polyphenol contents, with DMJG showing the highest effect followed by DMJ and DMB. Ultrasound-assisted extraction yielded a high number of polyphenols compared to that of the Soxhlet method, which was supported by scanning electron microscopy. The present work encourages studies on plants rich in secondary metabolites to efficiently use them for dietary and therapeutic purposes.
地锦(DM)是一种药用植物,富含多酚,常用于治疗癌症、炎症和血栓形成。然而,迄今为止,尚未针对韩国不同地区植物次生代谢产物的巨大差异及其对减肥的影响开展关于地锦的研究,以探索在两条与肥胖相关的主要途径中起重要作用的化合物。在此,我们对从韩国三个地区[济州岛(DMJ)、保吉岛(DMB)和长兴(DMJG)]采集的地锦样本进行了深入研究。我们使用高效液相色谱法(HPLC)和多变量成分分析来分析多酚含量(新绿原酸、绿原酸、隐绿原酸和芦丁),随后使用单核苷酸多态性和化学计量分析对DMJG中的样本进行鉴别。并对植物提取物中发现的主要化合物在两条主要的抗肥胖途径(脂肪生成和产热)上进行了评估。此外,还使用了两种提取方法(索氏提取法和超声辅助提取法)来了解哪种方法更好以及原因。在用多酚对三个地区的植物样本进行定量时,DMJG的多酚含量最高。内部转录间隔区(ITS)显示了一条用于鉴定DMJG的特定凝胶条带。主成分分析(PCA)和偏最小二乘判别分析(PLS-DA)揭示了DMJG地区多酚的判别能力。三个地区植物提取物的抗肥胖作用与其多酚含量相关,DMJG的效果最高,其次是DMJ和DMB。与索氏提取法相比,超声辅助提取法产生了大量的多酚,扫描电子显微镜也证实了这一点。目前的工作鼓励对富含次生代谢产物的植物进行研究,以便有效地将它们用于饮食和治疗目的。