Suppr超能文献

乙型肝炎病毒粒子DNA在大肠杆菌中的克隆及其物理结构

Cloning in Escherichia coli and physical structure of hepatitis B virion DNA.

作者信息

Charnay P, Pourcel C, Louise A, Fritsch A, Tiollais P

出版信息

Proc Natl Acad Sci U S A. 1979 May;76(5):2222-6. doi: 10.1073/pnas.76.5.2222.

Abstract

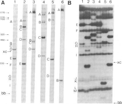
A restriction map of hepatitis B virion DNA was established after cloning of the whole viral genome in Escherichia coli. By use of EcoRI, Xho I, Bgl II, Xba I, BamHI, HincII, and Hae III endonucleases, a total of 28 restriction sites were mapped. The single-stranded region was localized on the restriction map and 5' end of the short strand was mapped at a fixed position.

摘要

在将乙肝病毒全基因组克隆到大肠杆菌中后,构建了乙肝病毒颗粒DNA的限制酶切图谱。使用EcoRI、Xho I、Bgl II、Xba I、BamHI、HincII和Hae III核酸内切酶,共定位了28个限制酶切位点。单链区域在限制酶切图谱上定位,短链的5'端在一个固定位置定位。

https://cdn.ncbi.nlm.nih.gov/pmc/blobs/1923/383570/867090c8859b/pnas00005-0141-a.jpg

文献检索

告别复杂PubMed语法,用中文像聊天一样搜索,搜遍4000万医学文献。AI智能推荐,让科研检索更轻松。

立即免费搜索

文件翻译

保留排版,准确专业,支持PDF/Word/PPT等文件格式,支持 12+语言互译。

免费翻译文档

深度研究

AI帮你快速写综述,25分钟生成高质量综述,智能提取关键信息,辅助科研写作。

立即免费体验