Suppr超能文献

一种伴有异位输尿管插入精囊的齐纳综合征变体。

A variant of Zinner syndrome with ectopic ureteral insertion into the seminal vesicle.

作者信息

Al-Smair Ali, Mahmoud Muhannad M, Attal Murad T, Alzawawi Israa N

机构信息

MedRay Center, Amman, Jordan.

The University of Jordan, Faculty of Medicine, Amman, Jordan.

出版信息

Radiol Case Rep. 2024 Apr 15;19(7):2663-2668. doi: 10.1016/j.radcr.2024.03.046. eCollection 2024 Jul.

Abstract

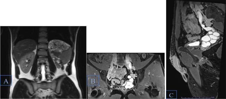
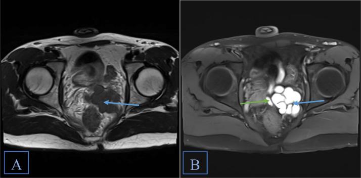
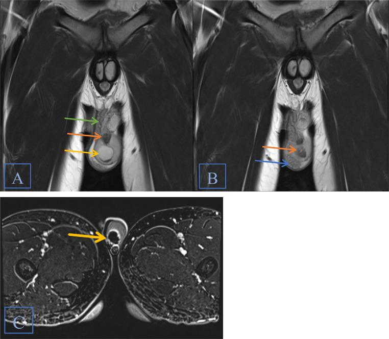
Zinner syndrome comprises a triad of unilateral renal agenesis, ipsilateral seminal vesicle cyst, and ejaculatory duct obstruction, which can be accompanied by additional abnormalities of the genitourinary tract in some cases. Patients may be asymptomatic or present with urinary, reproductive, and/or local pain symptoms. Diagnosis is most commonly achieved via MRI. Here, we present the case of an 18-year-old male previously diagnosed with unilateral renal agenesis, who presented with testicular and penile pain, along with urinary urgency and frequency. MRI of the abdomen and pelvis revealed all three components of Zinner syndrome as well as an ectopic ureter emptying into the seminal vesicle. Our case adds to the existing limited literature on this rare syndrome and broadens the understanding of how this syndrome can present both clinically and radiologically.

摘要

齐纳综合征包括单侧肾缺如、同侧精囊囊肿和射精管梗阻三联征,某些情况下可伴有泌尿生殖道的其他异常。患者可能无症状,或出现泌尿系统、生殖系统和/或局部疼痛症状。诊断最常用的方法是磁共振成像(MRI)。在此,我们报告一例18岁男性病例,该患者此前被诊断为单侧肾缺如,现出现睾丸和阴茎疼痛,伴有尿急和尿频。腹部和盆腔的MRI显示了齐纳综合征的所有三个组成部分,以及一条异位输尿管排入精囊。我们的病例补充了关于这种罕见综合征的现有有限文献,并拓宽了对该综合征在临床和影像学上表现的认识。

https://cdn.ncbi.nlm.nih.gov/pmc/blobs/3ac2/11033097/830b4cecdd32/gr1.jpg

文献检索

告别复杂PubMed语法,用中文像聊天一样搜索,搜遍4000万医学文献。AI智能推荐,让科研检索更轻松。

立即免费搜索

文件翻译

保留排版,准确专业,支持PDF/Word/PPT等文件格式,支持 12+语言互译。

免费翻译文档

深度研究

AI帮你快速写综述,25分钟生成高质量综述,智能提取关键信息,辅助科研写作。

立即免费体验