Suppr超能文献

DRA-Net:基于自适应特征提取和区域级信息融合的医学图像分割

DRA-Net: Medical image segmentation based on adaptive feature extraction and region-level information fusion.

作者信息

Huang Zhongmiao, Wang Liejun, Xu Lianghui

机构信息

School of Computer Science and Technology, Xinjiang University, Urumqi, 830046, China.

出版信息

Sci Rep. 2024 Apr 27;14(1):9714. doi: 10.1038/s41598-024-60475-y.

Abstract

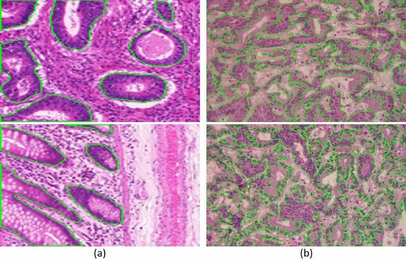
Medical image segmentation is a key task in computer aided diagnosis. In recent years, convolutional neural network (CNN) has made some achievements in medical image segmentation. However, the convolution operation can only extract features in a fixed size region at a time, which leads to the loss of some key features. The recently popular Transformer has global modeling capabilities, but it does not pay enough attention to local information and cannot accurately segment the edge details of the target area. Given these issues, we proposed dynamic regional attention network (DRA-Net). Different from the above methods, it first measures the similarity of features and concentrates attention on different dynamic regions. In this way, the network can adaptively select different modeling scopes for feature extraction, reducing information loss. Then, regional feature interaction is carried out to better learn local edge details. At the same time, we also design ordered shift multilayer perceptron (MLP) blocks to enhance communication within different regions, further enhancing the network's ability to learn local edge details. After several experiments, the results indicate that our network produces more accurate segmentation performance compared to other CNN and Transformer based networks.

摘要

医学图像分割是计算机辅助诊断中的一项关键任务。近年来,卷积神经网络(CNN)在医学图像分割方面取得了一些成果。然而,卷积操作一次只能在固定大小的区域内提取特征,这导致一些关键特征的丢失。最近流行的Transformer具有全局建模能力,但它对局部信息的关注不够,无法准确分割目标区域的边缘细节。针对这些问题,我们提出了动态区域注意力网络(DRA-Net)。与上述方法不同,它首先测量特征的相似性,并将注意力集中在不同的动态区域。通过这种方式,网络可以自适应地选择不同的建模范围进行特征提取,减少信息损失。然后,进行区域特征交互以更好地学习局部边缘细节。同时,我们还设计了有序移位多层感知器(MLP)块来增强不同区域之间的通信,进一步提高网络学习局部边缘细节的能力。经过多次实验,结果表明我们的网络与其他基于CNN和Transformer的网络相比,产生了更准确的分割性能。

https://cdn.ncbi.nlm.nih.gov/pmc/blobs/ed2f/11584768/9befa5d2338a/41598_2024_60475_Fig1_HTML.jpg

文献检索

告别复杂PubMed语法,用中文像聊天一样搜索,搜遍4000万医学文献。AI智能推荐,让科研检索更轻松。

立即免费搜索

文件翻译

保留排版,准确专业,支持PDF/Word/PPT等文件格式,支持 12+语言互译。

免费翻译文档

深度研究

AI帮你快速写综述,25分钟生成高质量综述,智能提取关键信息,辅助科研写作。

立即免费体验