• 文献检索
  • 文档翻译
  • 深度研究
  • 学术资讯
  • Suppr Zotero 插件Zotero 插件
  • 邀请有礼
  • 套餐&价格
  • 历史记录
应用&插件
Suppr Zotero 插件Zotero 插件浏览器插件Mac 客户端Windows 客户端微信小程序
定价
高级版会员购买积分包购买API积分包
服务
文献检索文档翻译深度研究API 文档MCP 服务
关于我们
关于 Suppr公司介绍联系我们用户协议隐私条款
关注我们

Suppr 超能文献

核心技术专利:CN118964589B侵权必究
粤ICP备2023148730 号-1Suppr @ 2026

文献检索

告别复杂PubMed语法,用中文像聊天一样搜索,搜遍4000万医学文献。AI智能推荐,让科研检索更轻松。

立即免费搜索

文件翻译

保留排版,准确专业,支持PDF/Word/PPT等文件格式,支持 12+语言互译。

免费翻译文档

深度研究

AI帮你快速写综述,25分钟生成高质量综述,智能提取关键信息,辅助科研写作。

立即免费体验

基于生成对抗网络的弱监督低剂量计算机断层扫描去噪

Weakly supervised low-dose computed tomography denoising based on generative adversarial networks.

作者信息

Liao Peixi, Zhang Xucan, Wu Yaoyao, Chen Hu, Du Wenchao, Liu Hong, Yang Hongyu, Zhang Yi

机构信息

Department of Stomatology, The Sixth People's Hospital of Chengdu, Chengdu, China.

The National Key Laboratory of Fundamental Science on Synthetic Vision, Sichuan University, Chengdu, China.

出版信息

Quant Imaging Med Surg. 2024 Aug 1;14(8):5571-5590. doi: 10.21037/qims-24-68. Epub 2024 Jul 26.

DOI:10.21037/qims-24-68
PMID:39144020
原文链接:https://pmc.ncbi.nlm.nih.gov/articles/PMC11320552/
Abstract

BACKGROUND

Low-dose computed tomography (LDCT) is a diagnostic imaging technique designed to minimize radiation exposure to the patient. However, this reduction in radiation may compromise computed tomography (CT) image quality, adversely impacting clinical diagnoses. Various advanced LDCT methods have emerged to mitigate this challenge, relying on well-matched LDCT and normal-dose CT (NDCT) image pairs for training. Nevertheless, these methods often face difficulties in distinguishing image details from nonuniformly distributed noise, limiting their denoising efficacy. Additionally, acquiring suitably paired datasets in the medical domain poses challenges, further constraining their applicability. Hence, the objective of this study was to develop an innovative denoising framework for LDCT images employing unpaired data.

METHODS

In this paper, we propose a LDCT denoising network (DNCNN) that alleviates the need for aligning LDCT and NDCT images. Our approach employs generative adversarial networks (GANs) to learn and model the noise present in LDCT images, establishing a mapping from the pseudo-LDCT to the actual NDCT domain without the need for paired CT images.

RESULTS

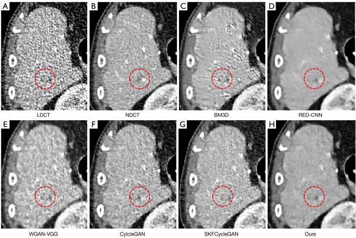
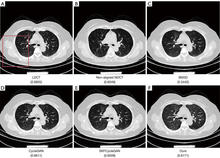
Within the domain of weakly supervised methods, our proposed model exhibited superior objective metrics on the simulated dataset when compared to CycleGAN and selective kernel-based cycle-consistent GAN (SKFCycleGAN): the peak signal-to-noise ratio (PSNR) was 43.9441, the structural similarity index measure (SSIM) was 0.9660, and the visual information fidelity (VIF) was 0.7707. In the clinical dataset, we conducted a visual effect analysis by observing various tissues through different observation windows. Our proposed method achieved a no-reference structural sharpness (NRSS) value of 0.6171, which was closest to that of the NDCT images (NRSS =0.6049), demonstrating its superiority over other denoising techniques in preserving details, maintaining structural integrity, and enhancing edge contrast.

CONCLUSIONS

Through extensive experiments on both simulated and clinical datasets, we demonstrated the superior efficacy of our proposed method in terms of denoising quality and quantity. Our method exhibits superiority over both supervised techniques, including block-matching and 3D filtering (BM3D), residual encoder-decoder convolutional neural network (RED-CNN), and Wasserstein generative adversarial network-VGG (WGAN-VGG), and over weakly supervised approaches, including CycleGAN and SKFCycleGAN.

摘要

背景

低剂量计算机断层扫描(LDCT)是一种旨在将患者辐射暴露降至最低的诊断成像技术。然而,这种辐射剂量的降低可能会损害计算机断层扫描(CT)图像质量,对临床诊断产生不利影响。为应对这一挑战,出现了各种先进的LDCT方法,这些方法依靠匹配良好的LDCT和正常剂量CT(NDCT)图像对进行训练。然而,这些方法在从分布不均匀的噪声中区分图像细节时往往面临困难,限制了它们的去噪效果。此外,在医学领域获取合适的配对数据集也存在挑战,进一步限制了它们的适用性。因此,本研究的目的是开发一种使用未配对数据的创新型LDCT图像去噪框架。

方法

在本文中,我们提出了一种LDCT去噪网络(DNCNN),该网络无需对齐LDCT和NDCT图像。我们的方法采用生成对抗网络(GAN)来学习和建模LDCT图像中存在的噪声,在无需配对CT图像的情况下建立从伪LDCT到实际NDCT域的映射。

结果

在弱监督方法领域,与CycleGAN和基于选择性内核的循环一致GAN(SKFCycleGAN)相比,我们提出的模型在模拟数据集上表现出更好的客观指标:峰值信噪比(PSNR)为43.9441,结构相似性指数测量(SSIM)为0.9660,视觉信息保真度(VIF)为0.7707。在临床数据集中,我们通过不同观察窗口观察各种组织进行了视觉效果分析。我们提出的方法实现了无参考结构清晰度(NRSS)值为0.6171,最接近NDCT图像的NRSS值(NRSS = 0.6049),表明其在保留细节、保持结构完整性和增强边缘对比度方面优于其他去噪技术。

结论

通过在模拟和临床数据集上进行的大量实验,我们证明了我们提出的方法在去噪质量和数量方面具有卓越的效果。我们的方法在包括块匹配和3D滤波(BM3D)、残差编码器 - 解码器卷积神经网络(RED - CNN)以及瓦瑟斯坦生成对抗网络 - VGG(WGAN - VGG)等监督技术,以及包括CycleGAN和SKFCycleGAN等弱监督方法方面均表现出优越性。

https://cdn.ncbi.nlm.nih.gov/pmc/blobs/7275/11320552/e5b02ccad6a4/qims-14-08-5571-f11.jpg
https://cdn.ncbi.nlm.nih.gov/pmc/blobs/7275/11320552/b4b949333b77/qims-14-08-5571-f1.jpg
https://cdn.ncbi.nlm.nih.gov/pmc/blobs/7275/11320552/033263d5caa8/qims-14-08-5571-f2.jpg
https://cdn.ncbi.nlm.nih.gov/pmc/blobs/7275/11320552/7c2f67ba8d1c/qims-14-08-5571-f3.jpg
https://cdn.ncbi.nlm.nih.gov/pmc/blobs/7275/11320552/8bf56b8b1389/qims-14-08-5571-f4.jpg
https://cdn.ncbi.nlm.nih.gov/pmc/blobs/7275/11320552/d2ee8bedfe18/qims-14-08-5571-f5.jpg
https://cdn.ncbi.nlm.nih.gov/pmc/blobs/7275/11320552/9c4528022f2b/qims-14-08-5571-f6.jpg
https://cdn.ncbi.nlm.nih.gov/pmc/blobs/7275/11320552/a2d02642a1c4/qims-14-08-5571-f7.jpg
https://cdn.ncbi.nlm.nih.gov/pmc/blobs/7275/11320552/da413a8a195b/qims-14-08-5571-f8.jpg
https://cdn.ncbi.nlm.nih.gov/pmc/blobs/7275/11320552/c037dea6bdc6/qims-14-08-5571-f9.jpg
https://cdn.ncbi.nlm.nih.gov/pmc/blobs/7275/11320552/1c0253015e35/qims-14-08-5571-f10.jpg
https://cdn.ncbi.nlm.nih.gov/pmc/blobs/7275/11320552/e5b02ccad6a4/qims-14-08-5571-f11.jpg
https://cdn.ncbi.nlm.nih.gov/pmc/blobs/7275/11320552/b4b949333b77/qims-14-08-5571-f1.jpg
https://cdn.ncbi.nlm.nih.gov/pmc/blobs/7275/11320552/033263d5caa8/qims-14-08-5571-f2.jpg
https://cdn.ncbi.nlm.nih.gov/pmc/blobs/7275/11320552/7c2f67ba8d1c/qims-14-08-5571-f3.jpg
https://cdn.ncbi.nlm.nih.gov/pmc/blobs/7275/11320552/8bf56b8b1389/qims-14-08-5571-f4.jpg
https://cdn.ncbi.nlm.nih.gov/pmc/blobs/7275/11320552/d2ee8bedfe18/qims-14-08-5571-f5.jpg
https://cdn.ncbi.nlm.nih.gov/pmc/blobs/7275/11320552/9c4528022f2b/qims-14-08-5571-f6.jpg
https://cdn.ncbi.nlm.nih.gov/pmc/blobs/7275/11320552/a2d02642a1c4/qims-14-08-5571-f7.jpg
https://cdn.ncbi.nlm.nih.gov/pmc/blobs/7275/11320552/da413a8a195b/qims-14-08-5571-f8.jpg
https://cdn.ncbi.nlm.nih.gov/pmc/blobs/7275/11320552/c037dea6bdc6/qims-14-08-5571-f9.jpg
https://cdn.ncbi.nlm.nih.gov/pmc/blobs/7275/11320552/1c0253015e35/qims-14-08-5571-f10.jpg
https://cdn.ncbi.nlm.nih.gov/pmc/blobs/7275/11320552/e5b02ccad6a4/qims-14-08-5571-f11.jpg

相似文献

1
Weakly supervised low-dose computed tomography denoising based on generative adversarial networks.基于生成对抗网络的弱监督低剂量计算机断层扫描去噪
Quant Imaging Med Surg. 2024 Aug 1;14(8):5571-5590. doi: 10.21037/qims-24-68. Epub 2024 Jul 26.
2
Learning low-dose CT degradation from unpaired data with flow-based model.基于流的模型从非配对数据中学习低剂量 CT 衰减
Med Phys. 2022 Dec;49(12):7516-7530. doi: 10.1002/mp.15886. Epub 2022 Aug 8.
3
A two-stage deep-learning framework for CT denoising based on a clinically structure-unaligned paired data set.一种基于临床结构未对齐配对数据集的用于CT去噪的两阶段深度学习框架。
Quant Imaging Med Surg. 2024 Jan 3;14(1):335-351. doi: 10.21037/qims-23-403. Epub 2024 Jan 2.
4
Probabilistic self-learning framework for low-dose CT denoising.用于低剂量 CT 去噪的概率自学习框架。
Med Phys. 2021 May;48(5):2258-2270. doi: 10.1002/mp.14796. Epub 2021 Mar 17.
5
Unsupervised low-dose CT denoising using bidirectional contrastive network.基于双向对比网络的无监督低剂量 CT 去噪。
Comput Methods Programs Biomed. 2024 Jun;251:108206. doi: 10.1016/j.cmpb.2024.108206. Epub 2024 May 3.
6
Unpaired Low-Dose CT Denoising Network Based on Cycle-Consistent Generative Adversarial Network with Prior Image Information.基于带先验图像信息的循环一致性生成对抗网络的非配对低剂量 CT 去噪网络。
Comput Math Methods Med. 2019 Dec 7;2019:8639825. doi: 10.1155/2019/8639825. eCollection 2019.
7
Unpaired low-dose computed tomography image denoising using a progressive cyclical convolutional neural network.使用渐进式循环卷积神经网络的非配对低剂量计算机断层扫描图像去噪
Med Phys. 2024 Feb;51(2):1289-1312. doi: 10.1002/mp.16331. Epub 2023 Mar 10.
8
Dual-scale similarity-guided cycle generative adversarial network for unsupervised low-dose CT denoising.双尺度相似性引导的循环生成对抗网络用于无监督的低剂量 CT 去噪。
Comput Biol Med. 2023 Jul;161:107029. doi: 10.1016/j.compbiomed.2023.107029. Epub 2023 May 13.
9
A selective kernel-based cycle-consistent generative adversarial network for unpaired low-dose CT denoising.一种用于无配对低剂量CT去噪的基于选择性内核的循环一致生成对抗网络。
Precis Clin Med. 2022 May 25;5(2):pbac011. doi: 10.1093/pcmedi/pbac011. eCollection 2022 Jun.
10
STEDNet: Swin transformer-based encoder-decoder network for noise reduction in low-dose CT.STEDNet:基于 Swin Transformer 的编解码网络,用于降低低剂量 CT 中的噪声。
Med Phys. 2023 Jul;50(7):4443-4458. doi: 10.1002/mp.16249. Epub 2023 Feb 9.

引用本文的文献

1
Wavelet-domain frequency-mixing transformer unfolding network for low-dose computed tomography image denoising.用于低剂量计算机断层扫描图像去噪的小波域频率混合变压器展开网络
Quant Imaging Med Surg. 2025 Aug 1;15(8):7419-7440. doi: 10.21037/qims-2024-2368. Epub 2025 Jul 30.
2
Trans pixelate substitution scheme for denoising computed tomography images towards high diagnosis accuracy.用于对计算机断层扫描图像进行去噪以提高诊断准确性的跨像素化替换方案。
Sci Rep. 2025 Apr 4;15(1):11525. doi: 10.1038/s41598-025-95866-2.

本文引用的文献

1
A Review of deep learning methods for denoising of medical low-dose CT images.深度学习方法在医学低剂量 CT 图像去噪中的研究进展。
Comput Biol Med. 2024 Mar;171:108112. doi: 10.1016/j.compbiomed.2024.108112. Epub 2024 Feb 15.
2
Dual-scale similarity-guided cycle generative adversarial network for unsupervised low-dose CT denoising.双尺度相似性引导的循环生成对抗网络用于无监督的低剂量 CT 去噪。
Comput Biol Med. 2023 Jul;161:107029. doi: 10.1016/j.compbiomed.2023.107029. Epub 2023 May 13.
3
NG-GAN: A Robust Noise-Generation Generative Adversarial Network for Generating Old-Image Noise.
NG-GAN:一种用于生成旧图像噪声的强大噪声生成生成对抗网络。
Sensors (Basel). 2022 Dec 26;23(1):251. doi: 10.3390/s23010251.
4
Low-dose CT denoising with a high-level feature refinement and dynamic convolution network.基于高级特征细化和动态卷积网络的低剂量 CT 去噪。
Med Phys. 2023 Jun;50(6):3597-3611. doi: 10.1002/mp.16175. Epub 2023 Jan 7.
5
A selective kernel-based cycle-consistent generative adversarial network for unpaired low-dose CT denoising.一种用于无配对低剂量CT去噪的基于选择性内核的循环一致生成对抗网络。
Precis Clin Med. 2022 May 25;5(2):pbac011. doi: 10.1093/pcmedi/pbac011. eCollection 2022 Jun.
6
Deep learning reconstruction allows low-dose imaging while maintaining image quality: comparison of deep learning reconstruction and hybrid iterative reconstruction in contrast-enhanced abdominal CT.深度学习重建可实现低剂量成像,同时保持图像质量:对比增强腹部CT中深度学习重建与混合迭代重建的比较
Quant Imaging Med Surg. 2022 May;12(5):2977-2984. doi: 10.21037/qims-21-1216.
7
Noise-Powered Disentangled Representation for Unsupervised Speckle Reduction of Optical Coherence Tomography Images.基于噪声的解缠表示在光学相干断层扫描图像无监督散斑降噪中的应用。
IEEE Trans Med Imaging. 2021 Oct;40(10):2600-2614. doi: 10.1109/TMI.2020.3045207. Epub 2021 Sep 30.
8
Low-dose CT image and projection dataset.低剂量 CT 图像和投影数据集。
Med Phys. 2021 Feb;48(2):902-911. doi: 10.1002/mp.14594. Epub 2020 Dec 16.
9
ADN: Artifact Disentanglement Network for Unsupervised Metal Artifact Reduction.ADN:用于无监督金属伪影减少的artifact 解缠网络。
IEEE Trans Med Imaging. 2020 Mar;39(3):634-643. doi: 10.1109/TMI.2019.2933425. Epub 2019 Aug 5.
10
A performance comparison of convolutional neural network-based image denoising methods: The effect of loss functions on low-dose CT images.基于卷积神经网络的图像去噪方法的性能比较:损失函数对低剂量 CT 图像的影响。
Med Phys. 2019 Sep;46(9):3906-3923. doi: 10.1002/mp.13713. Epub 2019 Aug 6.