• 文献检索
  • 文档翻译
  • 深度研究
  • 学术资讯
  • Suppr Zotero 插件Zotero 插件
  • 邀请有礼
  • 套餐&价格
  • 历史记录
应用&插件
Suppr Zotero 插件Zotero 插件浏览器插件Mac 客户端Windows 客户端微信小程序
定价
高级版会员购买积分包购买API积分包
服务
文献检索文档翻译深度研究API 文档MCP 服务
关于我们
关于 Suppr公司介绍联系我们用户协议隐私条款
关注我们

Suppr 超能文献

核心技术专利:CN118964589B侵权必究
粤ICP备2023148730 号-1Suppr @ 2026

文献检索

告别复杂PubMed语法,用中文像聊天一样搜索,搜遍4000万医学文献。AI智能推荐,让科研检索更轻松。

立即免费搜索

文件翻译

保留排版,准确专业,支持PDF/Word/PPT等文件格式,支持 12+语言互译。

免费翻译文档

深度研究

AI帮你快速写综述,25分钟生成高质量综述,智能提取关键信息,辅助科研写作。

立即免费体验

一种用于无配对低剂量CT去噪的基于选择性内核的循环一致生成对抗网络。

A selective kernel-based cycle-consistent generative adversarial network for unpaired low-dose CT denoising.

作者信息

Tan Chaoqun, Yang Mingming, You Zhisheng, Chen Hu, Zhang Yi

机构信息

National Key Laboratory of Fundamental Science on Synthetic Vision, Sichuan University, Chengdu 610065, China.

College of Computer Science, Sichuan University, Chengdu 610065, China.

出版信息

Precis Clin Med. 2022 May 25;5(2):pbac011. doi: 10.1093/pcmedi/pbac011. eCollection 2022 Jun.

DOI:10.1093/pcmedi/pbac011
PMID:35694718
原文链接:https://pmc.ncbi.nlm.nih.gov/articles/PMC9172657/
Abstract

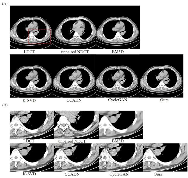
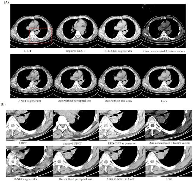
Low-dose computed tomography (LDCT) denoising is an indispensable procedure in the medical imaging field, which not only improves image quality, but can mitigate the potential hazard to patients caused by routine doses. Despite the improvement in performance of the cycle-consistent generative adversarial network (CycleGAN) due to the well-paired CT images shortage, there is still a need to further reduce image noise while retaining detailed features. Inspired by the residual encoder-decoder convolutional neural network (RED-CNN) and U-Net, we propose a novel unsupervised model using CycleGAN for LDCT imaging, which injects a two-sided network into selective kernel networks (SK-NET) to adaptively select features, and uses the patchGAN discriminator to generate CT images with more detail maintenance, aided by added perceptual loss. Based on patch-based training, the experimental results demonstrated that the proposed SKFCycleGAN outperforms competing methods in both a clinical dataset and the Mayo dataset. The main advantages of our method lie in noise suppression and edge preservation.

摘要

低剂量计算机断层扫描(LDCT)去噪是医学成像领域不可或缺的一项操作,它不仅能提高图像质量,还能减轻常规剂量对患者造成的潜在危害。尽管由于配对良好的CT图像短缺,循环一致生成对抗网络(CycleGAN)的性能有所提升,但仍需要在保留细节特征的同时进一步降低图像噪声。受残差编码器-解码器卷积神经网络(RED-CNN)和U-Net的启发,我们提出了一种用于LDCT成像的新型无监督模型,该模型使用CycleGAN,将双边网络注入选择性内核网络(SK-NET)以自适应选择特征,并使用PatchGAN鉴别器生成具有更多细节保留的CT图像,同时添加感知损失作为辅助。基于基于补丁的训练,实验结果表明,所提出的SKFCycleGAN在临床数据集和梅奥数据集中均优于竞争方法。我们方法的主要优点在于噪声抑制和边缘保留。

https://cdn.ncbi.nlm.nih.gov/pmc/blobs/ff56/9172657/9c9c214f120d/pbac011fig7.jpg
https://cdn.ncbi.nlm.nih.gov/pmc/blobs/ff56/9172657/b63527c8fca8/pbac011fig1.jpg
https://cdn.ncbi.nlm.nih.gov/pmc/blobs/ff56/9172657/871be61e4278/pbac011fig2.jpg
https://cdn.ncbi.nlm.nih.gov/pmc/blobs/ff56/9172657/69d95511e6b5/pbac011fig3.jpg
https://cdn.ncbi.nlm.nih.gov/pmc/blobs/ff56/9172657/bf7bd2470b83/pbac011fig4.jpg
https://cdn.ncbi.nlm.nih.gov/pmc/blobs/ff56/9172657/b954f6b06929/pbac011fig5.jpg
https://cdn.ncbi.nlm.nih.gov/pmc/blobs/ff56/9172657/d4c7d6aff115/pbac011fig6.jpg
https://cdn.ncbi.nlm.nih.gov/pmc/blobs/ff56/9172657/9c9c214f120d/pbac011fig7.jpg
https://cdn.ncbi.nlm.nih.gov/pmc/blobs/ff56/9172657/b63527c8fca8/pbac011fig1.jpg
https://cdn.ncbi.nlm.nih.gov/pmc/blobs/ff56/9172657/871be61e4278/pbac011fig2.jpg
https://cdn.ncbi.nlm.nih.gov/pmc/blobs/ff56/9172657/69d95511e6b5/pbac011fig3.jpg
https://cdn.ncbi.nlm.nih.gov/pmc/blobs/ff56/9172657/bf7bd2470b83/pbac011fig4.jpg
https://cdn.ncbi.nlm.nih.gov/pmc/blobs/ff56/9172657/b954f6b06929/pbac011fig5.jpg
https://cdn.ncbi.nlm.nih.gov/pmc/blobs/ff56/9172657/d4c7d6aff115/pbac011fig6.jpg
https://cdn.ncbi.nlm.nih.gov/pmc/blobs/ff56/9172657/9c9c214f120d/pbac011fig7.jpg

相似文献

1
A selective kernel-based cycle-consistent generative adversarial network for unpaired low-dose CT denoising.一种用于无配对低剂量CT去噪的基于选择性内核的循环一致生成对抗网络。
Precis Clin Med. 2022 May 25;5(2):pbac011. doi: 10.1093/pcmedi/pbac011. eCollection 2022 Jun.
2
Weakly supervised low-dose computed tomography denoising based on generative adversarial networks.基于生成对抗网络的弱监督低剂量计算机断层扫描去噪
Quant Imaging Med Surg. 2024 Aug 1;14(8):5571-5590. doi: 10.21037/qims-24-68. Epub 2024 Jul 26.
3
Learning low-dose CT degradation from unpaired data with flow-based model.基于流的模型从非配对数据中学习低剂量 CT 衰减
Med Phys. 2022 Dec;49(12):7516-7530. doi: 10.1002/mp.15886. Epub 2022 Aug 8.
4
Unpaired Low-Dose CT Denoising Network Based on Cycle-Consistent Generative Adversarial Network with Prior Image Information.基于带先验图像信息的循环一致性生成对抗网络的非配对低剂量 CT 去噪网络。
Comput Math Methods Med. 2019 Dec 7;2019:8639825. doi: 10.1155/2019/8639825. eCollection 2019.
5
Incorporation of residual attention modules into two neural networks for low-dose CT denoising.将残差注意模块整合到两个神经网络中用于低剂量 CT 去噪。
Med Phys. 2021 Jun;48(6):2973-2990. doi: 10.1002/mp.14856. Epub 2021 Apr 23.
6
An unsupervised two-step training framework for low-dose computed tomography denoising.一种用于低剂量计算机断层扫描去噪的无监督两步训练框架。
Med Phys. 2024 Feb;51(2):1127-1144. doi: 10.1002/mp.16628. Epub 2023 Jul 14.
7
Dual-scale similarity-guided cycle generative adversarial network for unsupervised low-dose CT denoising.双尺度相似性引导的循环生成对抗网络用于无监督的低剂量 CT 去噪。
Comput Biol Med. 2023 Jul;161:107029. doi: 10.1016/j.compbiomed.2023.107029. Epub 2023 May 13.
8
Probabilistic self-learning framework for low-dose CT denoising.用于低剂量 CT 去噪的概率自学习框架。
Med Phys. 2021 May;48(5):2258-2270. doi: 10.1002/mp.14796. Epub 2021 Mar 17.
9
Structure-preserving low-dose computed tomography image denoising using a deep residual adaptive global context attention network.使用深度残差自适应全局上下文注意力网络的结构保留低剂量计算机断层扫描图像去噪
Quant Imaging Med Surg. 2023 Oct 1;13(10):6528-6545. doi: 10.21037/qims-23-194. Epub 2023 Sep 14.
10
Multi-scale feature aggregation and fusion network with self-supervised multi-level perceptual loss for textures preserving low-dose CT denoising.具有自监督多层次感知损失的多尺度特征聚合和融合网络,用于纹理保留的低剂量 CT 去噪。
Phys Med Biol. 2024 Apr 26;69(10). doi: 10.1088/1361-6560/ad3c91.

引用本文的文献

1
Distinctive circulating microbial metagenomic signatures in the plasma of patients with lung cancer and their potential value as molecular biomarkers.肺癌患者血浆中独特的循环微生物宏基因组特征及其作为分子生物标志物的潜在价值。
J Transl Med. 2025 Feb 14;23(1):186. doi: 10.1186/s12967-025-06209-8.
2
A systematic review of deep learning-based denoising for low-dose computed tomography from a perceptual quality perspective.从感知质量角度对基于深度学习的低剂量计算机断层扫描去噪进行的系统综述。
Biomed Eng Lett. 2024 Aug 30;14(6):1153-1173. doi: 10.1007/s13534-024-00419-7. eCollection 2024 Nov.
3
Weakly supervised low-dose computed tomography denoising based on generative adversarial networks.

本文引用的文献

1
Investigation of Low-Dose CT Image Denoising Using Unpaired Deep Learning Methods.使用非配对深度学习方法的低剂量CT图像去噪研究
IEEE Trans Radiat Plasma Med Sci. 2021 Mar;5(2):224-234. doi: 10.1109/trpms.2020.3007583. Epub 2020 Jul 7.
2
Deep learning approaches for COVID-19 detection based on chest X-ray images.基于胸部X光图像的新冠肺炎检测深度学习方法
Expert Syst Appl. 2021 Feb;164:114054. doi: 10.1016/j.eswa.2020.114054. Epub 2020 Sep 28.
3
Quadratic Autoencoder (Q-AE) for Low-Dose CT Denoising.用于低剂量 CT 去噪的二次自动编码器(Q-AE)
基于生成对抗网络的弱监督低剂量计算机断层扫描去噪
Quant Imaging Med Surg. 2024 Aug 1;14(8):5571-5590. doi: 10.21037/qims-24-68. Epub 2024 Jul 26.
4
An efficient lightweight network for image denoising using progressive residual and convolutional attention feature fusion.一种基于渐进式残差和卷积注意力特征融合的高效轻量级图像去噪网络。
Sci Rep. 2024 Apr 25;14(1):9554. doi: 10.1038/s41598-024-60139-x.
5
CT image denoising methods for image quality improvement and radiation dose reduction.CT 图像降噪方法可提高图像质量,降低辐射剂量。
J Appl Clin Med Phys. 2024 Feb;25(2):e14270. doi: 10.1002/acm2.14270. Epub 2024 Jan 19.
IEEE Trans Med Imaging. 2020 Jun;39(6):2035-2050. doi: 10.1109/TMI.2019.2963248. Epub 2019 Dec 31.
4
Unpaired Low-Dose CT Denoising Network Based on Cycle-Consistent Generative Adversarial Network with Prior Image Information.基于带先验图像信息的循环一致性生成对抗网络的非配对低剂量 CT 去噪网络。
Comput Math Methods Med. 2019 Dec 7;2019:8639825. doi: 10.1155/2019/8639825. eCollection 2019.
5
CT Super-Resolution GAN Constrained by the Identical, Residual, and Cycle Learning Ensemble (GAN-CIRCLE).基于相同、残差和循环学习集成(GAN-CIRCLE)约束的 CT 超分辨率 GAN。
IEEE Trans Med Imaging. 2020 Jan;39(1):188-203. doi: 10.1109/TMI.2019.2922960. Epub 2019 Jun 14.
6
Cycle-consistent adversarial denoising network for multiphase coronary CT angiography.用于多期冠状动脉 CT 血管造影的循环一致对抗去噪网络。
Med Phys. 2019 Feb;46(2):550-562. doi: 10.1002/mp.13284. Epub 2018 Dec 26.
7
Low-Dose CT Image Denoising Using a Generative Adversarial Network With Wasserstein Distance and Perceptual Loss.基于 Wasserstein 距离和感知损失的生成对抗网络的低剂量 CT 图像去噪
IEEE Trans Med Imaging. 2018 Jun;37(6):1348-1357. doi: 10.1109/TMI.2018.2827462.
8
Sharpness-Aware Low-Dose CT Denoising Using Conditional Generative Adversarial Network.基于条件生成对抗网络的锐度感知低剂量 CT 去噪
J Digit Imaging. 2018 Oct;31(5):655-669. doi: 10.1007/s10278-018-0056-0.
9
A deep convolutional neural network using directional wavelets for low-dose X-ray CT reconstruction.一种基于方向小波的深度卷积神经网络在低剂量 X 射线 CT 重建中的应用。
Med Phys. 2017 Oct;44(10):e360-e375. doi: 10.1002/mp.12344.
10
Low-Dose CT With a Residual Encoder-Decoder Convolutional Neural Network.采用残差编解码器卷积神经网络的低剂量CT
IEEE Trans Med Imaging. 2017 Dec;36(12):2524-2535. doi: 10.1109/TMI.2017.2715284. Epub 2017 Jun 13.