• 文献检索
  • 文档翻译
  • 深度研究
  • 学术资讯
  • Suppr Zotero 插件Zotero 插件
  • 邀请有礼
  • 套餐&价格
  • 历史记录
应用&插件
Suppr Zotero 插件Zotero 插件浏览器插件Mac 客户端Windows 客户端微信小程序
定价
高级版会员购买积分包购买API积分包
服务
文献检索文档翻译深度研究API 文档MCP 服务
关于我们
关于 Suppr公司介绍联系我们用户协议隐私条款
关注我们

Suppr 超能文献

核心技术专利:CN118964589B侵权必究
粤ICP备2023148730 号-1Suppr @ 2026

文献检索

告别复杂PubMed语法,用中文像聊天一样搜索,搜遍4000万医学文献。AI智能推荐,让科研检索更轻松。

立即免费搜索

文件翻译

保留排版,准确专业,支持PDF/Word/PPT等文件格式,支持 12+语言互译。

免费翻译文档

深度研究

AI帮你快速写综述,25分钟生成高质量综述,智能提取关键信息,辅助科研写作。

立即免费体验

表皮生长因子间充质干细胞与磺胺嘧啶银对烧伤淤滞区影响的比较

Comparison of the effects of epidermal growth factor mesenchymal stem cell and silver sulfadiazine on burn stasis zone.

作者信息

Kürklü Ömer, Soylu Sinan

机构信息

Department of General Surgery, Sivas Cumhuriyet University Faculty of Medicine, Sivas, Türkiye.

出版信息

Turk J Surg. 2025 May 30;41(2):135-140. doi: 10.47717/turkjsurg.2025.6684. Epub 2025 Mar 19.

DOI:10.47717/turkjsurg.2025.6684
PMID:40103331
原文链接:https://pmc.ncbi.nlm.nih.gov/articles/PMC12124341/
Abstract

OBJECTIVE

This study investigates the effects of adipose tissue-derived mesenchymal stem cell (MSC), human recombinant epidermal growth factor (EGF) and silver sulfadiazine (SSD) on wound healing in the burn stasis zone by applying the comb burn model in rats.

MATERIAL AND METHODS

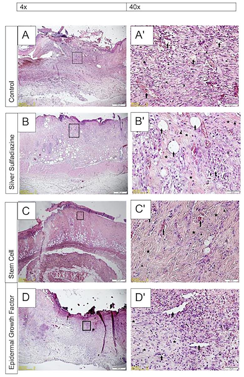
A comb burn model was used for the burns and 32 Wistar albino female rats were randomly divided into four groups (control, SSD, SSD+MSC, SSD+EGF). On the 1 day and the 21 day, the total burn area on the 1 day and the healed, healing, and non-healing burn area on the 21 day were calculated with the Image-J program. At the end of the 21 day, the pathology samples taken after euthanasia were scored semiquantitatively in terms of epithelization, inflammatory cell density, fibroblast density, collagen amount, and angiogenesis after hematoxylin-eosin staining.

RESULTS

Histopathological analysis demonstrated that epithelialization scores were highest in the MSC (3.88±0.35, p<0.001) and EGF (3.63±0.52) groups, while the control group had the lowest values (1.50±0.53). Inflammatory cell density was significantly lower in the MSC (1.50±0.53, p<0.001) and EGF (1.88±0.64) groups than in the control group (3.75±0.46). Similarly, fibroblast density was lowest in the MSC (1.38±0.52, p<0.001) and EGF (1.75±0.71) groups, while the control group had the highest values (3.63±0.52). Collagen fibril density was significantly increased in the MSC (3.88±0.35, p<0.001) and EGF (3.50±0.53) groups compared to the control (1.63±0.74). Angiogenesis was highest in the EGF group (3.75±0.46, p<0.001), followed by the MSC group (3.00±0.53), while the control group had the lowest values (1.25±0.46). These results suggest that MSC and EGF play a significant role in wound healing, with MSC demonstrating superior epithelialization and EGF exhibiting the greatest angiogenic effect. Photo-analytical measurements showed that on day 1, burn area sizes were similar among all groups (p>0.05). By day 21, the healing burn area was significantly smaller in the MSC (3.19±0.98 cm², p<0.001) and EGF (4.33±0.48 cm²) groups compared to the control (8.43±2.35 cm²). The non-healing area was smallest in the EGF group (0.67±0.49 cm²), followed by the MSC (1.06±0.49 cm², p<0.001) and SSD (1.91±0.75 cm²) groups, whereas the control group had the largest non-healing area (7.29±2.20 cm²). These findings suggest that MSC was the most effective treatment for promoting wound healing, followed by EGF and SSD.

CONCLUSION

We determined that both histologically and photo analytically, MSC and EGF provided faster wound healing in the burn stasis zone EGF gave better results than all groups in preventing necrosis.

摘要

目的

本研究通过在大鼠中应用梳状烧伤模型,研究脂肪组织来源的间充质干细胞(MSC)、人重组表皮生长因子(EGF)和磺胺嘧啶银(SSD)对烧伤淤滞区伤口愈合的影响。

材料与方法

采用梳状烧伤模型进行烧伤,将32只雌性Wistar白化大鼠随机分为四组(对照组、SSD组、SSD + MSC组、SSD + EGF组)。在第1天和第21天,使用Image-J程序计算第1天的总烧伤面积以及第21天的愈合、正在愈合和未愈合的烧伤面积。在第21天结束时,对安乐死后采集的病理样本进行苏木精-伊红染色,然后根据上皮化、炎症细胞密度、成纤维细胞密度、胶原含量和血管生成进行半定量评分。

结果

组织病理学分析表明,MSC组(3.88±0.35,p<0.001)和EGF组(3.63±0.52)的上皮化评分最高,而对照组的值最低(1.50±0.53)。MSC组(1.50±0.53,p<0.001)和EGF组(1.88±0.64)的炎症细胞密度明显低于对照组(3.75±0.46)。同样,MSC组(1.38±0.52,p<0.001)和EGF组(1.75±0.71)的成纤维细胞密度最低,而对照组的值最高(3.63±0.52)。与对照组(1.63±0.74)相比,MSC组(3.88±0.35,p<0.001)和EGF组(3.50±0.53)的胶原纤维密度显著增加。EGF组的血管生成最高(3.75±0.46,p<0.001),其次是MSC组(3.00±0.53),而对照组的值最低(1.25±0.46)。这些结果表明,MSC和EGF在伤口愈合中起重要作用;MSC表现出卓越的上皮化能力,而EGF表现出最大的血管生成作用。光分析测量显示第1天所有组的烧伤面积大小相似(p>0.05)。到第21天,与对照组(8.43±2.35 cm²)相比,MSC组(3.19±0.98 cm²,p<0.001)和EGF组(4.33±0.48 cm²)的正在愈合的烧伤面积明显较小。EGF组的未愈合面积最小(0.67±0.49 cm²),其次是MSC组(1.06±0.49 cm²,p<0.001)和SSD组(1.91±0.75 cm²),而对照组的未愈合面积最大(7.29±2.20 cm²)。这些发现表明,MSC是促进伤口愈合最有效的治疗方法,其次是EGF和SSD。

结论

我们通过组织学和光分析确定,MSC和EGF均可使烧伤淤滞区的伤口愈合更快;在预防坏死方面,EGF比所有组的效果都更好。

https://cdn.ncbi.nlm.nih.gov/pmc/blobs/fe93/12124341/d56aca4b19ec/TurkJSurg-41-2-135-figure-3.jpg
https://cdn.ncbi.nlm.nih.gov/pmc/blobs/fe93/12124341/840aa9ad8d85/TurkJSurg-41-2-135-figure-1.jpg
https://cdn.ncbi.nlm.nih.gov/pmc/blobs/fe93/12124341/3b125c006d72/TurkJSurg-41-2-135-figure-2.jpg
https://cdn.ncbi.nlm.nih.gov/pmc/blobs/fe93/12124341/d56aca4b19ec/TurkJSurg-41-2-135-figure-3.jpg
https://cdn.ncbi.nlm.nih.gov/pmc/blobs/fe93/12124341/840aa9ad8d85/TurkJSurg-41-2-135-figure-1.jpg
https://cdn.ncbi.nlm.nih.gov/pmc/blobs/fe93/12124341/3b125c006d72/TurkJSurg-41-2-135-figure-2.jpg
https://cdn.ncbi.nlm.nih.gov/pmc/blobs/fe93/12124341/d56aca4b19ec/TurkJSurg-41-2-135-figure-3.jpg

相似文献

1
Comparison of the effects of epidermal growth factor mesenchymal stem cell and silver sulfadiazine on burn stasis zone.表皮生长因子间充质干细胞与磺胺嘧啶银对烧伤淤滞区影响的比较
Turk J Surg. 2025 May 30;41(2):135-140. doi: 10.47717/turkjsurg.2025.6684. Epub 2025 Mar 19.
2
[Effects of hypoxia-pretreated rat adipose-derived mesenchymal stem cells conditioned medium on wound healing of rats with full-thickness defects].[缺氧预处理的大鼠脂肪间充质干细胞条件培养基对全层缺损大鼠伤口愈合的影响]
Zhonghua Shao Shang Za Zhi. 2020 Sep 20;36(9):803-812. doi: 10.3760/cma.j.cn501120-20200508-00258.
3
Prevention of Burn Wound Progression by Mesenchymal Stem Cell Transplantation: Deeper Insights Into Underlying Mechanisms.间充质干细胞移植预防烧伤创面进展:对潜在机制的深入洞察
Ann Plast Surg. 2018 Dec;81(6):715-724. doi: 10.1097/SAP.0000000000001620.
4
[Effects and mechanism of rat epidermal stem cells treated with exogenous vascular endothelial growth factor on healing of deep partial-thickness burn wounds in rats].外源性血管内皮生长因子处理的大鼠表皮干细胞对大鼠深Ⅱ度烧伤创面愈合的影响及机制
Zhonghua Shao Shang Za Zhi. 2020 Mar 20;36(3):195-203. doi: 10.3760/cma.j.cn501120-20191125-00441.
5
Salvaging the Zone of Stasis in Burns by Pentoxifylline: An Experimental Study in Rats.己酮可可碱对烧伤停滞区的挽救作用:大鼠实验研究
J Burn Care Res. 2019 Feb 20;40(2):211-219. doi: 10.1093/jbcr/irz005.
6
Delivery of silver sulfadiazine and adipose derived stem cells using fibrin hydrogel improves infected burn wound regeneration.使用纤维蛋白水凝胶递送磺胺嘧啶银和脂肪来源干细胞可改善感染性烧伤创面的再生。
PLoS One. 2019 Jun 13;14(6):e0217965. doi: 10.1371/journal.pone.0217965. eCollection 2019.
7
Non-analgesic effects of opioids: Topical application of Eucerin-based ointment containing opium on the healing process of thermal skin damage in rats.阿片类药物的非镇痛作用:含鸦片的 Eucerin 软膏局部应用对大鼠热皮肤损伤愈合过程的影响。
PLoS One. 2024 Nov 22;19(11):e0313659. doi: 10.1371/journal.pone.0313659. eCollection 2024.
8
Augmented silver sulfadiazine nanostructured lipid carriers impregnated collagen sponge for promoting burn wound healing.载银磺胺嘧啶纳米结构脂质载体浸渍胶原海绵促进烧伤创面愈合
Int J Biol Macromol. 2025 Apr;298:140371. doi: 10.1016/j.ijbiomac.2025.140371. Epub 2025 Jan 27.
9
The effect of mesenchymal stem cell-conditioned medium gel on burn wound healing in rat.间充质干细胞条件培养基凝胶对大鼠烧伤创面愈合的影响。
Vet World. 2022 Apr;15(4):841-847. doi: 10.14202/vetworld.2022.841-847. Epub 2022 Apr 7.
10
Baicalin, silver titanate, Bletilla striata polysaccharide and carboxymethyl chitosan in a porous sponge dressing for burn wound healing.黄芩苷、钛酸银、白及多糖和羧甲基壳聚糖多孔海绵敷料用于烧伤创面愈合。
J Integr Med. 2023 Sep;21(5):487-495. doi: 10.1016/j.joim.2023.07.002. Epub 2023 Jul 25.

本文引用的文献

1
Adipose-derived stem cells applied in skin diseases, wound healing and skin defects: a review.脂肪来源干细胞在皮肤疾病、伤口愈合及皮肤缺损中的应用:综述
Cytotherapy. 2023 Feb;25(2):105-119. doi: 10.1016/j.jcyt.2022.08.005. Epub 2022 Sep 15.
2
Mesenchymal stem cell-based therapy for burn wound healing.基于间充质干细胞的烧伤创面愈合治疗
Burns Trauma. 2021 May 1;9:tkab002. doi: 10.1093/burnst/tkab002. eCollection 2021.
3
Efficacy assessment of mesenchymal stem cell transplantation for burn wounds in animals: a systematic review.
间充质干细胞移植治疗动物烧伤创面的疗效评估:系统评价。
Stem Cell Res Ther. 2020 Aug 28;11(1):372. doi: 10.1186/s13287-020-01879-1.
4
The ARRIVE guidelines 2.0: Updated guidelines for reporting animal research.ARRIVE 指南 2.0:报告动物研究的更新指南。
PLoS Biol. 2020 Jul 14;18(7):e3000410. doi: 10.1371/journal.pbio.3000410. eCollection 2020 Jul.
5
Mesenchymal Stromal Cell Preconditioning: The Next Step Toward a Customized Treatment For Severe Burn.间充质基质细胞预处理:为严重烧伤实现定制化治疗的下一步。
Stem Cells Dev. 2018 Oct 15;27(20):1385-1405. doi: 10.1089/scd.2018.0094. Epub 2018 Jul 23.
6
Autologous and not allogeneic adipose-derived stem cells improve acute burn wound healing.自体脂肪来源干细胞而非同种异体脂肪来源干细胞可改善急性烧伤创面愈合。
PLoS One. 2018 May 22;13(5):e0197744. doi: 10.1371/journal.pone.0197744. eCollection 2018.
7
Comparative Analysis of Mesenchymal Stem Cells from Bone Marrow, Adipose Tissue, and Dental Pulp as Sources of Cell Therapy for Zone of Stasis Burns.作为淤滞性烧伤细胞治疗来源的骨髓、脂肪组织和牙髓间充质干细胞的比较分析
J Invest Surg. 2019 Sep;32(6):477-490. doi: 10.1080/08941939.2018.1433254. Epub 2018 Feb 14.
8
Lactadherin: An unappreciated haemostasis regulator and potential therapeutic agent.乳铁蛋白:一种未被充分认识的止血调节因子和潜在的治疗药物。
Vascul Pharmacol. 2018 Feb;101:21-28. doi: 10.1016/j.vph.2017.11.006. Epub 2017 Nov 21.
9
Burn wound healing: present concepts, treatment strategies and future directions.烧伤创面愈合:当前概念、治疗策略及未来方向。
J Wound Care. 2017 Jan 2;26(1):5-19. doi: 10.12968/jowc.2017.26.1.5.
10
Inflammation in Chronic Wounds.慢性伤口中的炎症
Int J Mol Sci. 2016 Dec 11;17(12):2085. doi: 10.3390/ijms17122085.