Suppr超能文献

抗有丝分裂药物在体外对微管装配的影响与去甲肾上腺素能神经元轴突运输抑制之间的相关性。

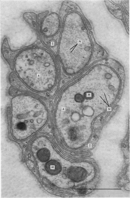
A correlation between the effects of anti-mitotic drugs on microtubule assembly in vitro and the inhibition of axonal transport in noradrenergic neurones.

作者信息

Banks P, Till R

出版信息

J Physiol. 1975 Oct;252(1):283-94. doi: 10.1113/jphysiol.1975.sp011144.

Abstract
  1. Podophyllotoxin, colchicine and griseofulvin inhibit the intra-axonal movement of noradrenaline storage vesicles in cat hypogastric nerve/inferior mesenteric ganglion preparations maintained in vitro, cause the disappearance of axonal microtubules and inhibit the assembly of microtubules from tubulin in vitro. The order of potency of the three effects is podophyllotoxin greater than colchicine greater than griseofulvin. 2. Lumicolchicine is without effect on the three parameters and does not interfere with the binding of tritiated colchicine to tubulin. 3. Podophyllotoxin causes a more rapid loss of microtubules from axons than the same concentration of colchicine. 4. The experiments provide strong evidence that microtubules are components of the system responsible for the intra-axonal migration of noradrenaline storage vesicles.
摘要
  1. 鬼臼毒素、秋水仙碱和灰黄霉素可抑制体外培养的猫腹下神经/肠系膜下神经节标本中去甲肾上腺素储存囊泡的轴突内移动,导致轴突微管消失,并在体外抑制微管蛋白组装成微管。这三种作用的效力顺序为:鬼臼毒素>秋水仙碱>灰黄霉素。2. 光秋水仙碱对这三个参数无影响,且不干扰氚标记秋水仙碱与微管蛋白的结合。3. 与相同浓度的秋水仙碱相比,鬼臼毒素使轴突微管丧失的速度更快。4. 这些实验提供了有力证据,表明微管是负责去甲肾上腺素储存囊泡轴突内迁移的系统的组成部分。
https://cdn.ncbi.nlm.nih.gov/pmc/blobs/13c7/1348478/0d950bcc2f43/jphysiol00878-0311-a.jpg

文献检索

告别复杂PubMed语法,用中文像聊天一样搜索,搜遍4000万医学文献。AI智能推荐,让科研检索更轻松。

立即免费搜索

文件翻译

保留排版,准确专业,支持PDF/Word/PPT等文件格式,支持 12+语言互译。

免费翻译文档

深度研究

AI帮你快速写综述,25分钟生成高质量综述,智能提取关键信息,辅助科研写作。

立即免费体验