• 文献检索
  • 文档翻译
  • 深度研究
  • 学术资讯
  • Suppr Zotero 插件Zotero 插件
  • 邀请有礼
  • 套餐&价格
  • 历史记录
应用&插件
Suppr Zotero 插件Zotero 插件浏览器插件Mac 客户端Windows 客户端微信小程序
定价
高级版会员购买积分包购买API积分包
服务
文献检索文档翻译深度研究API 文档MCP 服务
关于我们
关于 Suppr公司介绍联系我们用户协议隐私条款
关注我们

Suppr 超能文献

核心技术专利:CN118964589B侵权必究
粤ICP备2023148730 号-1Suppr @ 2026

文献检索

告别复杂PubMed语法,用中文像聊天一样搜索,搜遍4000万医学文献。AI智能推荐,让科研检索更轻松。

立即免费搜索

文件翻译

保留排版,准确专业,支持PDF/Word/PPT等文件格式,支持 12+语言互译。

免费翻译文档

深度研究

AI帮你快速写综述,25分钟生成高质量综述,智能提取关键信息,辅助科研写作。

立即免费体验

病毒与葡萄膜黑色素瘤的关联。

The association of viruses with urveal melanoma.

作者信息

Albert D M

出版信息

Trans Am Ophthalmol Soc. 1979;77:367-421.

PMID:545833
原文链接:https://pmc.ncbi.nlm.nih.gov/articles/PMC1311713/
Abstract

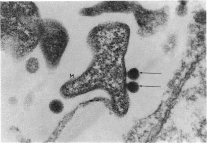
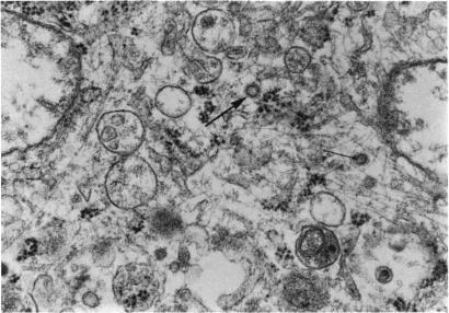
Electron microscopic examination of 57 ocular melanomas (54 human, two feline and one canine) revealed the presence of viral particles in six specimens. Herpesviruses particles were observed in one human specimen and were passed in human fibroblasts (WI-38), where they gave rise to intranuclear inclusions. A-type oncornavirus particles (oncogenic RNA virus) were observed in a second case, both in cells of tumor directly removed from an enucleated eye as well as in cells grown in tissue culture. In three human specimens and one feline specimen, togavirus particles were observed. Rubella is a member of this group, and the possibility that the presence of togavirus in these tumors is the result of latent ocular infection by rubella virus is raised. Herpes virus and RNA tumor viruses are widely considered as having a possible etiologic role for certain human cancers. The observation of togavirus is unexpected, as this virus has not been previously implicated in human or animal tumors. Injection of an RNA tumor virus (Gardner strain feline sarcoma virus) into the anterior chamber of newborn kittens resulted in the development of iris and ciliary body melanomas, many of which showed invasion and, in one instance, metastasis. This is the first animal model of a viral-induced uveal melanoma, and the histology and ultrastructure are described. These results emphasize the need for the continued investigation of the role of these viruses in uveal melanoma.

摘要

对57例眼黑色素瘤(54例人类、2例猫和1例犬)进行电子显微镜检查,发现6个标本中存在病毒颗粒。在1例人类标本中观察到疱疹病毒颗粒,并将其接种于人类成纤维细胞(WI-38),这些细胞中出现了核内包涵体。在第2例中观察到A型肿瘤病毒颗粒(致癌RNA病毒),在直接从摘除眼球中取出的肿瘤细胞以及组织培养中生长的细胞中均有发现。在3例人类标本和1例猫标本中观察到披膜病毒颗粒。风疹是该病毒组的成员之一,因此提出这些肿瘤中披膜病毒的存在可能是风疹病毒潜伏性眼部感染的结果。疱疹病毒和RNA肿瘤病毒被广泛认为可能在某些人类癌症中具有病因学作用。披膜病毒的观察结果出乎意料,因为该病毒此前未被认为与人类或动物肿瘤有关。将一种RNA肿瘤病毒(加德纳株猫肉瘤病毒)注入新生小猫的前房,导致虹膜和睫状体黑色素瘤的发生,其中许多肿瘤显示有浸润,在1例中还出现了转移。这是病毒诱导的葡萄膜黑色素瘤的首个动物模型,并对其组织学和超微结构进行了描述。这些结果强调了继续研究这些病毒在葡萄膜黑色素瘤中作用的必要性。

https://cdn.ncbi.nlm.nih.gov/pmc/blobs/4c39/1311713/1dcd32a48bf4/taos00022-0412-a.jpg
https://cdn.ncbi.nlm.nih.gov/pmc/blobs/4c39/1311713/eb456bf0aa8e/taos00022-0392-a.jpg
https://cdn.ncbi.nlm.nih.gov/pmc/blobs/4c39/1311713/b16a0ae6658f/taos00022-0392-b.jpg
https://cdn.ncbi.nlm.nih.gov/pmc/blobs/4c39/1311713/fd279453f9ac/taos00022-0393-a.jpg
https://cdn.ncbi.nlm.nih.gov/pmc/blobs/4c39/1311713/1b01b2ef62fc/taos00022-0394-a.jpg
https://cdn.ncbi.nlm.nih.gov/pmc/blobs/4c39/1311713/b0477619606e/taos00022-0394-b.jpg
https://cdn.ncbi.nlm.nih.gov/pmc/blobs/4c39/1311713/ba1eefeb2990/taos00022-0395-a.jpg
https://cdn.ncbi.nlm.nih.gov/pmc/blobs/4c39/1311713/60ddb71ffe07/taos00022-0396-a.jpg
https://cdn.ncbi.nlm.nih.gov/pmc/blobs/4c39/1311713/24159633e229/taos00022-0397-a.jpg
https://cdn.ncbi.nlm.nih.gov/pmc/blobs/4c39/1311713/5c8c8e3385d6/taos00022-0398-a.jpg
https://cdn.ncbi.nlm.nih.gov/pmc/blobs/4c39/1311713/d762aa087ac7/taos00022-0399-a.jpg
https://cdn.ncbi.nlm.nih.gov/pmc/blobs/4c39/1311713/408fac35992b/taos00022-0400-a.jpg
https://cdn.ncbi.nlm.nih.gov/pmc/blobs/4c39/1311713/62862ac09e38/taos00022-0401-a.jpg
https://cdn.ncbi.nlm.nih.gov/pmc/blobs/4c39/1311713/d538684b7f9a/taos00022-0402-a.jpg
https://cdn.ncbi.nlm.nih.gov/pmc/blobs/4c39/1311713/1d8b8eb9bd80/taos00022-0403-a.jpg
https://cdn.ncbi.nlm.nih.gov/pmc/blobs/4c39/1311713/7d28eb0898e4/taos00022-0404-a.jpg
https://cdn.ncbi.nlm.nih.gov/pmc/blobs/4c39/1311713/ed449083fc65/taos00022-0405-a.jpg
https://cdn.ncbi.nlm.nih.gov/pmc/blobs/4c39/1311713/3654693e11be/taos00022-0406-a.jpg
https://cdn.ncbi.nlm.nih.gov/pmc/blobs/4c39/1311713/609a0692ee28/taos00022-0407-a.jpg
https://cdn.ncbi.nlm.nih.gov/pmc/blobs/4c39/1311713/b82d900ff5d6/taos00022-0408-a.jpg
https://cdn.ncbi.nlm.nih.gov/pmc/blobs/4c39/1311713/10e228ce4fe4/taos00022-0409-a.jpg
https://cdn.ncbi.nlm.nih.gov/pmc/blobs/4c39/1311713/8d12fbdbe43a/taos00022-0410-a.jpg
https://cdn.ncbi.nlm.nih.gov/pmc/blobs/4c39/1311713/a45e86f7671b/taos00022-0411-a.jpg
https://cdn.ncbi.nlm.nih.gov/pmc/blobs/4c39/1311713/1dcd32a48bf4/taos00022-0412-a.jpg
https://cdn.ncbi.nlm.nih.gov/pmc/blobs/4c39/1311713/eb456bf0aa8e/taos00022-0392-a.jpg
https://cdn.ncbi.nlm.nih.gov/pmc/blobs/4c39/1311713/b16a0ae6658f/taos00022-0392-b.jpg
https://cdn.ncbi.nlm.nih.gov/pmc/blobs/4c39/1311713/fd279453f9ac/taos00022-0393-a.jpg
https://cdn.ncbi.nlm.nih.gov/pmc/blobs/4c39/1311713/1b01b2ef62fc/taos00022-0394-a.jpg
https://cdn.ncbi.nlm.nih.gov/pmc/blobs/4c39/1311713/b0477619606e/taos00022-0394-b.jpg
https://cdn.ncbi.nlm.nih.gov/pmc/blobs/4c39/1311713/ba1eefeb2990/taos00022-0395-a.jpg
https://cdn.ncbi.nlm.nih.gov/pmc/blobs/4c39/1311713/60ddb71ffe07/taos00022-0396-a.jpg
https://cdn.ncbi.nlm.nih.gov/pmc/blobs/4c39/1311713/24159633e229/taos00022-0397-a.jpg
https://cdn.ncbi.nlm.nih.gov/pmc/blobs/4c39/1311713/5c8c8e3385d6/taos00022-0398-a.jpg
https://cdn.ncbi.nlm.nih.gov/pmc/blobs/4c39/1311713/d762aa087ac7/taos00022-0399-a.jpg
https://cdn.ncbi.nlm.nih.gov/pmc/blobs/4c39/1311713/408fac35992b/taos00022-0400-a.jpg
https://cdn.ncbi.nlm.nih.gov/pmc/blobs/4c39/1311713/62862ac09e38/taos00022-0401-a.jpg
https://cdn.ncbi.nlm.nih.gov/pmc/blobs/4c39/1311713/d538684b7f9a/taos00022-0402-a.jpg
https://cdn.ncbi.nlm.nih.gov/pmc/blobs/4c39/1311713/1d8b8eb9bd80/taos00022-0403-a.jpg
https://cdn.ncbi.nlm.nih.gov/pmc/blobs/4c39/1311713/7d28eb0898e4/taos00022-0404-a.jpg
https://cdn.ncbi.nlm.nih.gov/pmc/blobs/4c39/1311713/ed449083fc65/taos00022-0405-a.jpg
https://cdn.ncbi.nlm.nih.gov/pmc/blobs/4c39/1311713/3654693e11be/taos00022-0406-a.jpg
https://cdn.ncbi.nlm.nih.gov/pmc/blobs/4c39/1311713/609a0692ee28/taos00022-0407-a.jpg
https://cdn.ncbi.nlm.nih.gov/pmc/blobs/4c39/1311713/b82d900ff5d6/taos00022-0408-a.jpg
https://cdn.ncbi.nlm.nih.gov/pmc/blobs/4c39/1311713/10e228ce4fe4/taos00022-0409-a.jpg
https://cdn.ncbi.nlm.nih.gov/pmc/blobs/4c39/1311713/8d12fbdbe43a/taos00022-0410-a.jpg
https://cdn.ncbi.nlm.nih.gov/pmc/blobs/4c39/1311713/a45e86f7671b/taos00022-0411-a.jpg
https://cdn.ncbi.nlm.nih.gov/pmc/blobs/4c39/1311713/1dcd32a48bf4/taos00022-0412-a.jpg

相似文献

1
The association of viruses with urveal melanoma.病毒与葡萄膜黑色素瘤的关联。
Trans Am Ophthalmol Soc. 1979;77:367-421.
2
Feline uveal melanoma model induced with feline sarcoma virus.
Invest Ophthalmol Vis Sci. 1981 May;20(5):606-24.
3
Feline uveal melanomas induced with feline sarcoma virus: potential model of the human counterpart.
J Natl Cancer Inst. 1981 Sep;67(3):619-27.
4
Serum antibodies against feline oncornavirus-associated cell membrane antigen in cats bearing virally induced uveal melanomas.患有病毒诱导性葡萄膜黑色素瘤的猫体内针对猫肿瘤病毒相关细胞膜抗原的血清抗体。
Invest Ophthalmol Vis Sci. 1981 May;20(5):598-605.
5
Enucleation and the appearance of second primary tumors in cats bearing virally induced intraocular tumors.
Invest Ophthalmol Vis Sci. 1982 Dec;23(6):719-25.
6
[Feline ocular melanoma. Clinical and pathologico-anatomic findings in 37 cases].[猫眼部黑色素瘤。37例临床及病理解剖学发现]
Tierarztl Prax. 1993 Jun;21(3):255-64.
7
Ultrastructure of human prostatic epithelium. Secretion granules or virus particles?人前列腺上皮的超微结构。分泌颗粒还是病毒颗粒?
Invest Urol. 1977 May;14(6):482-7.
8
[Bilateral uveal melanomas. Five case reports].[双侧葡萄膜黑色素瘤。五例病例报告]
J Fr Ophtalmol. 2003 Feb;26(2):149-53.
9
Local environmental influences on uveal melanoma: vitreous humor promotes uveal melanoma invasion, whereas the aqueous can be inhibitory.局部环境对葡萄膜黑色素瘤的影响:玻璃体液促进葡萄膜黑色素瘤的侵袭,而房水则具有抑制作用。
Cancer. 2008 Apr 15;112(8):1787-94. doi: 10.1002/cncr.23358.
10
[Scanning electron microscopy in malignant uveal melanomas (author's transl)].
J Fr Ophtalmol. 1979 Oct;2(10):527-30.

引用本文的文献

1
The occurrence and proposed significance of Schnabel cavernous degeneration in uveal melanoma.葡萄膜黑色素瘤中 Schnabel 海绵状变性的发生及意义探讨。
JAMA Ophthalmol. 2014 May;132(5):600-4. doi: 10.1001/jamaophthalmol.2013.8182.
2
Risk factors for intraocular melanoma and occupational exposure.眼内黑色素瘤的危险因素与职业暴露
Br J Ophthalmol. 1999 Oct;83(10):1190-3. doi: 10.1136/bjo.83.10.1190.
3
Uveal melanomas presenting during pregnancy and the investigation of oestrogen receptors in melanomas.孕期出现的葡萄膜黑色素瘤及黑色素瘤中雌激素受体的研究

本文引用的文献

1
Rift Valley Fever Virus Hepatitis: Light and Electron Microscopic Studies in the Mouse.裂谷热病毒肝炎:小鼠的光镜和电镜研究
Am J Pathol. 1963 May;42(5):587-607. doi: 10.21236/ad0410394.
2
Papova virus group.乳头多瘤空泡病毒组
Science. 1962 Mar 30;135(3509):1128-30. doi: 10.1126/science.135.3509.1128.
3
ELECTRON MICROSCOPY OF UVEAL MELANOMA: A COMPARISON OF SPINDLE AND EPITHELIOID CELLS.
Arch Ophthalmol. 1965 Mar;73:378-86. doi: 10.1001/archopht.1965.00970030380017.
Br J Ophthalmol. 1982 Nov;66(11):695-704. doi: 10.1136/bjo.66.11.695.
4
ONCOGENIC ACTIVITY OF ADENOVIRUS 12 IN THYMECTOMIZED BALB/C AND C3H/HEN MICE.
Proc Soc Exp Biol Med. 1964 Oct;117:198-200. doi: 10.3181/00379727-117-29535.
5
A VIRUS-LIKE PARTICLE ASSOCIATED WITH LEUKEMIA (LYMPHOSARCOMA).一种与白血病(淋巴肉瘤)相关的病毒样颗粒。
Nature. 1964 May 9;202:567-9. doi: 10.1038/202567a0.
6
ELECTRON MICROSCOPY OF MELANOMAS OF THE HUMAN UVEAL TRACT: THE ULTRASTRUCTURE OF FOUR MALIGNANT MELANOMAS OF THE MIXED CELL TYPE.
Acta Ophthalmol (Copenh). 1964;42:665-71. doi: 10.1111/j.1755-3768.1964.tb00916.x.
7
VIRUS PARTICLES IN CULTURED LYMPHOBLASTS FROM BURKITT'S LYMPHOMA.来自伯基特淋巴瘤的培养淋巴细胞中的病毒颗粒
Lancet. 1964 Mar 28;1(7335):702-3. doi: 10.1016/s0140-6736(64)91524-7.
8
ELECTRON MICROSCOPY OF A MALIGNANT MELANOMA OF THE CHOROID.
Acta Ophthalmol (Copenh). 1963;41:224-35. doi: 10.1111/j.1755-3768.1963.tb02431.x.
9
PURIFICATION AND ELECTRON MICROSCOPY OF PANTROPIC RIFT VALLEY FEVER VIRUS.泛嗜性裂谷热病毒的纯化与电子显微镜观察
Virology. 1963 Jul;20:530-3. doi: 10.1016/0042-6822(63)90103-x.
10
An electron microscope study of the development of SV40 virus.猴空泡病毒40型(SV40)病毒发育的电子显微镜研究
J Cell Biol. 1963 May;17(2):423-41. doi: 10.1083/jcb.17.2.423.