Suppr超能文献

华氏巨球蛋白血症导致的不可逆视力丧失。

Irreversible visual loss in Waldenström's macroglobulinaemia.

作者信息

Thomas E L, Olk R J, Markman M, Braine H, Patz A

出版信息

Br J Ophthalmol. 1983 Feb;67(2):102-6. doi: 10.1136/bjo.67.2.102.

Abstract

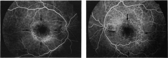
A patient with Waldenström's macroglobulinaemia presented with visual reduction in both eyes. The funduscopic and angiographic demonstrations of venous engorgement ('string of sausages'), retinal haemorrhages at all levels, retinal and disc oedema, and serous detachment of the maculas were consistent with this diagnosis. The cryoprecipitation of the immunoglobulin at a temperature slightly below body temperature precluded routine blood studies and plasmapheresis. Plasmapheresis was ultimately performed without difficulty with the patient and equipment at 88 degrees F (31 degrees C). Despite marked improvement in the funduscopic and angiographic appearance of the retina, perifoveal capillary nonperfusion and serous elevation of the macula persisted. Even when the maculas flattened in both eyes, no visual recovery occurred. Early diagnosis, even on a clinical basis when laboratory studies cannot be performed, and early plasmapheresis to reduce serum viscosity are warranted to prevent intravascular occlusion in the perifoveal capillary bed, deposition of immunoglobulin in the retina, and transudation in the subretinal space.

摘要

一名华氏巨球蛋白血症患者出现双眼视力下降。眼底镜检查和血管造影显示静脉充血(“香肠串”样)、各层视网膜出血、视网膜及视盘水肿以及黄斑浆液性脱离,这些均与该诊断相符。免疫球蛋白在略低于体温的温度下发生冷沉淀,这使得常规血液检查和血浆置换无法进行。最终,在患者体温为88华氏度(31摄氏度)时,使用该患者和设备顺利进行了血浆置换。尽管视网膜的眼底镜检查和血管造影表现有明显改善,但黄斑周围毛细血管无灌注及黄斑浆液性隆起仍持续存在。即使双眼黄斑变平,视力也未恢复。即使在无法进行实验室检查的临床基础上,早期诊断以及早期进行血浆置换以降低血清粘度对于预防黄斑周围毛细血管床的血管内阻塞、视网膜免疫球蛋白沉积以及视网膜下间隙的渗出都是必要的。

https://cdn.ncbi.nlm.nih.gov/pmc/blobs/9adf/1039975/aa8696d47d45/brjopthal00158-0031-a.jpg

文献检索

告别复杂PubMed语法,用中文像聊天一样搜索,搜遍4000万医学文献。AI智能推荐,让科研检索更轻松。

立即免费搜索

文件翻译

保留排版,准确专业,支持PDF/Word/PPT等文件格式,支持 12+语言互译。

免费翻译文档

深度研究

AI帮你快速写综述,25分钟生成高质量综述,智能提取关键信息,辅助科研写作。

立即免费体验