• 文献检索
  • 文档翻译
  • 深度研究
  • 学术资讯
  • Suppr Zotero 插件Zotero 插件
  • 邀请有礼
  • 套餐&价格
  • 历史记录
应用&插件
Suppr Zotero 插件Zotero 插件浏览器插件Mac 客户端Windows 客户端微信小程序
定价
高级版会员购买积分包购买API积分包
服务
文献检索文档翻译深度研究API 文档MCP 服务
关于我们
关于 Suppr公司介绍联系我们用户协议隐私条款
关注我们

Suppr 超能文献

核心技术专利:CN118964589B侵权必究
粤ICP备2023148730 号-1Suppr @ 2026

文献检索

告别复杂PubMed语法,用中文像聊天一样搜索,搜遍4000万医学文献。AI智能推荐,让科研检索更轻松。

立即免费搜索

文件翻译

保留排版,准确专业,支持PDF/Word/PPT等文件格式,支持 12+语言互译。

免费翻译文档

深度研究

AI帮你快速写综述,25分钟生成高质量综述,智能提取关键信息,辅助科研写作。

立即免费体验

瑞氏综合征;通过肌肉活检进行诊断?

Reye's syndrome; diagnosis by muscle biopsy?

作者信息

Shapira Y, Deckelbaum R, Statter M, Tennenbaum A, Aker M, Yarom R

出版信息

Arch Dis Child. 1981 Apr;56(4):287-91. doi: 10.1136/adc.56.4.287.

DOI:10.1136/adc.56.4.287
PMID:7247440
原文链接:https://pmc.ncbi.nlm.nih.gov/articles/PMC1627218/
Abstract

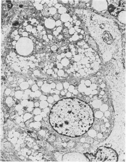
Three children with Reye's syndrome are described. One child died, the second had mild and transient illness, and the third had recurrent episodes. In all 3 children a muscle biopsy showed pronounced infiltration of the myofibres with fat microdroplets as shown by the oil red O stain and by electron microscopical examination. We suggest that needle biopsy of muscle may be a quick and safe aid to the diagnosis of Reye's syndrome, and may be preferable to liver biopsy in view of the pronounced tendency to bleed in Reye's syndrome.

摘要

本文描述了3例患有瑞氏综合征的儿童。1例儿童死亡,第2例病情轻微且为一过性,第3例有反复发作。所有3例儿童的肌肉活检均显示,油红O染色及电子显微镜检查表明肌纤维有明显的脂肪微滴浸润。我们认为,肌肉穿刺活检可能是一种快速且安全的辅助诊断瑞氏综合征的方法,鉴于瑞氏综合征有明显的出血倾向,肌肉穿刺活检可能比肝脏活检更可取。

https://cdn.ncbi.nlm.nih.gov/pmc/blobs/e272/1627218/c5c785f3e9d3/archdisch00770-0060-a.jpg
https://cdn.ncbi.nlm.nih.gov/pmc/blobs/e272/1627218/b7f2953b9a86/archdisch00770-0058-a.jpg
https://cdn.ncbi.nlm.nih.gov/pmc/blobs/e272/1627218/96da9b29c91c/archdisch00770-0059-a.jpg
https://cdn.ncbi.nlm.nih.gov/pmc/blobs/e272/1627218/1d25add26a1f/archdisch00770-0059-b.jpg
https://cdn.ncbi.nlm.nih.gov/pmc/blobs/e272/1627218/02fbb491a964/archdisch00770-0059-c.jpg
https://cdn.ncbi.nlm.nih.gov/pmc/blobs/e272/1627218/f749c322397b/archdisch00770-0059-d.jpg
https://cdn.ncbi.nlm.nih.gov/pmc/blobs/e272/1627218/c5c785f3e9d3/archdisch00770-0060-a.jpg
https://cdn.ncbi.nlm.nih.gov/pmc/blobs/e272/1627218/b7f2953b9a86/archdisch00770-0058-a.jpg
https://cdn.ncbi.nlm.nih.gov/pmc/blobs/e272/1627218/96da9b29c91c/archdisch00770-0059-a.jpg
https://cdn.ncbi.nlm.nih.gov/pmc/blobs/e272/1627218/1d25add26a1f/archdisch00770-0059-b.jpg
https://cdn.ncbi.nlm.nih.gov/pmc/blobs/e272/1627218/02fbb491a964/archdisch00770-0059-c.jpg
https://cdn.ncbi.nlm.nih.gov/pmc/blobs/e272/1627218/f749c322397b/archdisch00770-0059-d.jpg
https://cdn.ncbi.nlm.nih.gov/pmc/blobs/e272/1627218/c5c785f3e9d3/archdisch00770-0060-a.jpg

相似文献

1
Reye's syndrome; diagnosis by muscle biopsy?瑞氏综合征;通过肌肉活检进行诊断?
Arch Dis Child. 1981 Apr;56(4):287-91. doi: 10.1136/adc.56.4.287.
2
[Use of the muscle biopsy in the diagnosis of Reye's syndrome].[肌肉活检在瑞氏综合征诊断中的应用]
Bol Med Hosp Infant Mex. 1985 Jun;42(6):348-53.
3
Reye's syndrome in adults. A case report and review of the literature.成人瑞氏综合征。一例病例报告及文献综述。
Arch Intern Med. 1986 Dec;146(12):2401-3. doi: 10.1001/archinte.146.12.2401.
4
Reye's syndrome in the adult patients.成人患者中的瑞氏综合征。
Am J Med. 1979 Oct;67(4):672-8. doi: 10.1016/0002-9343(79)90255-9.
5
Reye's syndrome. A reappraisal of diagnosis in 49 presumptive cases.瑞氏综合征。对49例疑似病例诊断的重新评估。
Am J Dis Child. 1989 Oct;143(10):1181-5.
6
[Clinical-instrumental dissociation in a case of Reye's syndrome].[瑞氏综合征一例中的临床与仪器检查结果分离现象]
Pediatr Med Chir. 1994 Nov-Dec;16(6):585-6.
7
[Acute encephalopathy associated with centrilobular necrosis of liver mimicking Reye's syndrome--report of two cases].[酷似瑞氏综合征的伴有肝小叶中心性坏死的急性脑病——两例报告]
Zhonghua Yi Xue Za Zhi (Taipei). 1993 Feb;51(2):154-7.
8
A comparison of liver ultrastructure in salicylate intoxication and Reye's syndrome.水杨酸盐中毒与瑞氏综合征肝脏超微结构的比较。
Hepatology. 1984 Jul-Aug;4(4):687-90. doi: 10.1002/hep.1840040421.
9
Grade I Reye's syndrome. A frequent cause of vomiting and liver dysfunction after varicella and upper-respiratory-tract infection.Ⅰ级瑞氏综合征。水痘和上呼吸道感染后呕吐及肝功能障碍的常见病因。
N Engl J Med. 1983 Jul 21;309(3):133-9. doi: 10.1056/NEJM198307213090302.
10
A Reye's syndrome like illness with early seizures: its relationship to Reye's syndrome.一种伴有早期癫痫发作的类瑞氏综合征疾病:它与瑞氏综合征的关系。
J Singapore Paediatr Soc. 1982;24(1-2):33-53.

引用本文的文献

1
Reye syndrome.瑞氏综合征
Neurol Clin. 1985 Feb;3(1):95-115. doi: 10.1016/S0733-8619(18)31058-2.

本文引用的文献

1
Cortisone myopathy in rabbits. A light and electron microscopic study.
Neurology. 1966 Mar;16(3):257-63. doi: 10.1212/wnl.16.3.257.
2
A skeletal-muscle disorder associated with intermittent symptoms and a possible defect of lipid metabolism.一种与间歇性症状及可能的脂质代谢缺陷相关的骨骼肌疾病。
N Engl J Med. 1970 Mar 26;282(13):697-704. doi: 10.1056/NEJM197003262821301.
3
Carnitine deficiency of human skeletal muscle with associated lipid storage myopathy: a new syndrome.伴有脂质贮积性肌病的人类骨骼肌肉碱缺乏症:一种新综合征。
Science. 1973 Mar 2;179(4076):899-902. doi: 10.1126/science.179.4076.899.
4
Familial "mitochondrial" myopathy. A myopathy associated with disordered oxidative metabolism in muscle fibres. 1. Clinical, electrophysiological and pathological findings.家族性“线粒体”肌病。一种与肌纤维氧化代谢紊乱相关的肌病。1. 临床、电生理及病理表现。
J Neurol Sci. 1972 Jul;16(3):343-70. doi: 10.1016/0022-510x(72)90197-9.
5
A myopathy associated with lipid storage.一种与脂质储存相关的肌病。
J Neurol Sci. 1972 Jun;16(2):137-54. doi: 10.1016/0022-510x(72)90083-4.
6
Congenital cataract and mitochondrial myopathy of skeletal and heart muscle associated with lactic acidosis after exercise.先天性白内障以及与运动后乳酸性酸中毒相关的骨骼肌和心肌线粒体肌病。
J Pediatr. 1975 Jun;86(6):873-80. doi: 10.1016/s0022-3476(75)80217-4.
7
Letter: Reye's syndrome--virus or artifact in muscle?信件:瑞氏综合征——是肌肉中的病毒还是假象?
N Engl J Med. 1975 Sep 4;293(10):505-6. doi: 10.1056/NEJM197509042931017.
8
Acute encephalopathy with fatty infiltration of the viscera.伴有内脏脂肪浸润的急性脑病
Pediatr Clin North Am. 1976 Aug;23(3):527-40. doi: 10.1016/s0031-3955(16)33320-x.
9
Recurrent Reye's syndrome.复发性瑞氏综合征
Am J Dis Child. 1978 Nov;132(11):1097-9. doi: 10.1001/archpedi.1978.02120360053009.
10
Ultrastructural lesions of muscle and immunofluorescent deposits in vessels in Reye's syndrome: a preliminary report of serial muscle biopsies.瑞氏综合征中肌肉的超微结构病变及血管中的免疫荧光沉积物:系列肌肉活检的初步报告
Ann Neurol. 1977 May;1(5):431-7. doi: 10.1002/ana.410010506.