Suppr超能文献

泌尿系统上皮干细胞数据库(UESC)——一个用于前列腺和膀胱细胞类型特异性基因表达及免疫组化图像的网络工具。

The urologic epithelial stem cell database (UESC) - a web tool for cell type-specific gene expression and immunohistochemistry images of the prostate and bladder.

作者信息

Pascal Laura E, Deutsch Eric W, Campbell David S, Korb Martin, True Lawrence D, Liu Alvin Y

机构信息

Department of Urology, and the Institute for Stem Cell and Regenerative Medicine, University of Washington, Seattle WA 98195, USA.

出版信息

BMC Urol. 2007 Dec 11;7:19. doi: 10.1186/1471-2490-7-19.

Abstract

BACKGROUND

Public databases are crucial for analysis of high-dimensional gene and protein expression data. The Urologic Epithelial Stem Cells (UESC) database http://scgap.systemsbiology.net/ is a public database that contains gene and protein information for the major cell types of the prostate, prostate cancer cell lines, and a cancer cell type isolated from a primary tumor. Similarly, such information is available for urinary bladder cell types.

DESCRIPTION

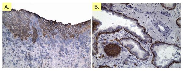
Two major data types were archived in the database, protein abundance localization data from immunohistochemistry images, and transcript abundance data principally from DNA microarray analysis. Data results were organized in modules that were made to operate independently but built upon a core functionality. Gene array data and immunostaining images for human and mouse prostate and bladder were made available for interrogation. Data analysis capabilities include: (1) CD (cluster designation) cell surface protein data. For each cluster designation molecule, a data summary allows easy retrieval of images (at multiple magnifications). (2) Microarray data. Single gene or batch search can be initiated with Affymetrix Probeset ID, Gene Name, or Accession Number together with options of coalescing probesets and/or replicates.

CONCLUSION

Databases are invaluable for biomedical research, and their utility depends on data quality and user friendliness. UESC provides for database queries and tools to examine cell type-specific gene expression (normal vs. cancer), whereas most other databases contain only whole tissue expression datasets. The UESC database provides a valuable tool in the analysis of differential gene expression in prostate cancer genes in cancer progression.

摘要

背景

公共数据库对于高维基因和蛋白质表达数据的分析至关重要。泌尿上皮干细胞(UESC)数据库http://scgap.systemsbiology.net/是一个公共数据库,其中包含前列腺主要细胞类型、前列腺癌细胞系以及从原发性肿瘤中分离出的一种癌细胞类型的基因和蛋白质信息。同样,膀胱细胞类型的此类信息也可获取。

描述

数据库中存档了两种主要数据类型,即来自免疫组织化学图像的蛋白质丰度定位数据,以及主要来自DNA微阵列分析的转录本丰度数据。数据结果被组织成模块,这些模块设计为可独立运行,但基于核心功能构建。提供了人类和小鼠前列腺及膀胱的基因阵列数据和免疫染色图像以供查询。数据分析功能包括:(1)CD(簇标记)细胞表面蛋白数据。对于每个簇标记分子,数据摘要便于轻松检索图像(多种放大倍数)。(2)微阵列数据。可以使用Affymetrix探针集ID、基因名称或登录号启动单基因或批量搜索,并可选择合并探针集和/或重复样本。

结论

数据库对于生物医学研究非常宝贵,其效用取决于数据质量和用户友好性。UESC提供数据库查询和工具,以检查细胞类型特异性基因表达(正常与癌症),而大多数其他数据库仅包含全组织表达数据集。UESC数据库为分析前列腺癌基因在癌症进展中的差异基因表达提供了一个有价值的工具。

https://cdn.ncbi.nlm.nih.gov/pmc/blobs/b010/2231381/9878e56d7194/1471-2490-7-19-1.jpg

文献检索

告别复杂PubMed语法,用中文像聊天一样搜索,搜遍4000万医学文献。AI智能推荐,让科研检索更轻松。

立即免费搜索

文件翻译

保留排版,准确专业,支持PDF/Word/PPT等文件格式,支持 12+语言互译。

免费翻译文档

深度研究

AI帮你快速写综述,25分钟生成高质量综述,智能提取关键信息,辅助科研写作。

立即免费体验