Suppr超能文献

Avian influenza virus (H5N1) replication in feathers of domestic waterfowl.

作者信息

Yamamoto Yu, Nakamura Kikuyasu, Okamatsu Masatoshi, Yamada Manabu, Mase Masaji

机构信息

National Institute of Animal Health, 3-1-5 Kannondai, Tsukuba, Ibaraki, Japan.

出版信息

Emerg Infect Dis. 2008 Jan;14(1):149-51. doi: 10.3201/eid1401.071036.

Abstract

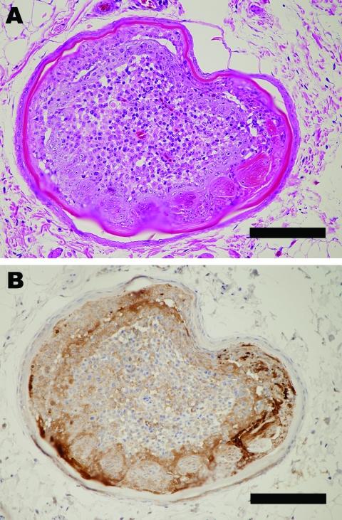
We examined feathers of domestic ducks and geese inoculated with 2 different avian influenza virus (H5N1) genotypes. Together with virus isolation from the skin, the detection of viral antigens and ultrastructural observation of the virions in the feather epidermis raise the possibility of feathers as sources of infection.

摘要
https://cdn.ncbi.nlm.nih.gov/pmc/blobs/63d6/2600139/9b5a79094d7a/07-1036-F1.jpg

文献AI研究员

20分钟写一篇综述,助力文献阅读效率提升50倍。

立即体验

用中文搜PubMed

大模型驱动的PubMed中文搜索引擎

马上搜索

文档翻译

学术文献翻译模型,支持多种主流文档格式。

立即体验