Suppr超能文献

弯刀综合征:一种表现异常的罕见疾病。

Scimitar syndrome: A rare disease with unusual presentation.

作者信息

Gupta Manohar Lal, Bagarhatta Rajeev, Sinha Jyotsna

机构信息

Department of Chest and Tuberculosis, SMS Medical College, Jaipur, India.

出版信息

Lung India. 2009 Jan;26(1):26-9. doi: 10.4103/0970-2113.45202.

Abstract

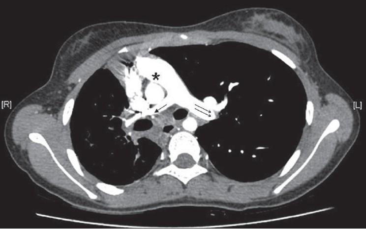
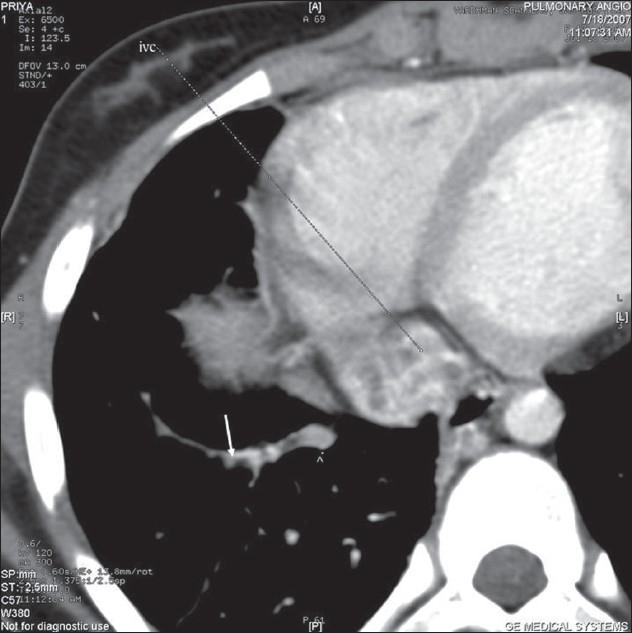
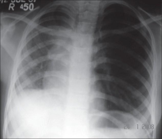
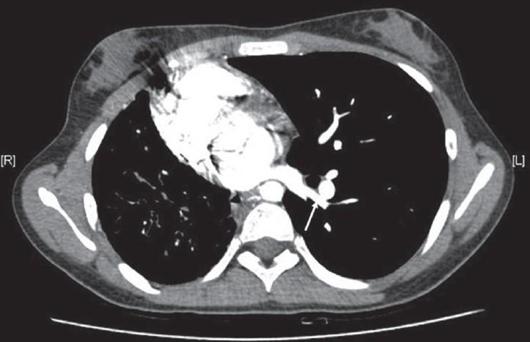
Scimitar syndrome is a rare congenital disorder. It has a varied presentation. In adult life, it usually presents either as recurrent chest infection and/or exertional dyspnea. Pulmonary artery hypertension and hemoptysis both are uncommon features of this syndrome in adult life.

摘要

弯刀综合征是一种罕见的先天性疾病。其表现多样。在成年期,它通常表现为反复的胸部感染和/或劳力性呼吸困难。肺动脉高压和咯血在成年期都是该综合征不常见的特征。

https://cdn.ncbi.nlm.nih.gov/pmc/blobs/e7b4/2813113/7b075dc129bc/LI-26-26-g001.jpg

文献检索

告别复杂PubMed语法,用中文像聊天一样搜索,搜遍4000万医学文献。AI智能推荐,让科研检索更轻松。

立即免费搜索

文件翻译

保留排版,准确专业,支持PDF/Word/PPT等文件格式,支持 12+语言互译。

免费翻译文档

深度研究

AI帮你快速写综述,25分钟生成高质量综述,智能提取关键信息,辅助科研写作。

立即免费体验