Suppr超能文献

建立长期糖尿病兔模型。

Creating a long-term diabetic rabbit model.

作者信息

Wang Jianpu, Wan Rong, Mo Yiqun, Zhang Qunwei, Sherwood Leslie C, Chien Sufan

机构信息

Department of Surgery, University of Louisville, MDR 316, Louisville, KY 40202, USA.

出版信息

Exp Diabetes Res. 2010;2010:289614. doi: 10.1155/2010/289614. Epub 2010 Dec 27.

Abstract

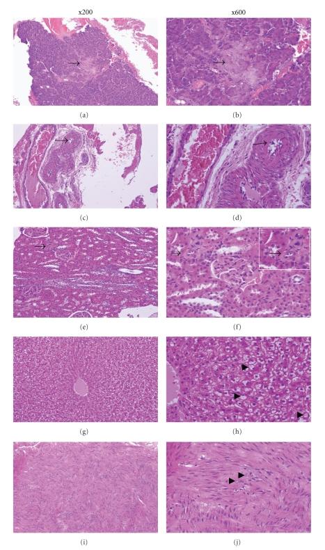
This study was to create a long-term rabbit model of diabetes mellitus for medical studies of up to one year or longer and to evaluate the effects of chronic hyperglycemia on damage of major organs. A single dose of alloxan monohydrate (100 mg/kg) was given intravenously to 20 young New Zealand White rabbits. Another 12 age-matched normal rabbits were used as controls. Hyperglycemia developed within 48 hours after treatment with alloxan. Insulin was given daily after diabetes developed. All animals gained some body weight, but the gain was much less than the age-matched nondiabetic rabbits. Hyperlipidemia, higher blood urea nitrogen and creatinine were found in the diabetic animals. Histologically, the pancreas showed marked beta cell damage. The kidneys showed significantly thickened afferent glomerular arterioles with narrowed lumens along with glomerular atrophy. Lipid accumulation in the cytoplasm of hepatocytes appeared as vacuoles. Full-thickness skin wound healing was delayed. In summary, with careful management, alloxan-induced diabetic rabbits can be maintained for one year or longer in reasonably good health for diabetic studies.

摘要

本研究旨在建立一个用于长达一年或更长时间医学研究的糖尿病长期兔模型,并评估慢性高血糖对主要器官损伤的影响。对20只年轻的新西兰白兔静脉注射单剂量一水合四氧嘧啶(100 mg/kg)。另外12只年龄匹配的正常兔子用作对照。用四氧嘧啶治疗后48小时内出现高血糖。糖尿病发生后每天给予胰岛素。所有动物体重均有增加,但增加量远低于年龄匹配的非糖尿病兔子。在糖尿病动物中发现了高脂血症、较高的血尿素氮和肌酐。组织学上,胰腺显示出明显的β细胞损伤。肾脏显示入球小动脉明显增厚,管腔狭窄,同时伴有肾小球萎缩。肝细胞质内的脂质积累表现为空泡。全层皮肤伤口愈合延迟。总之,通过精心管理,四氧嘧啶诱导的糖尿病兔可以在相当良好的健康状态下维持一年或更长时间用于糖尿病研究。

https://cdn.ncbi.nlm.nih.gov/pmc/blobs/da5a/3014707/309eb1f31237/EDR2010-289614.001.jpg

文献AI研究员

20分钟写一篇综述,助力文献阅读效率提升50倍。

立即体验

用中文搜PubMed

大模型驱动的PubMed中文搜索引擎

马上搜索

文档翻译

学术文献翻译模型,支持多种主流文档格式。

立即体验