Suppr超能文献

木香根水提取物改善异丙肾上腺素诱导的大鼠氧化心肌损伤。

Aqueous extract of Saussurea lappa root ameliorate oxidative myocardial injury induced by isoproterenol in rats.

作者信息

Saleem T S Mohamed, Lokanath N, Prasanthi A, Madhavi M, Mallika G, Vishnu M N

机构信息

Department of Pharmacology, Annamacharya College of Pharmacy, Rajampet, Andhra Pradesh, India.

出版信息

J Adv Pharm Technol Res. 2013 Apr;4(2):94-100. doi: 10.4103/2231-4040.111525.

Abstract

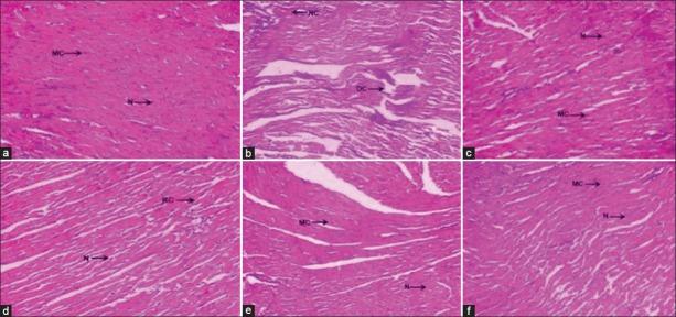
Saussurea lappa Clarke (Compositae), is commonly known as Kushta. In Ayurvedha, it is mentioned that the aqueous extract of the root S. lappa was used for treatment of angina pectoris. The present study was designed to investigate the cardioprotective effect of aqueous extract of root of S. lappa against isoproterenol induced myocardial injury. Myocardial injury in rat was induced by the administration of isoproterenol at a dose of 85 mg/kg, i.p., The rats were pretreated with the aqueous extract of S. lappa (AESL) in three different doses (100, 200 and 300 mg/kg, p.o.) through the oral route. Isoproterenol alone-treated rats showed increased serum concentration of lactate dehydrogenase (LDH), creatinine kinase (CK), and aspartate transaminase (AST), increased myocardial thiobarbituric acid reactive substances (TBARS) level, and decreased myocardial glutathione (GSH) level due to myocardial damage produced by isoproterenol. This is further conformed by histopathological changes. Chronic oral administration of AESL in three different doses significantly restored the level of myocardial LDH, CK, AST, TBARS, and GSH. The extract effect was compared with the reference standard α-tocopherol which also offered similar protection in biochemical and histopathological changes. The overall beneficial effect which was observed with the dose of 200 mg/kg indicated that AESL produced significant dose-dependent activity against isoproterenol induced myocardial injury.

摘要

木香(菊科),通常被称为库什塔。在阿育吠陀医学中提到,木香根的水提取物用于治疗心绞痛。本研究旨在探讨木香根水提取物对异丙肾上腺素诱导的心肌损伤的心脏保护作用。通过腹腔注射85mg/kg剂量的异丙肾上腺素诱导大鼠心肌损伤,大鼠通过口服途径用三种不同剂量(100、200和300mg/kg)的木香根水提取物(AESL)进行预处理。单独用异丙肾上腺素处理的大鼠由于异丙肾上腺素产生的心肌损伤,血清乳酸脱氢酶(LDH)、肌酸激酶(CK)和天冬氨酸转氨酶(AST)浓度升高,心肌硫代巴比妥酸反应物质(TBARS)水平升高,心肌谷胱甘肽(GSH)水平降低。这通过组织病理学变化进一步得到证实。三种不同剂量的AESL慢性口服给药显著恢复了心肌LDH、CK、AST、TBARS和GSH的水平。将提取物的作用与参考标准α-生育酚进行比较,α-生育酚在生化和组织病理学变化方面也提供了类似的保护作用。200mg/kg剂量观察到的总体有益作用表明,AESL对异丙肾上腺素诱导的心肌损伤产生了显著的剂量依赖性活性。

https://cdn.ncbi.nlm.nih.gov/pmc/blobs/c455/3696228/e35c6dbf71f3/JAPTR-4-94-g001.jpg

文献检索

告别复杂PubMed语法,用中文像聊天一样搜索,搜遍4000万医学文献。AI智能推荐,让科研检索更轻松。

立即免费搜索

文件翻译

保留排版,准确专业,支持PDF/Word/PPT等文件格式,支持 12+语言互译。

免费翻译文档

深度研究

AI帮你快速写综述,25分钟生成高质量综述,智能提取关键信息,辅助科研写作。

立即免费体验