Suppr超能文献

口腔棘层松解性鳞状细胞癌:一种罕见的实体。

Acantholytic squamous cell carcinoma of the oral cavity: A rare entity.

作者信息

Mardi Kavita, Singh Narbir

机构信息

Department of Pathology, Indira Gandhi Medical College, Shimla, Himachal Pradesh, India.

Department of Oral Pathology, Indira Gandhi Medical College, Shimla, Himachal Pradesh, India.

出版信息

J Oral Maxillofac Pathol. 2014 Sep;18(Suppl 1):S128-30. doi: 10.4103/0973-029X.141359.

Abstract

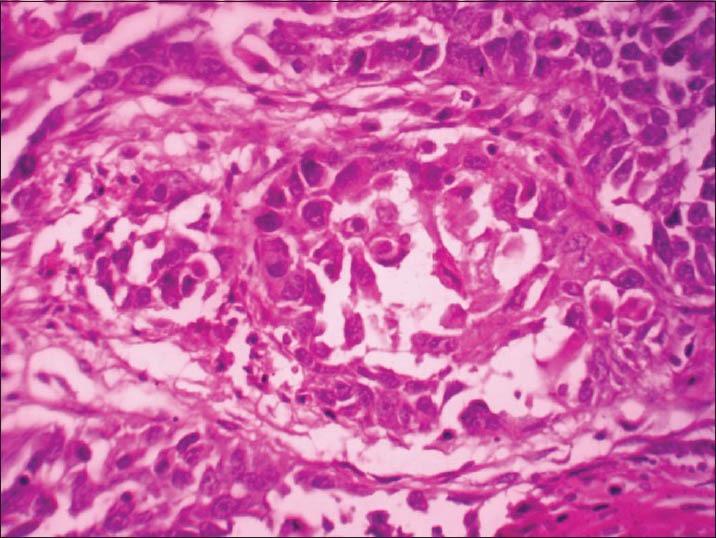
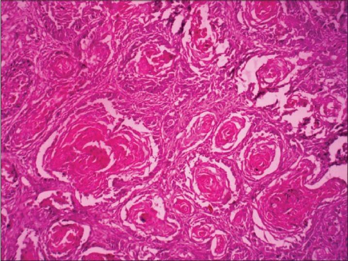
Acantholytic squamous cell carcinoma (ASCC) is an uncommon but well-recognized variant of squamous cell carcinoma that was first described by Lever in 1947. ASCC has been reported to originate in the sun-exposed skin of the head and neck and in other sites. However ASCC located in the oral cavity is extremely rare. The patient was a 50-year-old man who presented with an ulcer on the right maxillary alveolar mucosa. The biopsy was diagnosed as ASCC. Tumor resection was therefore performed. Histologically, acantholytic pattern was seen throughout the tumor.

摘要

棘层松解性鳞状细胞癌(ASCC)是一种罕见但已被充分认识的鳞状细胞癌变体,于1947年由利弗首次描述。据报道,ASCC起源于头颈部暴露于阳光下的皮肤以及其他部位。然而,位于口腔的ASCC极为罕见。该患者为一名50岁男性,表现为右上颌牙槽黏膜溃疡。活检诊断为ASCC。因此进行了肿瘤切除。组织学检查显示,整个肿瘤均可见棘层松解模式。

https://cdn.ncbi.nlm.nih.gov/pmc/blobs/45a9/4211221/1ae7d8ac68da/JOMFP-18-128-g001.jpg

文献AI研究员

20分钟写一篇综述,助力文献阅读效率提升50倍。

立即体验

用中文搜PubMed

大模型驱动的PubMed中文搜索引擎

马上搜索

文档翻译

学术文献翻译模型,支持多种主流文档格式。

立即体验