Chaddad Ahmad, Tanougast Camel
ASEC Team at the LCOMS Laboratory, The University of Lorraine, Metz, France.
Brain Inform. 2016 Mar;3(1):53-61. doi: 10.1007/s40708-016-0033-7. Epub 2016 Feb 1.
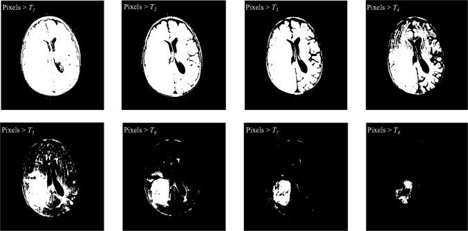
To isolate the brain from non-brain tissues using a fully automatic method may be affected by the presence of radio frequency non-homogeneity of MR images (MRI), regional anatomy, MR sequences, and the subjects of the study. In order to automate the brain tumor (Glioblastoma) detection, we proposed a novel approach of skull stripping for axial slices derived from MRI. Then, the brain tumor was detected using multi-level threshold segmentation based on histogram analysis. Skull-stripping method, was applied by adaptive morphological operations approach. This is considered an empirical threshold by calculation of the area of brain tissue, iteratively. It was employed on the registration of non-contrast T1-weighted (T1-WI) and its corresponding fluid attenuated inversion recovery sequence. Then, we used multi-thresholding segmentation (MTS) method which is proposed by Otsu. We calculated the performance metrics based on the similarity coefficients for patients (n = 120) with tumor. The adaptive algorithm of skull stripping and MTS of segmented tumors were achieved efficient in preliminary results with 92 and 80 % of Dice similarity coefficient and 0.3 and 25.8 % of false negative rate, respectively. The adaptive skull stripping algorithm provides robust skull-stripping results, and the tumor area for medical diagnosis was determined by MTS.
使用全自动方法将大脑与非脑组织分离可能会受到磁共振图像(MRI)的射频不均匀性、局部解剖结构、MR序列以及研究对象的影响。为了实现脑肿瘤(胶质母细胞瘤)检测的自动化,我们提出了一种针对源自MRI的轴向切片进行颅骨剥离的新方法。然后,基于直方图分析使用多级阈值分割来检测脑肿瘤。颅骨剥离方法通过自适应形态学操作方法来应用。这通过迭代计算脑组织面积被视为一个经验阈值。它被应用于非对比T1加权(T1-WI)及其相应的液体衰减反转恢复序列的配准。然后,我们使用了大津提出的多阈值分割(MTS)方法。我们基于肿瘤患者(n = 120)的相似系数计算了性能指标。分段肿瘤的颅骨剥离自适应算法和MTS在初步结果中分别以92%和80%的骰子相似系数以及0.3%和25.8%的假阴性率实现了高效性。自适应颅骨剥离算法提供了稳健的颅骨剥离结果,并且通过MTS确定了用于医学诊断的肿瘤区域。