Suppr超能文献

肾静脉和下腔静脉血栓形成:急性胰腺炎一种罕见的内脏外并发症。

Renal Vein and Inferior Vena Cava Thrombosis: A Rare Extrasplanchnic Complication of Acute Pancreatitis.

作者信息

Patel Ruchir, Choksi Dhaval, Chaubal Alisha, Pipaliya Nirav, Ingle Meghraj, Sawant Prabha

机构信息

Department of Gastroenterology, Lokmanya Tilak Municipal Medical College & Hospital, Mumbai, India.

出版信息

ACG Case Rep J. 2016 Dec 7;3(4):e172. doi: 10.14309/crj.2016.145. eCollection 2016 Aug.

Abstract

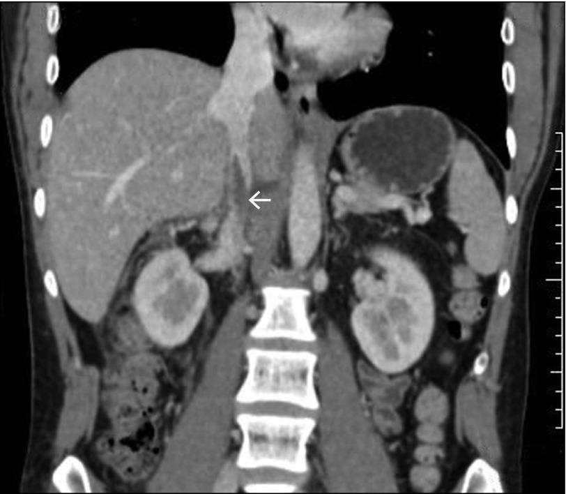
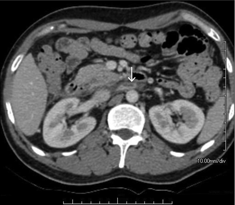
Acute pancreatitis is an inflammatory disorder often associated with various complications. Approximately one fourth of patients with acute pancreatitis develop vascular complications, of which venous thrombosis forms a major group. Extrasplanchnic venous thrombosis is less common, and simultaneous renal vein and inferior vena cava thrombosis is reported only twice. We report a case of alcohol-related acute pancreatitis complicated by simultaneous renal vein and inferior vena cava thrombosis.

摘要

急性胰腺炎是一种常伴有各种并发症的炎症性疾病。大约四分之一的急性胰腺炎患者会出现血管并发症,其中静脉血栓形成是主要类型。肝外静脉血栓形成较少见,同时累及肾静脉和下腔静脉的血栓形成仅报道过两例。我们报告一例酒精相关性急性胰腺炎并发肾静脉和下腔静脉同时血栓形成的病例。

https://cdn.ncbi.nlm.nih.gov/pmc/blobs/95b2/5171928/f2d800dddf04/CG-CGCR160105F001.jpg

文献检索

告别复杂PubMed语法,用中文像聊天一样搜索,搜遍4000万医学文献。AI智能推荐,让科研检索更轻松。

立即免费搜索

文件翻译

保留排版,准确专业,支持PDF/Word/PPT等文件格式,支持 12+语言互译。

免费翻译文档

深度研究

AI帮你快速写综述,25分钟生成高质量综述,智能提取关键信息,辅助科研写作。

立即免费体验