• 文献检索
  • 文档翻译
  • 深度研究
  • 学术资讯
  • Suppr Zotero 插件Zotero 插件
  • 邀请有礼
  • 套餐&价格
  • 历史记录
应用&插件
Suppr Zotero 插件Zotero 插件浏览器插件Mac 客户端Windows 客户端微信小程序
定价
高级版会员购买积分包购买API积分包
服务
文献检索文档翻译深度研究API 文档MCP 服务
关于我们
关于 Suppr公司介绍联系我们用户协议隐私条款
关注我们

Suppr 超能文献

核心技术专利:CN118964589B侵权必究
粤ICP备2023148730 号-1Suppr @ 2026

文献检索

告别复杂PubMed语法,用中文像聊天一样搜索,搜遍4000万医学文献。AI智能推荐,让科研检索更轻松。

立即免费搜索

文件翻译

保留排版,准确专业,支持PDF/Word/PPT等文件格式,支持 12+语言互译。

免费翻译文档

深度研究

AI帮你快速写综述,25分钟生成高质量综述,智能提取关键信息,辅助科研写作。

立即免费体验

自然蚊虫媒介中肠内与披膜病毒相关的病理变化。

Togavirus-associated pathologic changes in the midgut of a natural mosquito vector.

作者信息

Weaver S C, Scott T W, Lorenz L H, Lerdthusnee K, Romoser W S

机构信息

Department of Pathology, Lenox Hill Hospital, New York, New York 10021.

出版信息

J Virol. 1988 Jun;62(6):2083-90. doi: 10.1128/JVI.62.6.2083-2090.1988.

DOI:10.1128/JVI.62.6.2083-2090.1988
PMID:2896802
原文链接:https://pmc.ncbi.nlm.nih.gov/articles/PMC253299/
Abstract

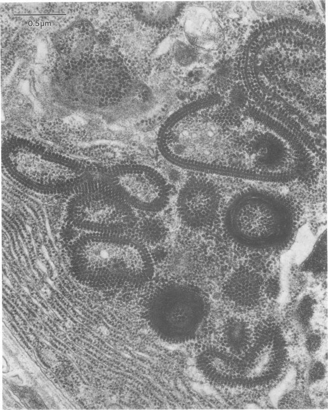
Arthropod-borne viruses were not previously believed to cause discernible pathologic changes in their natural mosquito vectors. We report cytopathologic lesions in the midgut of the mosquito, Culiseta melanura, 2 to 5 days after oral infection with eastern equine encephalomyelitis virus. Sloughing of densely staining, heavily infected epithelial cells into the midgut lumen was observed by light and transmission electron microscopy, along with degeneration of cells within the epithelium. Pathological changes in midgut epithelial cells sometimes included loss of brush border and basal lamina integrity. Disruption of the midgut basal lamina could result in bypassing of barriers to virus dissemination within the mosquito and allow rapid transmission to occur. Alternatively, luminal sloughing of heavily infected midgut epithelial cells may serve to modulate mosquito infections. These findings challenge previous beliefs regarding the benign nature of arbovirus-invertebrate host relationships.

摘要

以前人们认为节肢动物传播的病毒不会在其天然蚊子宿主中引起明显的病理变化。我们报告,在库蚊感染东部马脑炎病毒2至5天后,其肠道中出现了细胞病理损伤。通过光学显微镜和透射电子显微镜观察到,大量被感染的上皮细胞脱落至中肠管腔,同时上皮细胞发生变性。中肠上皮细胞的病理变化有时包括刷状缘丧失和基膜完整性受损。中肠基膜的破坏可能导致病毒在蚊子体内传播的屏障被绕过,从而使其能够快速传播。另外,大量被感染的中肠上皮细胞向管腔脱落可能有助于调节蚊子的感染情况。这些发现挑战了以前关于虫媒病毒与无脊椎动物宿主关系为良性的观点。

https://cdn.ncbi.nlm.nih.gov/pmc/blobs/98a7/253299/2139380a08ef/jvirol00085-0258-a.jpg
https://cdn.ncbi.nlm.nih.gov/pmc/blobs/98a7/253299/6e49e4198fe9/jvirol00085-0255-a.jpg
https://cdn.ncbi.nlm.nih.gov/pmc/blobs/98a7/253299/b4f04df6f8d3/jvirol00085-0256-a.jpg
https://cdn.ncbi.nlm.nih.gov/pmc/blobs/98a7/253299/6d612226bc34/jvirol00085-0257-a.jpg
https://cdn.ncbi.nlm.nih.gov/pmc/blobs/98a7/253299/2139380a08ef/jvirol00085-0258-a.jpg
https://cdn.ncbi.nlm.nih.gov/pmc/blobs/98a7/253299/6e49e4198fe9/jvirol00085-0255-a.jpg
https://cdn.ncbi.nlm.nih.gov/pmc/blobs/98a7/253299/b4f04df6f8d3/jvirol00085-0256-a.jpg
https://cdn.ncbi.nlm.nih.gov/pmc/blobs/98a7/253299/6d612226bc34/jvirol00085-0257-a.jpg
https://cdn.ncbi.nlm.nih.gov/pmc/blobs/98a7/253299/2139380a08ef/jvirol00085-0258-a.jpg

相似文献

1
Togavirus-associated pathologic changes in the midgut of a natural mosquito vector.自然蚊虫媒介中肠内与披膜病毒相关的病理变化。
J Virol. 1988 Jun;62(6):2083-90. doi: 10.1128/JVI.62.6.2083-2090.1988.
2
Patterns of eastern equine encephalomyelitis virus infection in Culiseta melanura (Diptera: Culicidae).
J Med Entomol. 1990 Sep;27(5):878-91. doi: 10.1093/jmedent/27.5.878.
3
The distribution and development of eastern equine encephalitis virus in its enzootic mosquito vector, Culiseta melanura.东部马脑炎病毒在其地方性蚊媒黑尾库蚊中的分布与发育
Am J Trop Med Hyg. 1984 Mar;33(2):300-10. doi: 10.4269/ajtmh.1984.33.300.
4
Pathologic changes in the midgut of Culex tarsalis following infection with Western equine encephalomyelitis virus.感染西部马脑炎病毒后塔尔萨库蚊中肠的病理变化。
Am J Trop Med Hyg. 1992 Nov;47(5):691-701. doi: 10.4269/ajtmh.1992.47.691.
5
Detection of eastern equine encephalomyelitis virus deposition in Culiseta melanura following ingestion of radiolabeled virus in blood meals.
Am J Trop Med Hyg. 1991 Mar;44(3):250-9. doi: 10.4269/ajtmh.1991.44.250.
6
Rapid infection of salivary glands in Culiseta melanura with eastern equine encephalitis virus: an electron microscopic study.
Am J Trop Med Hyg. 1984 Sep;33(5):961-4. doi: 10.4269/ajtmh.1984.33.961.
7
Eastern equine encephalomyelitis virus: epidemiology and evolution of mosquito transmission.东部马脑脊髓炎病毒:蚊子传播的流行病学与进化
Adv Virus Res. 1989;37:277-328. doi: 10.1016/s0065-3527(08)60838-6.
8
Tissue Barriers to Arbovirus Infection in Mosquitoes.蚊子中虫媒病毒感染的组织屏障
Viruses. 2015 Jul 8;7(7):3741-67. doi: 10.3390/v7072795.
9
Effects of triturated Culiseta melanura (Diptera: Culicidae) on recovery of eastern equine encephalomyelitis virus.研磨后的黑尾库蚊(双翅目:蚊科)对东部马脑脊髓炎病毒恢复的影响
J Med Entomol. 1989 Jul;26(4):380-3. doi: 10.1093/jmedent/26.4.380.
10
Wetland characteristics linked to broad-scale patterns in Culiseta melanura abundance and eastern equine encephalitis virus infection.湿地特征与库蚊属蚊虫丰度和东部马脑炎病毒感染的广泛分布模式有关。
Parasit Vectors. 2017 Oct 18;10(1):501. doi: 10.1186/s13071-017-2482-0.

引用本文的文献

1
Dengue-mediated changes in the vectorial capacity of Aedes aegypti (Diptera: Culicidae): manipulation of transmission or infection by-product?登革热介导的埃及伊蚊(双翅目:蚊科)传播能力变化:是传播操纵还是感染副产物?
J Med Entomol. 2025 Jan 13;62(1):19-28. doi: 10.1093/jme/tjae134.
2
Increased blood meal size and feeding frequency compromise Aedes aegypti midgut integrity and enhance dengue virus dissemination.血液餐大小和进食频率的增加会损害埃及伊蚊中肠的完整性,并增强登革热病毒的传播。
PLoS Negl Trop Dis. 2023 Nov 1;17(11):e0011703. doi: 10.1371/journal.pntd.0011703. eCollection 2023 Nov.
3
Factors Affecting Arbovirus Midgut Escape in Mosquitoes.

本文引用的文献

1
Aedes triseriatus (Diptera: Culicidae) and La Crosse virus. II. Modification of mosquito feeding behavior by virus infection.
J Med Entomol. 1980 Jan 31;17(1):1-7. doi: 10.1093/jmedent/17.1.1.
2
Semliki Forest virus multiplication in clones of Aedes albopictus cells.辛德毕斯病毒在白纹伊蚊细胞克隆中的增殖。
J Virol. 1981 Feb;37(2):589-600. doi: 10.1128/JVI.37.2.589-600.1981.
3
Dissemination barriers for western equine encephalomyelitis virus in Culex tarsalis infected after ingestion of low viral doses.摄入低剂量病毒后感染的致倦库蚊体内西方马脑炎病毒的传播障碍
影响虫媒病毒在蚊子中肠逃逸的因素
Pathogens. 2023 Jan 31;12(2):220. doi: 10.3390/pathogens12020220.
4
Modifying mosquitoes to suppress disease transmission: Is the long wait over?改造蚊子以抑制疾病传播:漫长的等待是否结束?
Genetics. 2022 Jul 4;221(3). doi: 10.1093/genetics/iyac072.
5
Baculovirus actin-rearrangement-inducing factor ARIF-1 induces the formation of dynamic invadosome clusters.杆状病毒肌动蛋白重排诱导因子 ARIF-1 诱导动态侵入小体簇的形成。
Mol Biol Cell. 2021 Aug 1;32(16):1433-1445. doi: 10.1091/mbc.E20-11-0705. Epub 2021 Jun 16.
6
Frequency matters: How successive feeding episodes by blood-feeding insect vectors influences disease transmission.频率至关重要:吸血昆虫媒介的连续取食事件如何影响疾病传播。
PLoS Pathog. 2021 Jun 10;17(6):e1009590. doi: 10.1371/journal.ppat.1009590. eCollection 2021 Jun.
7
Host Factors That Control Mosquito-Borne Viral Infections in Humans and Their Vector.控制人类与蚊媒病毒感染及其媒介的宿主因素。
Viruses. 2021 Apr 24;13(5):748. doi: 10.3390/v13050748.
8
Infection, Dissemination, and Transmission Potential of North American , , and for Oropouche Virus.北美,,,对奥罗普切病毒的感染、传播和传播潜力。
Viruses. 2021 Feb 2;13(2):226. doi: 10.3390/v13020226.
9
Population bottlenecks and founder effects: implications for mosquito-borne arboviral emergence.人口瓶颈和奠基者效应:对蚊媒虫媒病毒出现的影响。
Nat Rev Microbiol. 2021 Mar;19(3):184-195. doi: 10.1038/s41579-020-00482-8. Epub 2021 Jan 11.
10
Infection of Mammals and Mosquitoes by Alphaviruses: Involvement of Cell Death.甲病毒属病毒感染哺乳动物和蚊子:细胞死亡的参与。
Cells. 2020 Dec 5;9(12):2612. doi: 10.3390/cells9122612.
Am J Trop Med Hyg. 1981 Jan;30(1):190-7. doi: 10.4269/ajtmh.1981.30.190.
4
Transovarial and trans-stadial transmission of California encephalitis virus in Aedes dorsalis and Aedes melanimon.
Am J Trop Med Hyg. 1982 Sep;31(5):1021-9. doi: 10.4269/ajtmh.1982.31.1021.
5
Transovarial transmission of yellow fever virus in Stegomyia mosquitoes.黄热病病毒在埃及伊蚊中的经卵传播
Am J Trop Med Hyg. 1980 Jan;29(1):125-32. doi: 10.4269/ajtmh.1980.29.125.
6
The distribution and development of eastern equine encephalitis virus in its enzootic mosquito vector, Culiseta melanura.东部马脑炎病毒在其地方性蚊媒黑尾库蚊中的分布与发育
Am J Trop Med Hyg. 1984 Mar;33(2):300-10. doi: 10.4269/ajtmh.1984.33.300.
7
Intrinsic factors affecting vector competence of mosquitoes for arboviruses.
Annu Rev Entomol. 1983;28:229-62. doi: 10.1146/annurev.en.28.010183.001305.
8
Replication of Semliki Forest virus: an electron microscopic study.Semliki森林病毒的复制:一项电子显微镜研究。
Virology. 1967 May;32(1):128-43. doi: 10.1016/0042-6822(67)90261-9.
9
Cytopathic effect of Semliki Forest virus in the mosquito Aedes aegypti.塞姆利基森林病毒在埃及伊蚊中的细胞病变效应。
Am J Trop Med Hyg. 1966 Sep;15(5):775-84. doi: 10.4269/ajtmh.1966.15.775.
10
Eastern equine encephalomyelitis virus: an electron microscopic study of Aedes triseriatus (Say) salivary gland infection.
Virology. 1971 Jan;43(1):110-22. doi: 10.1016/0042-6822(71)90229-7.