Suppr超能文献

评价逆转录环介导等温扩增法检测和分型甲型流感病毒的临床适用性。

Evaluation of clinical applicability of reverse transcription-loop-mediated isothermal amplification assay for detection and subtyping of Influenza A viruses.

机构信息

Centre for Biotechnology, Maharshi Dayanand University, Rohtak, Haryana, India.

Pulmonary and Critical Care Medicine, Post Graduate Institute of Medical Sciences, Rohtak, Haryana, India.

出版信息

J Virol Methods. 2018 Mar;253:18-25. doi: 10.1016/j.jviromet.2017.12.005. Epub 2017 Dec 15.

Abstract

BACKGROUND

Influenza A viruses (IAVs) have always remain a serious concern for the global economy and public health. A rapid, specific and sensitive detection method is always needed to control the influenza in its early stages by timely intervention of therapy and early clinical management.

OBJECTIVES

To develop RT-LAMP assays for detection of influenza A viruses, their further subtyping into seasonal (H1N1, H3N2) and novel pandemic H1N1 viruses and to evaluate clinical applicability of optimized RT-LAMP assays on patients' samples.

STUDY DESIGN

In this study, we optimized RT-LAMP assay to detect IAVs by using primers against matrix gene and subtyping of IAVs was done by using primers against hemagglutinin gene. Optimized RT-LAMP assays were applied on clinical samples from patients having influenza like illness and results were compared with conventional one-step RT-PCR and real-time RT-PCR.

RESULTS

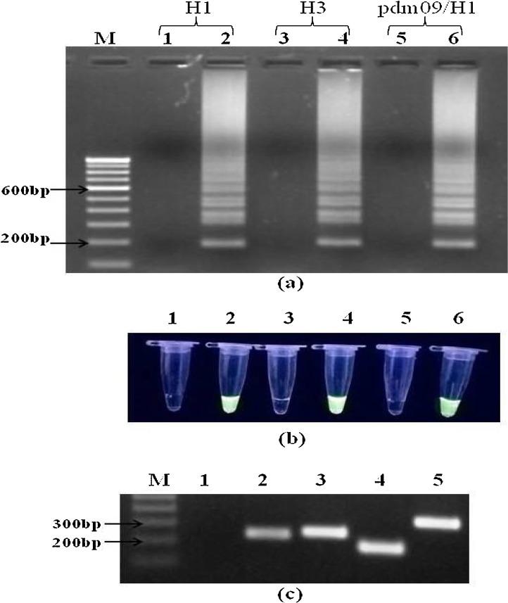
RT-LAMP assays successfully detected and differentiated IAVs into H1N1, H3N2 and pdm09/H1N1 subtypes. One hundred and sixty seven clinical swab samples from influenza suspected patients were taken and tested with RT-LAMP assay, detecting 30 (17.9%) samples positive for Influenza A virus. Out of 30 samples, 21, 7 and 2 were found positive for pdm09/H1N1, H3N2 and seasonal H1 respectively. Conventional one-step RT-PCR detected a total of 27 (16.2%) samples for influenza A and further subtyping showed 20 and 7 samples positive for pdm09/H1N1 and H3N2 virus respectively whereas none was found positive for seasonal H1N1. RT-LAMP assay demonstrated higher sensitivity (93.8%) than conventional RT-PCR (84.4%) for influenza A viruses detection in clinical samples.

CONCLUSIONS

RT-LAMP assay is rapid, sensitive, specific and cost effective method for detection of influenza A viruses than conventional one-step RT-PCR and it can serve as a good alternate for diagnosis and surveillance studies during influenza outbreaks in resource-limited setups of developing countries.

摘要

背景

甲型流感病毒(IAV)一直是全球经济和公共卫生的严重关切。为了在早期通过及时的治疗干预和早期临床管理来控制流感,需要一种快速、特异和敏感的检测方法。

目的

开发用于检测甲型流感病毒的 RT-LAMP 检测方法,进一步将其分为季节性(H1N1、H3N2)和新型大流行 H1N1 病毒,并评估优化的 RT-LAMP 检测方法在患者样本上的临床适用性。

研究设计

在这项研究中,我们使用针对基质基因的引物优化了 RT-LAMP 检测方法来检测 IAV,并且通过针对血凝素基因的引物来进行 IAV 的亚型鉴定。将优化的 RT-LAMP 检测方法应用于具有流感样疾病的患者的临床样本,并将结果与传统的一步 RT-PCR 和实时 RT-PCR 进行比较。

结果

RT-LAMP 检测方法成功地检测并区分了 IAV 为 H1N1、H3N2 和 pdm09/H1N1 亚型。从流感疑似患者中采集了 167 个临床拭子样本进行 RT-LAMP 检测,检测到 30 个(17.9%)样本对甲型流感病毒呈阳性。在这 30 个样本中,21、7 和 2 个样本分别对 pdm09/H1N1、H3N2 和季节性 H1 呈阳性。传统的一步 RT-PCR 共检测到 27 个(16.2%)样本对甲型流感呈阳性,进一步的亚型鉴定显示 20 个和 7 个样本对 pdm09/H1N1 和 H3N2 病毒呈阳性,而季节性 H1N1 病毒均为阴性。与传统的 RT-PCR(84.4%)相比,RT-LAMP 检测方法在临床样本中检测甲型流感病毒的敏感性(93.8%)更高。

结论

与传统的一步 RT-PCR 相比,RT-LAMP 检测方法是一种快速、敏感、特异和具有成本效益的检测甲型流感病毒的方法,它可以作为发展中国家资源有限的流感爆发期间诊断和监测研究的良好替代方法。

https://cdn.ncbi.nlm.nih.gov/pmc/blobs/c96f/7113880/f0d6494bc1bd/gr1_lrg.jpg

文献检索

告别复杂PubMed语法,用中文像聊天一样搜索,搜遍4000万医学文献。AI智能推荐,让科研检索更轻松。

立即免费搜索

文件翻译

保留排版,准确专业,支持PDF/Word/PPT等文件格式,支持 12+语言互译。

免费翻译文档

深度研究

AI帮你快速写综述,25分钟生成高质量综述,智能提取关键信息,辅助科研写作。

立即免费体验