Suppr超能文献

从树叶中分离出的香精油作为治疗烧伤创面的局部皮肤科用药的潜在用途。

Potential Use of Essential Oil Isolated from Leaves as a Topical Dermatological Agent for Treatment of Burn Wound.

作者信息

Tran Gia-Buu, Le Nghia-Thu Tram, Dam Sao-Mai

机构信息

Institute of Biotechnology and Food Technology, Industrial University of Ho Chi Minh City, 12 Nguyen Van Bao Street, Go Vap District, Ho Chi Minh City, Vietnam.

出版信息

Dermatol Res Pract. 2018 Mar 5;2018:2730169. doi: 10.1155/2018/2730169. eCollection 2018.

Abstract

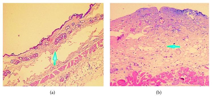
Several herbal remedies have been used as topical agents to cure burn wound, one of the most common injuries in worldwide. In this study, we investigated the potential use of essential oil to treat the burn wound. We identified a total of 13 bioactive compounds of essential oil, several of which exhibited the anti-inflammatory and antimicrobial activities. Furthermore, the essential oil showed the antibacterial effect against but not with The supportive effect of essential oil on burn wound healing process also has been proven. Among three groups of mice, wound contraction rate of essential oil treated group (100%) was significantly higher than tamanu oil treated (79%) and control mice (71%) after 20 days (0.22 ± 0.03 versus 0.31 ± 0.02 cm, resp., < 0.05). Histological studies revealed that burn wounds treated with essential oil formed a complete epidermal structure, thick and neatly arranged fibers, and scattered immune cells in burn wound. On the contrary, saline treated burn wound formed uneven epidermal layer with necrotic ulcer, infiltration of immune cells, and existence of granulation tissue. This finding demonstrated essential oil as promising topical dermatological agent to treat burn wound.

摘要

几种草药制剂已被用作局部用药来治疗烧伤创面,烧伤创面是全球最常见的损伤之一。在本研究中,我们调查了精油治疗烧伤创面的潜在用途。我们共鉴定出13种精油生物活性成分,其中几种具有抗炎和抗菌活性。此外,该精油对[具体细菌名称1]有抗菌作用,但对[具体细菌名称2]没有。精油对烧伤创面愈合过程的支持作用也已得到证实。在三组小鼠中,20天后精油治疗组的伤口收缩率(100%)显著高于酪梨油治疗组(79%)和对照小鼠(71%)(分别为0.22±0.03厘米和0.31±0.02厘米,P<0.05)。组织学研究表明,用精油治疗的烧伤创面形成了完整的表皮结构、粗大且排列整齐的纤维以及烧伤创面中散在的免疫细胞。相反,生理盐水处理的烧伤创面形成了不均匀的表皮层,伴有坏死溃疡、免疫细胞浸润和肉芽组织存在。这一发现表明精油是一种有前景的局部治疗烧伤创面的皮肤科用药。

https://cdn.ncbi.nlm.nih.gov/pmc/blobs/9689/5859817/90a54eb3a3a7/DRP2018-2730169.001.jpg

文献检索

告别复杂PubMed语法,用中文像聊天一样搜索,搜遍4000万医学文献。AI智能推荐,让科研检索更轻松。

立即免费搜索

文件翻译

保留排版,准确专业,支持PDF/Word/PPT等文件格式,支持 12+语言互译。

免费翻译文档

深度研究

AI帮你快速写综述,25分钟生成高质量综述,智能提取关键信息,辅助科研写作。

立即免费体验