Suppr超能文献

光子治疗中使用3D打印定制填充物的剂量学研究:水凝胶和硅胶研究。

A dosimetric study on the use of 3D-printed customized boluses in photon therapy: A hydrogel and silica gel study.

作者信息

Kong Yuehong, Yan Tengfei, Sun Yanze, Qian Jianjun, Zhou Gang, Cai Shang, Tian Ye

机构信息

Department of Radiotherapy and Oncology, The Second Affiliated Hospital of Soochow University, Suzhou, China.

Institute of Radiotherapy and Oncology, Soochow University, Suzhou, China.

出版信息

J Appl Clin Med Phys. 2019 Jan;20(1):348-355. doi: 10.1002/acm2.12489. Epub 2018 Nov 7.

Abstract

PURPOSE

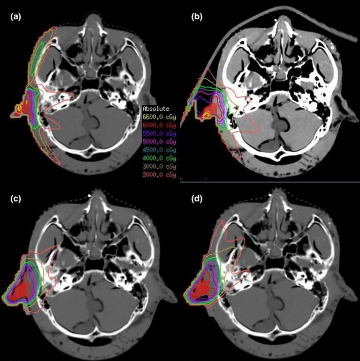
The aim of the study was to compare the dose differences between two kinds of materials (silica gel and hydrogel) used to prepare boluses based on three-dimensional (3D) printing technologies and commercial bolus in head phantoms simulating nose, ear, and parotid gland radiotherapy.

METHODS AND MATERIALS

We used 3D printing technology to make silica gel and hydrogel boluses. To evaluate the clinical feasibility, intensity modulated radiation therapy (IMRT) plans were created for head phantoms that were bolus-free or had a commercial bolus, a silica gel bolus, or a hydrogel bolus. Dosimetry differences were compared in simulating nose, ear, and parotid gland radiotherapy separately.

RESULTS

The air gaps were smaller in the silica gel and hydrogel bolus than the commercial one. In nose plans, it was shown that the V (relative volume that is covered by at least 95% of the prescription dose) of the silica gel (99.86%) and hydrogel (99.95%) bolus were better than the commercial one (98.39%) and bolus-free (87.52%). Similarly, the homogeneity index (HI) and conformity index (CI) of the silica gel (0.06; 0.79) and hydrogel (0.058; 0.80) bolus were better than the commercial one (0.094; 0.72) and bolus-free (0.59; 0.53). The parameters of results (HI, CI, V ) were also better in 3D printing boluses than in the commercial bolus or without bolus in ear and parotid plans.

CONCLUSIONS

Silica gel and hydrogel boluses were not only good for fit and a high level of comfort and repeatability, but also had better parameters in IMRT plans. They could replace the commercial bolus for clinical use.

摘要

目的

本研究旨在比较基于三维(3D)打印技术制备的两种材料(硅胶和水凝胶)制成的 bolus 与模拟鼻、耳和腮腺放疗的头部体模中的商用 bolus 之间的剂量差异。

方法与材料

我们使用 3D 打印技术制作硅胶和水凝胶 bolus。为评估临床可行性,针对无 bolus、有商用 bolus、硅胶 bolus 或水凝胶 bolus 的头部体模创建调强放射治疗(IMRT)计划。分别在模拟鼻、耳和腮腺放疗中比较剂量学差异。

结果

硅胶和水凝胶 bolus 中的气隙比商用 bolus 小。在鼻部计划中,结果显示硅胶 bolus(99.86%)和水凝胶 bolus(99.95%)的 V(至少 95%处方剂量覆盖的相对体积)优于商用 bolus(98.39%)和无 bolus(87.52%)。同样,硅胶 bolus(0.06;0.79)和水凝胶 bolus(0.058;0.80)的均匀性指数(HI)和适形指数(CI)优于商用 bolus(0.094;0.72)和无 bolus(0.59;0.53)。在耳部和腮腺计划中,3D 打印 bolus 的结果参数(HI、CI、V)也优于商用 bolus 或无 bolus。

结论

硅胶和水凝胶 bolus 不仅贴合性好、舒适度高且可重复性强,而且在 IMRT 计划中具有更好的参数。它们可替代商用 bolus 用于临床。

https://cdn.ncbi.nlm.nih.gov/pmc/blobs/b8de/6333182/0b573e10b7b8/ACM2-20-348-g001.jpg

文献检索

告别复杂PubMed语法,用中文像聊天一样搜索,搜遍4000万医学文献。AI智能推荐,让科研检索更轻松。

立即免费搜索

文件翻译

保留排版,准确专业,支持PDF/Word/PPT等文件格式,支持 12+语言互译。

免费翻译文档

深度研究

AI帮你快速写综述,25分钟生成高质量综述,智能提取关键信息,辅助科研写作。

立即免费体验